МСКТ брюшной полости с болюсом контраста. Образование правой доли печени, интенсивно накапливающее контраст в арт. фазу. Что это???

Пол пациента: 
Область исследования: 
Методы исследования: 

Пациентка Г. 1959 г/р, обратилась амбулаторно в Гатчинскую ЦРКБ на МСКТ брюшной полости, по направлению поликлиники, диагноз: "Образование правой доли печени". По данным УЗИ: гипоэхогенное образование в правой доле печени (сегмент не указывают) 1,1 * 1,1 см; диффузные изменения ПЖЖ, двусторонний нефроптоз. КТ рекомендовано специалистом УЗД.

 

 

 

 

 

 

 

 

 

 

 

 

 

 

 

 

 

 

 

 

 

 

 

 

 

 

 

 

 

 

 

 

 

 

 

 

 

 

 

 

 

 

 

 

 

 

 

 

 

 

 

 

 

 

 

 

 

 

Сегодня, 3.07.13., выполнена МСКТ органов брюшной полости с болюсным контрастированием (омнипак-300 - 100 мл) на программе "3 фазы печени"

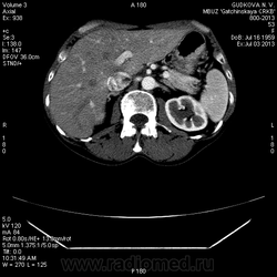
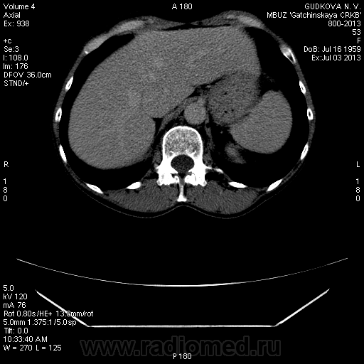
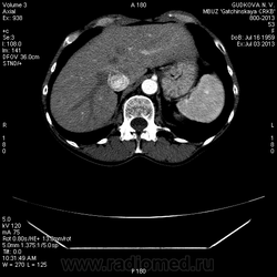
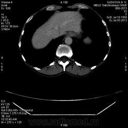
На преконтрастной серии - впечатление о расширении нижней полой вены.
В артериальную фазу - интенсивное накопление контраста, как раз в области этого расширения, в 4-5 сегментах печени.Выше и ниже - идет неизмененная НПВ, без контраста (фаза артериальная!) В венозную фазу - небольшая гиперденсная зона перикавально в печени - и все.
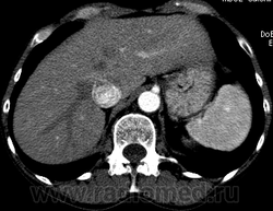
Этот участок патологического накопления контраста имеет размер 2,5 * 2,5 см, никак не 1,1 * 1,1(как дают УЗИ-сты)
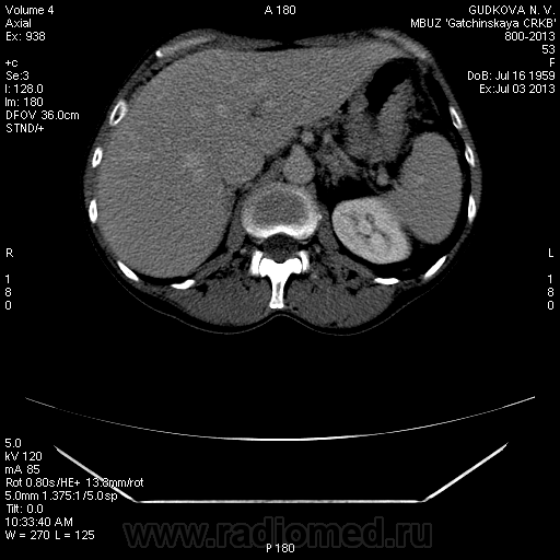
На 3d-реконструкциях выглядит как кавернозная гемангиома, по форме напоминающая желчный пузырь (который я, кстати, не вижу, а УЗИсты описывают) Если это - ж.п., почему так интенсивно копит контраст, и вообще, расположение такое нетипичное?

Образование печени ли это вообще? Не перикавальное внепеченочное нечто? (и что?)

Еще: кто-нибудь видит желчный пузырь?(УЗИсты описывают и рубцов, после холоцистэктомии, на животе пацинтки не заметил)

спасибо!

  • https://radiomed.ru/sites/default/files/styles/case_slider_image/public/user/15338/se001.png?itok=bLezppWf
  • https://radiomed.ru/sites/default/files/styles/case_slider_image/public/user/15338/se002.png?itok=v5C0E_hd
  • https://radiomed.ru/sites/default/files/styles/case_slider_image/public/user/15338/se004.png?itok=47OOUXm9
  • https://radiomed.ru/sites/default/files/styles/case_slider_image/public/user/15338/se005.png?itok=iKoAl2EU
  • https://radiomed.ru/sites/default/files/styles/case_slider_image/public/user/15338/se006.png?itok=QbwgNwCK
  • https://radiomed.ru/sites/default/files/styles/case_slider_image/public/user/15338/se008.png?itok=oAvs_d8m
  • https://radiomed.ru/sites/default/files/styles/case_slider_image/public/user/15338/se009.png?itok=YSSTjt4i
  • https://radiomed.ru/sites/default/files/styles/case_slider_image/public/user/15338/se010.png?itok=Uy-fp567
  • https://radiomed.ru/sites/default/files/styles/case_slider_image/public/user/15338/se013.png?itok=Q_cOMq4v
  • https://radiomed.ru/sites/default/files/styles/case_slider_image/public/user/15338/se014.png?itok=y64pmwb2
  • https://radiomed.ru/sites/default/files/styles/case_slider_image/public/user/15338/se016.png?itok=rwfoqvgv
  • https://radiomed.ru/sites/default/files/styles/case_slider_image/public/user/15338/se018.png?itok=SZa-cK03
  • https://radiomed.ru/sites/default/files/styles/case_slider_image/public/user/2841/se00590.png?itok=cgrs4dfw
ID:29677
Andrey Gavrilkin аватар
Не на сайте
Был на сайте: 3 года 1 месяц назад
Зарегистрирован: 16.01.2012 - 20:27
Публикации: 51

Собственно, показываю, о чем писал (почему-то, картинки сразу не загрузились)

Приложения: 
se000.pngse002.pngse003.pngse001.pngse005.pngse006.pngse004.pngse007.pngse010.pngse009.pngse015.pngse014.pngse013.png

You have only one life - just live it!

ЛГ аватар
Не на сайте
Был на сайте: 8 лет 11 месяцев назад
Зарегистрирован: 06.01.2010 - 12:31
Публикации: 3523

изображения не загрузились. И забыли анонимизировать данные пациента.

Это нижняя полая. Заброс контраста в нижнюю полую вену и контрастирование веточек портальной вены в артериальную фазу бывает при неправильной технике проведения болюса. Посмотрите тут: http://www.radiographia.ru/sites/default/files/abdominal_ct_protocols.pdf

ЛГ аватар
Не на сайте
Был на сайте: 8 лет 11 месяцев назад
Зарегистрирован: 06.01.2010 - 12:31
Публикации: 3523

Про желчный: нет сканов, где он должен быть в норме. Поэтому сказать, имеется ли он в наличии, нельзя.

Andrey Gavrilkin аватар
Не на сайте
Был на сайте: 3 года 1 месяц назад
Зарегистрирован: 16.01.2012 - 20:27
Публикации: 51

Все загрузилось, но поздно:)

Насчет анонимизировать: на нашем аппарате, можно анонимизировать только в базе, только выводные данные анонимизировать не получится. А в базе: потом забудешь обратно имя присвоить - и потеряется.

Так что, это вынужденная мера.

Спасибо!

Контрастированная нижняя полая сбила с толку. Кстати, там и v.porta есть:)

А образование, про которое пишут узисты (1,2 в диаметре) я нашел! Это - киста мелкая(контраст не копит совершенно)

 

You have only one life - just live it!

Andrey Gavrilkin аватар
Не на сайте
Был на сайте: 3 года 1 месяц назад
Зарегистрирован: 16.01.2012 - 20:27
Публикации: 51

Его и на других сканах нет, вот в чем штука:) Во всяком случае, я не вижу

You have only one life - just live it!

Andrey Gavrilkin аватар
Не на сайте
Был на сайте: 3 года 1 месяц назад
Зарегистрирован: 16.01.2012 - 20:27
Публикации: 51

И желчный нашел:) Частично сокращенный)

You have only one life - just live it!

ЛГ аватар
Не на сайте
Был на сайте: 8 лет 11 месяцев назад
Зарегистрирован: 06.01.2010 - 12:31
Публикации: 3523

Я загрузила ваши картинки)). Вы их на сайт закидываете, а в поле для текста не вставляете, поэтому они на сайте есть, но пользователям их не видно.

 

Приложения: 
zagruzka_izobrazheniy.jpgvstavit.jpg
Andrey Gavrilkin аватар
Не на сайте
Был на сайте: 3 года 1 месяц назад
Зарегистрирован: 16.01.2012 - 20:27
Публикации: 51

Спасибо)

You have only one life - just live it!

ЛГ аватар
Не на сайте
Был на сайте: 8 лет 11 месяцев назад
Зарегистрирован: 06.01.2010 - 12:31
Публикации: 3523

На счет анонимизации, есть варианты:

1) копировать на базе исследование и анонимизировать копию, при ненужности стирать копию - нудно и кропотливо;

2) открывать на e-Film, если он есть на работе, там есть кнопка А для анонимизирования;

3) копировать дайком на флешку и дома открывать в любом доступном вьюере для дайкомов, во всех есть функция анонимизации, я пользуюсь дома RadiAnt viewer, бесплатно скачать можно тут: http://www.radiantviewer.com/ru/ . 

4) самый трудоемкий вариант - открывать картинку в формате jpeg в программе просмотра изображений, например, Microsoft Office Picture Manager и обрезать края, удаляя данные о пациенте (см. первую картинку в самом вверху вашего случая)

Shlyomka аватар
Не на сайте
Был на сайте: 11 лет 1 месяц назад
Зарегистрирован: 28.01.2013 - 11:51
Публикации: 109

Заброс контраста в нижнюю полую в артериальную фазу может быть при пассивном венозном застое, как следствие перикардита или сердечной недостаточности.у меня один раз тоже такое было, голову сломала, но в Прокопе все же нашла.

ДмитрийД аватар
Не на сайте
Был на сайте: 5 месяцев 3 недели назад
Зарегистрирован: 07.10.2011 - 16:38
Публикации: 768

Может быть это просто нормальное контрастирование нижней полой вены за счет почечных вен, а не заброс контрастного вещества?

Andrey Gavrilkin аватар
Не на сайте
Был на сайте: 3 года 1 месяц назад
Зарегистрирован: 16.01.2012 - 20:27
Публикации: 51

Дорогие коллеги!

Спасибо всем! Вопрос решен, в т.ч, и благодаря вашему участию!

Да, это нижняя полая вена.

Мелкую кисту в правой доле печени (S6) я нашел. Ее нет на представленных сканах(выложил то, что меня смутило), но, думаю, именно ее описывают УЗИсты. И размеры совпадают, и гипоэхогенность характерна для кисты.

Спасибо вам!

You have only one life - just live it!