МРТ ШОП

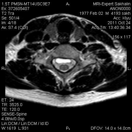
Женщина с жалобами на боли в пояснице, но решила обследовать весь позвоночник.Травм, операций не было.Такие же изменения в грудном отделе.

         

  • https://radiomed.ru/sites/default/files/styles/case_slider_image/public/user/5662/iso2.jpg?itok=oK4FGMFt
  • https://radiomed.ru/sites/default/files/styles/case_slider_image/public/user/5662/iso3_0.jpg?itok=4-q0RJx0
  • https://radiomed.ru/sites/default/files/styles/case_slider_image/public/user/5662/iso4.jpg?itok=TkkUZSUF
  • https://radiomed.ru/sites/default/files/styles/case_slider_image/public/user/5662/iso5.jpg?itok=rNGJu09S
  • https://radiomed.ru/sites/default/files/styles/case_slider_image/public/user/5662/iso6.jpg?itok=xLxTreqX
  • https://radiomed.ru/sites/default/files/styles/case_slider_image/public/user/5662/iso7_0.jpg?itok=KU6H5wRh
  • https://radiomed.ru/sites/default/files/styles/case_slider_image/public/user/5662/iso8.jpg?itok=NagMwaQu
ID:51935
nnemo аватар
Не на сайте
Был на сайте: 11 лет 2 месяцев назад
Зарегистрирован: 13.09.2011 - 18:32
Публикации: 561

1. Субархноидальная киста

2. Лизированная субдуральная гематома. 

3. Менее вероятнее эпиема (но это только при условии соотвествующей клиники...)

Helios аватар
Не на сайте
Был на сайте: 8 месяцев 2 недели назад
Зарегистрирован: 06.08.2010 - 15:16
Публикации: 4417

Такая огромная гематома на 2 отдела?

nnemo аватар
Не на сайте
Был на сайте: 11 лет 2 месяцев назад
Зарегистрирован: 13.09.2011 - 18:32
Публикации: 561

Думаю все же №1... № 2 - это запасной вариант. Послушаем, что скажет общественность

Сергей Нагорный аватар
Не на сайте
Был на сайте: 9 лет 9 месяцев назад
Зарегистрирован: 13.07.2010 - 22:49
Публикации: 1370

Мультилокулярная экстрадуральная менингеальная киста

С уважением, С.Н. Нагорный

nnemo аватар
Не на сайте
Был на сайте: 11 лет 2 месяцев назад
Зарегистрирован: 13.09.2011 - 18:32
Публикации: 561

Нагорный Сергей Николаевич wrote:

Мультилокулярная экстрадуральная менингеальная киста

Красиво звучит...  нашел только "Кистоаденомы. Мультилокулярные, унилокулярные, серозные, папиллярные, псевдомуцинозные" - Сергей Николевич, в чем принципиальное отличие от арахноидальной кисты? Киньте ссылочку на посмотреть, плиз!

Сергей Нагорный аватар
Не на сайте
Был на сайте: 9 лет 9 месяцев назад
Зарегистрирован: 13.07.2010 - 22:49
Публикации: 1370

“Arachnoid cyst” is a histologic diagnosis, and the cyst has either no epithelial lining or an attenuated lining of arachnoidlike cells. In the imaging literature, the terms “arachnoid cyst” and “meningeal cyst” are used interchangeably.

С уважением, С.Н. Нагорный

Helios аватар
Не на сайте
Был на сайте: 8 месяцев 2 недели назад
Зарегистрирован: 06.08.2010 - 15:16
Публикации: 4417

Спасибо!Будут еще мнения?Мне очень интересно, потому что сама  не знаю, что это.