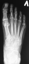
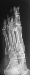
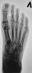
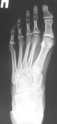
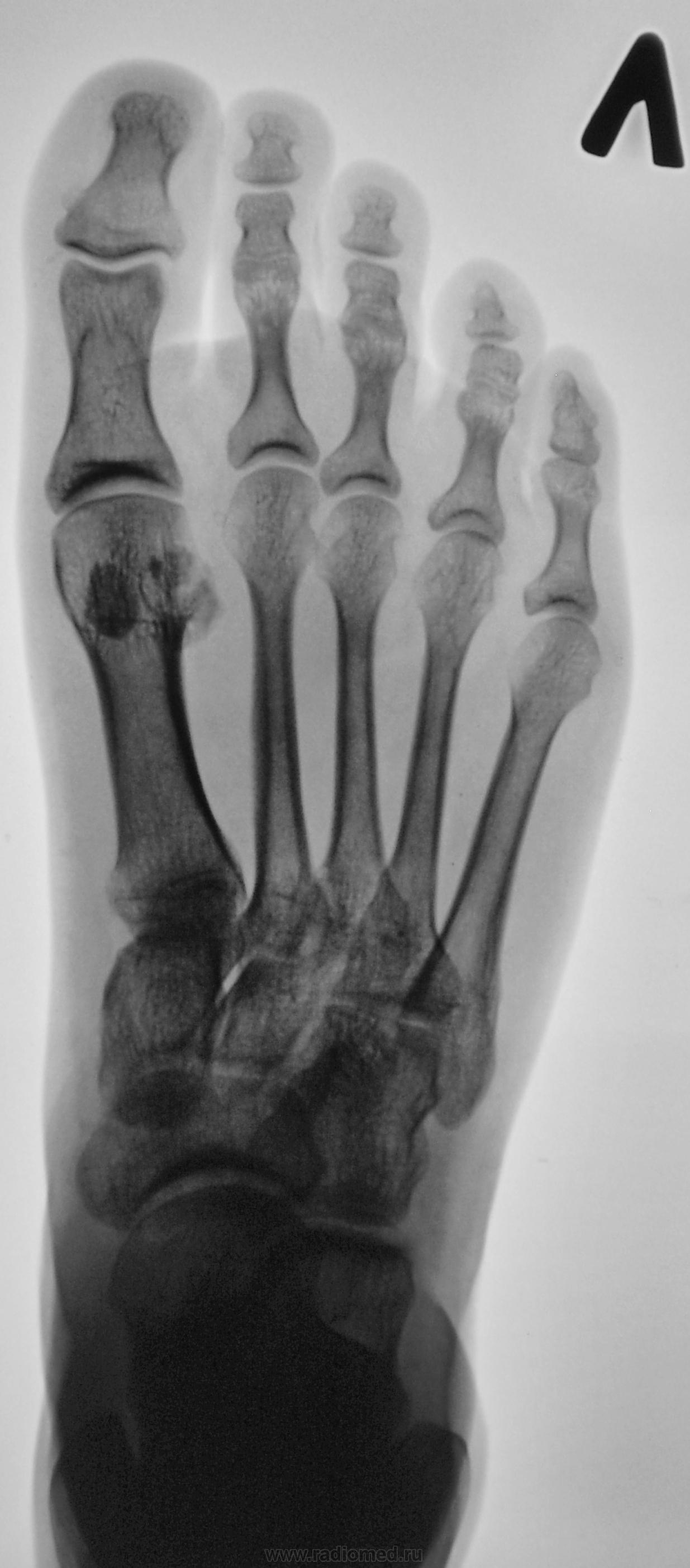
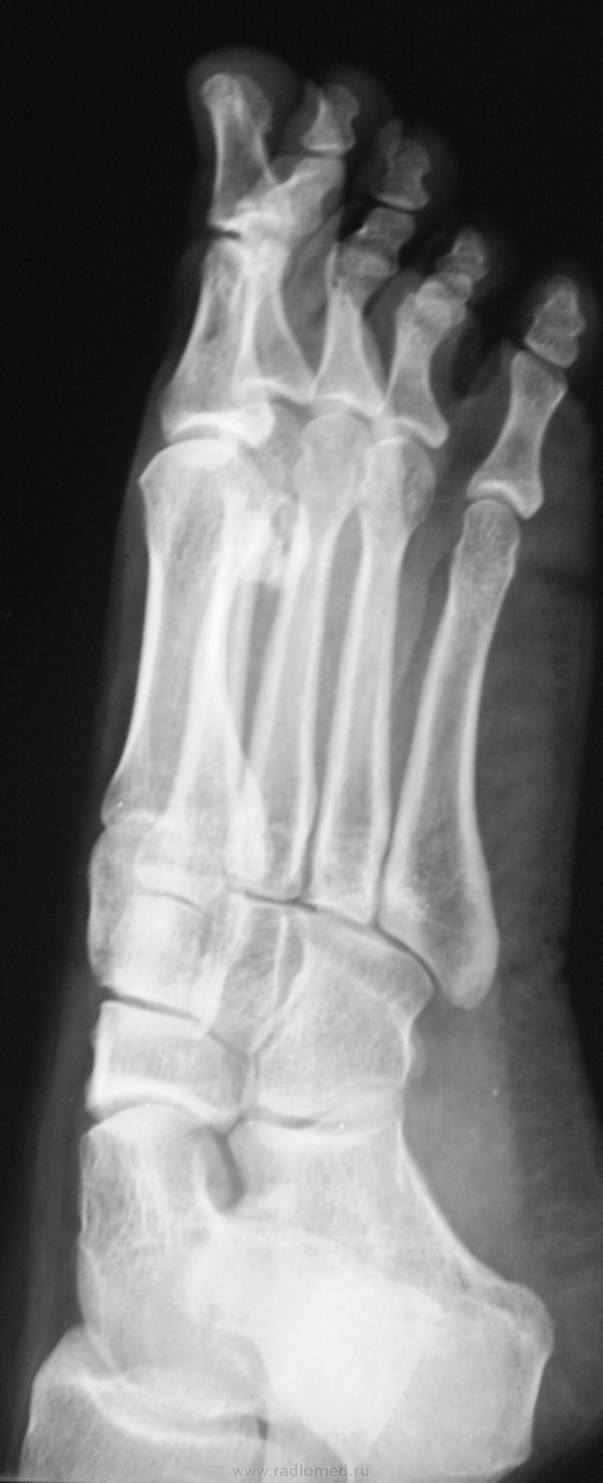
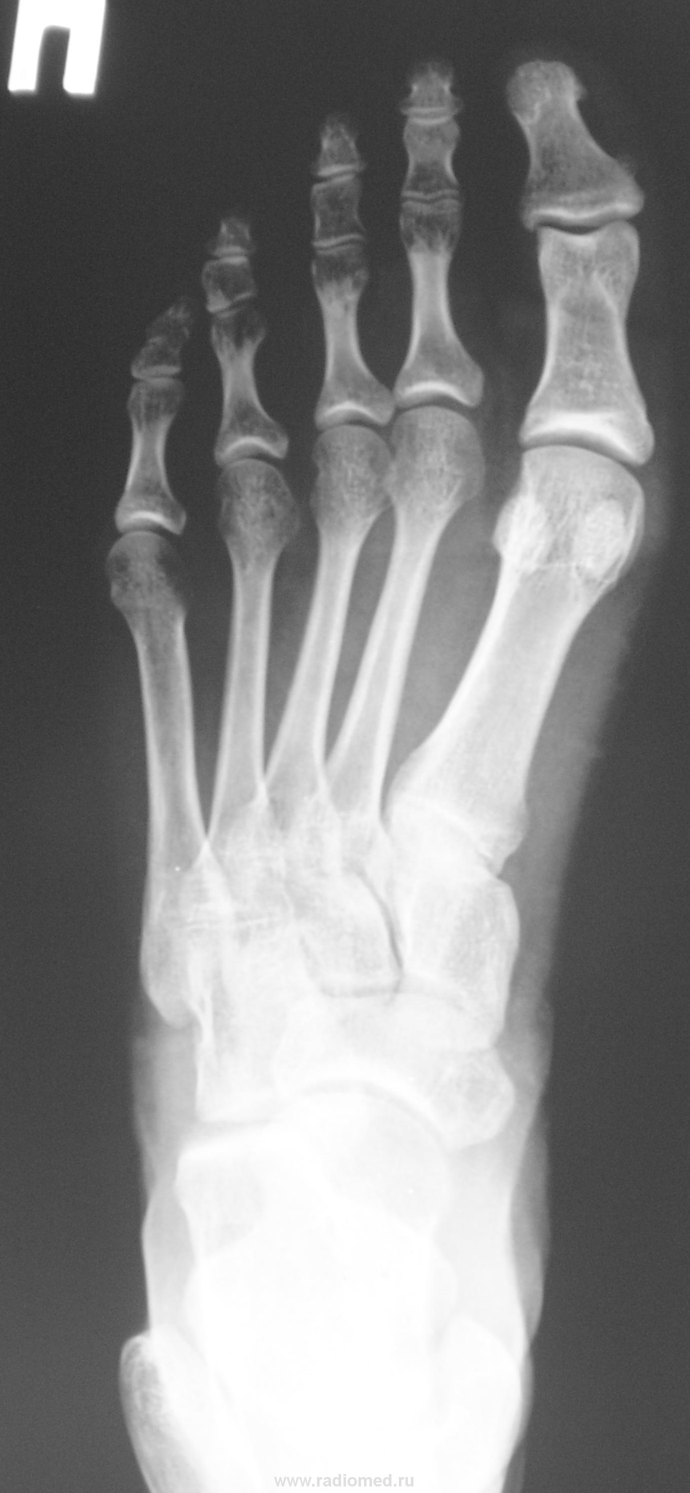
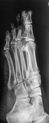
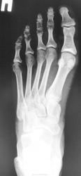
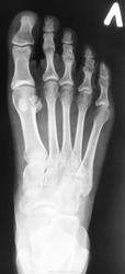
Молодая женщина. Беспокоят боли в ступнях по подошвенной поверхности, больше слева.

Пол пациента: 
Тип патологии: 
Область исследования: 
Методы исследования: 

Молодая женщина. Беспокоят боли в ступнях по подошвенной поверхности, больше слева.

Правая стопа сделана больше для сравнения.

  • https://radiomed.ru/sites/default/files/styles/case_slider_image/public/user/12/2.p1270010a.jpg?itok=npK0Qwsj
  • https://radiomed.ru/sites/default/files/styles/case_slider_image/public/user/12/3.p1270011.jpg?itok=PS4LAyWe
  • https://radiomed.ru/sites/default/files/styles/case_slider_image/public/user/12/4.p1270011a.jpg?itok=123dUKUe
  • https://radiomed.ru/sites/default/files/styles/case_slider_image/public/user/12/5.p1270014.jpg?itok=COC1nTrM
  • https://radiomed.ru/sites/default/files/styles/case_slider_image/public/user/12/6.p1270015.jpg?itok=VoDHqNRw
  • https://radiomed.ru/sites/default/files/styles/case_slider_image/public/user/12/1.p1270012.jpg?itok=QCNB6Xdh
  • https://radiomed.ru/sites/default/files/styles/case_slider_image/public/user/12/2.p1270012a.jpg?itok=coIRFmf2
  • https://radiomed.ru/sites/default/files/styles/case_slider_image/public/user/12/3.p1270013.jpg?itok=yNDyldPN
  • https://radiomed.ru/sites/default/files/styles/case_slider_image/public/user/12/4.p1270013a.jpg?itok=OVdLKeSX
ID:18557
Глазков Игорь Артурович аватар
Не на сайте
Был на сайте: 9 месяцев 1 неделя назад
Зарегистрирован: 19.12.2008 - 20:41
Публикации: 1597

осмелюсь предположить артроз в ладьевидно-кубовидном суставе. Ещё имеется участок разряжения костной ткани в проекции бугристости ладьи или нафантазировал?

Прийди к Себе

Rx-Doc аватар
Не на сайте
Был на сайте: 12 лет 10 месяцев назад
Зарегистрирован: 22.08.2009 - 08:23
Публикации: 9

Катенёв Валентин Львович wrote:

Молодая женщина. Беспокоят боли в ступнях по подошвенной поверхности, больше слева.

Правая стопа сделана больше для сравнения.

Остеохондропатия сесамовидной кости 1 пл/фал.сустава левой стопы. 

"Я думаю торг здесь не уместен"

Катенёв Валентин Львович аватар
Не на сайте
Был на сайте: 7 лет 2 недели назад
Зарегистрирован: 22.03.2008 - 22:15
Публикации: 54876

Rx-Doc wrote:

Остеохондропатия сесамовидной кости 1 пл/фал.сустава левой стопы.

Спасибо. Но, вот почему она увеличена?

Евгений Второй аватар
Не на сайте
Был на сайте: 4 недели 1 день назад
Зарегистрирован: 13.09.2011 - 22:00
Публикации: 1772

Боль не стреляет в пальцы? При движениях.

Катенёв Валентин Львович аватар
Не на сайте
Был на сайте: 7 лет 2 недели назад
Зарегистрирован: 22.03.2008 - 22:15
Публикации: 54876

Нет не стреляет, боли при ходьбе, походка вынужденная. При детализации, вроде вспоминает, что более года тому назад была травма - нога подвернулась.

Rx-Doc аватар
Не на сайте
Был на сайте: 12 лет 10 месяцев назад
Зарегистрирован: 22.08.2009 - 08:23
Публикации: 9

Весьма патогномоничной является рентгенологическая картина третьей стадии заболевания - стадии фрагментации. Пораженный отдел кости уже не дает гомогенной тени, а состоит из нескольких темных бесструктурных изолированных фрагментов неправильной формы. Светлые участки, на фоне которых видны эти фрагменты, соответствуют разрастаниям соединительной ткани и хряща между некротическими массами. Высота пораженного отдела кости уменьшается. Длительность третьей стадии составляет от полугода до двух с половиной лет, а иногда и более. Вероятно Валентин Львович, дама не сидит, а ходит, постоянная нагрузка веса тела делает свое дело.

 













 

"Я думаю торг здесь не уместен"

Катенёв Валентин Львович аватар
Не на сайте
Был на сайте: 7 лет 2 недели назад
Зарегистрирован: 22.03.2008 - 22:15
Публикации: 54876

Rx-Doc wrote:

 Вероятно Валентин Львович, дама не сидит, а ходит, постоянная нагрузка веса тела делает свое дело.

Да, дама ходит очень интенсивно, да и не поседлива она.

Катенёв Валентин Львович аватар
Не на сайте
Был на сайте: 7 лет 2 недели назад
Зарегистрирован: 22.03.2008 - 22:15
Публикации: 54876

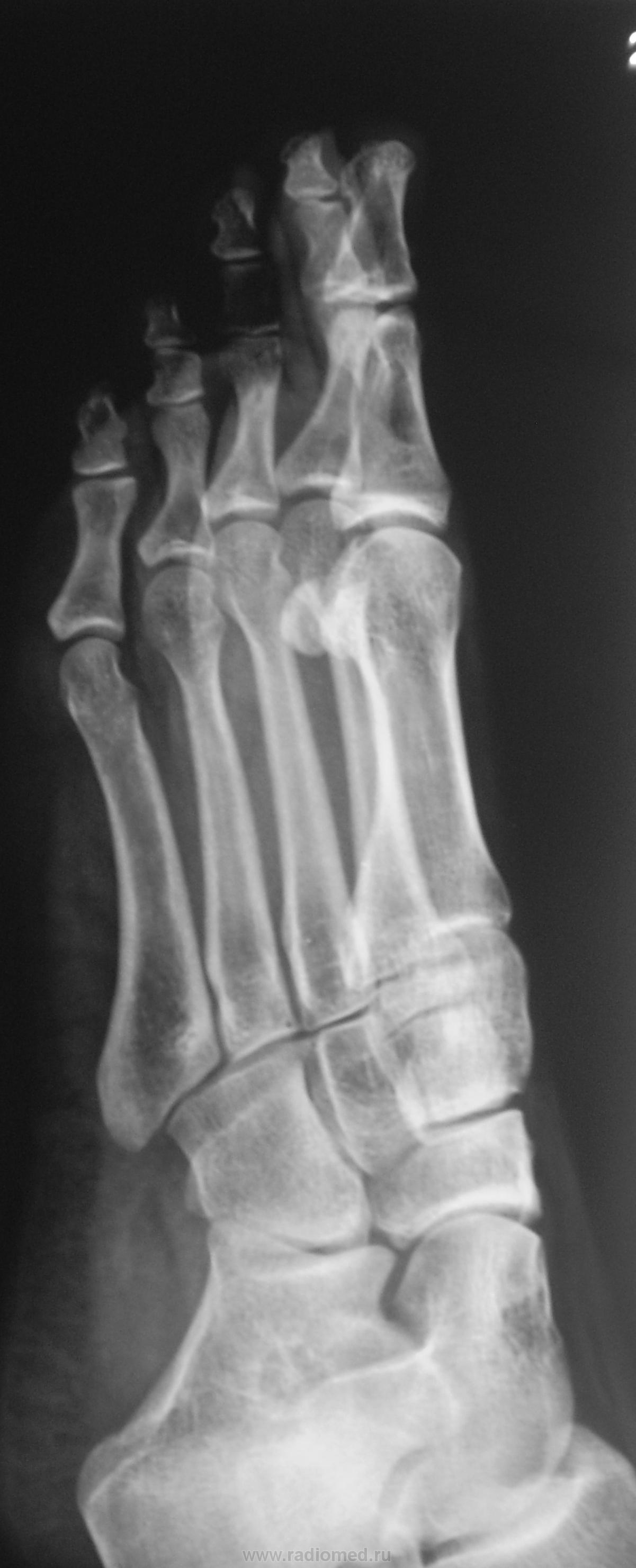
Фрагменты с увеличением.

Приложения: 
1.p1270016.jpg2.p1270016a.jpg3.p1270016e.jpg4.p1270016ed.jpg5.p1270018.jpg6.p1270018a.jpg7.p1270018av.jpg
juga аватар
Не на сайте
Был на сайте: 7 лет 4 дня назад
Зарегистрирован: 24.10.2011 - 14:31
Публикации: 51

А почему остеохондропатия? Раз пациентка непоседлива и много ходит -тогда может это просто перелом,по типу маршевого или стресс-перелома,от нагрузки.Перелом с расхождением отломков ,пытается срастись:))-но получается -не очень ,так как покоя ноге мадам не дает.

Катенёв Валентин Львович аватар
Не на сайте
Был на сайте: 7 лет 2 недели назад
Зарегистрирован: 22.03.2008 - 22:15
Публикации: 54876

juga wrote:

А почему остеохондропатия?

И почему кость (сесамовидная) так увеличилась в размерах?

Rx-Doc аватар
Не на сайте
Был на сайте: 12 лет 10 месяцев назад
Зарегистрирован: 22.08.2009 - 08:23
Публикации: 9

 "На рентгенограмме-типичная дезорганизация структурного рисунка несколько иногда увеличенной косточки с фрагментацией её тени.Регенеративные явления выражены незначительно,полного восстановления стуктуры не бывает"-С.А.Рейнберг т2 стр286.      (несколько иногда( в тексте))-это вероятно в данном случае.

"Я думаю торг здесь не уместен"

Катенёв Валентин Львович аватар
Не на сайте
Был на сайте: 7 лет 2 недели назад
Зарегистрирован: 22.03.2008 - 22:15
Публикации: 54876

А, не может ли "это" быть остеохондромой?

Mitkampfer аватар
Не на сайте
Был на сайте: 11 лет 1 месяц назад
Зарегистрирован: 27.07.2010 - 07:43
Публикации: 1454

Правую никак не смог разглядеть надо бы обработать получше. в левой старая связочная травма сустава Шопара, постттравматический небольшой подвывих пяточно-кубовидного сустава, следы почившего гемартроза там же. Травма эта не с лестницы вперед упала?

Не ограничивайте свою мысль

Живешь пока учишься

Ecrasez l’infame

Mitkampfer аватар
Не на сайте
Был на сайте: 11 лет 1 месяц назад
Зарегистрирован: 27.07.2010 - 07:43
Публикации: 1454

несросшийся перелом сесамовидной слева

Не ограничивайте свою мысль

Живешь пока учишься

Ecrasez l’infame

Соломин Виталий Юрьевич аватар
Не на сайте
Был на сайте: 5 лет 11 месяцев назад
Зарегистрирован: 04.04.2012 - 21:47
Публикации: 1096

Mitkampfer wrote:

несросшийся перелом сесамовидной слева

+ 1