Молочные железы. Что-то не так с л/узлами.

Пол пациента: 
Тип патологии: 
Область исследования: 
Методы исследования: 

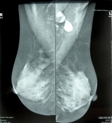
59 лет. Жалоб нет. Находка при профилактической маммографие. Ни чем особенным не болела.

 

  • https://radiomed.ru/sites/default/files/styles/case_slider_image/public/user/14814/img_7165r.jpg?itok=JtibpR4B
ID:21156
Пушистая кошечка аватар
Не на сайте
Был на сайте: 13 лет 1 месяц назад
Зарегистрирован: 01.04.2012 - 20:30
Публикации: 262

фиброзно-кистозная мастопатия, Вас смущают шарики??? плотность у них прям стремится к металлической

(c) У насекомых, размазанных по стеклам фар,
Нет выбора, а у тебя есть этот дар
Или проклятие, как хочешь назови
То, что кипит и дышит у тебя в груди 

Mila85 аватар
Не на сайте
Был на сайте: 3 года 1 месяц назад
Зарегистрирован: 15.03.2012 - 16:59
Публикации: 1790

В железе чисто, в проекции большой грудной мышцы какая-то мегахрень)

Helios аватар
Не на сайте
Был на сайте: 7 месяцев 3 недели назад
Зарегистрирован: 06.08.2010 - 15:16
Публикации: 4417

Не могут быть следы от дезодоранта?Там содержится свинец.

Ярослав Викторович аватар
Не на сайте
Был на сайте: 13 лет 7 месяцев назад
Зарегистрирован: 08.05.2012 - 17:30
Публикации: 2

отправте к онкологу и пусть пункцию возмет вот и все .

Dr.Alexx аватар
Не на сайте
Был на сайте: 11 лет 1 месяц назад
Зарегистрирован: 24.12.2011 - 01:35
Публикации: 26

Helios wrote:

Не могут быть следы от дезодоранта?Там содержится свинец.

Свинец от дезодоранта обычно выглядит по другому: в виде россыпи мелких точечных интенсивных теней. А здесь в таком случае должна быть 2 см капля свинца.

Dr.Alexx аватар
Не на сайте
Был на сайте: 11 лет 1 месяц назад
Зарегистрирован: 24.12.2011 - 01:35
Публикации: 26
 

А вот еще результаты УЗИ: слева в аксиллярной области эхонегативные образование, полностью поглощающее уз-сигнал, образующее за собой акустическую тень. Расположено в подкожно-жировой клетчатке, прилежит к коже. 

img_7162r.jpg
 

Рядом - подозрительный л/узел, в воротах которого несколько гипоэхогенных образований.

img_7160r.jpg
Приложения: 
img_7162r.jpgimg_7160r.jpg
Dr.Alexx аватар
Не на сайте
Был на сайте: 11 лет 1 месяц назад
Зарегистрирован: 24.12.2011 - 01:35
Публикации: 26

Ярослав Викторович wrote:

отправте к онкологу и пусть пункцию возмет вот и все .

Пациентка как раз в онкологическом учреждении и обследуется. Биопсию наверняка уже взяли или в ближайшее время возьмут, если результаты попадутся выложу.

Какие еще будут мнения о природе кальцината?

Андрей Багаев аватар
Не на сайте
Был на сайте: 11 лет 2 месяцев назад
Зарегистрирован: 28.01.2011 - 19:14
Публикации: 57

справа в верхне-наружном кв. возможно фиброаденома, а в аксилярной  области лимфоузлы с обызвествлением.