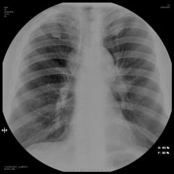
Мужчина 70 лет, поступил в пульмонологическое отделение

Пол пациента: 
Тип патологии: 
Методы исследования: 

  

 

Всем здравствуйте! Мужчина 70 лет поступил в пульмонологическое отделение с диагнозом хронический обструктивный бронхит. Редкий кашель .Слабость. Ночной пот. Синкопальные состояния.

  • https://radiomed.ru/sites/default/files/styles/case_slider_image/public/user/2983/bokovoy.jpg?itok=q9BJA4mf
ID:5761
ЛГ аватар
Не на сайте
Был на сайте: 8 лет 10 месяцев назад
Зарегистрирован: 06.01.2010 - 12:31
Публикации: 3523

Но уверенности нет. Что-то больно правильный кружочек на боковой...

koriatus аватар
Не на сайте
Был на сайте: 3 года 5 дней назад
Зарегистрирован: 14.06.2010 - 01:49
Публикации: 452

Тоже кажется аневризма дуги аорты...

Юрич аватар
Не на сайте
Был на сайте: 6 лет 5 месяцев назад
Зарегистрирован: 17.01.2010 - 09:55
Публикации: 351

я не поэт,

но все ж скажу стихами-

 что скроет кость - покажут томограммы)

Катенёв Валентин Львович аватар
Не на сайте
Был на сайте: 7 лет 2 недели назад
Зарегистрирован: 22.03.2008 - 22:15
Публикации: 54876

А томограммы есть? Зажали?

Юрич аватар
Не на сайте
Был на сайте: 6 лет 5 месяцев назад
Зарегистрирован: 17.01.2010 - 09:55
Публикации: 351

конечно, есть)

Юрич аватар
Не на сайте
Был на сайте: 6 лет 5 месяцев назад
Зарегистрирован: 17.01.2010 - 09:55
Публикации: 351

Вот такие дополнительные данные.

Приложения: 
verhushka.jpgtomo1.jpgtomo2.jpgtomo3.jpgtomo4.jpgtomo5.jpgtomo6.jpgtomo7.jpgtomo8.jpgtomo9.jpgtomo10.jpgtomo11.jpg
Катенёв Валентин Львович аватар
Не на сайте
Был на сайте: 7 лет 2 недели назад
Зарегистрирован: 22.03.2008 - 22:15
Публикации: 54876

После томограмм, чувство, какое-то двоякое. А, Вы к чему больше склоняетесь?

Юрич аватар
Не на сайте
Был на сайте: 6 лет 5 месяцев назад
Зарегистрирован: 17.01.2010 - 09:55
Публикации: 351

БЫЛО БЫ ПРОЩЕ , ЕСЛИ БЫ СРЕДОСТЕНИЕ БЫЛО СПОКОЙНОЕ... ВЫСТАВИЛ ДИФ РЯД. - ТБС ВНУТРИГРУДНЫХ ЛУ С ПОРАЖЕНИЕМ ЛЕГКИХ И ПЕРИФЕРИЧЕСКИЙ РАК С МТС В ЛУ СРЕДОСТЕНИЯ . БОЛЬШЕ ВРОДЕ В ГОЛОВУ НИЧЕГО НЕ ПРИХОДИТ... БЫЛ БЫ РАД МНЕНИЯМ КОЛЕГ ПО ВЫСТАВЛЕННОМУ - ЗА И ПРОТИВ. А МОЖЕТ ЕЩЕ КТО ЧТО ПОДСКАЖЕТ.

Катенёв Валентин Львович аватар
Не на сайте
Был на сайте: 7 лет 2 недели назад
Зарегистрирован: 22.03.2008 - 22:15
Публикации: 54876

"Архивчик", конечно есть, и не только в виде "кальцинатов", но как- то больше склоняюсь к "мета" в узлы средостения. Эта "скромница" слева на верхушке вполне может быть "первичкой".

Но, с этим всем надо "переспать". Попробую завтра изображения пропустить через "Олимпус", возможно, что и вылезет...

Юрич аватар
Не на сайте
Был на сайте: 6 лет 5 месяцев назад
Зарегистрирован: 17.01.2010 - 09:55
Публикации: 351

С ЗАВТРАШНЕГО ДНЯ НАЧНУТСЯ КОНСУЛЬТАЦИИ И ПОИСКИ КЛИНИЦИСТАМИ ИСТИНЫ. БУДУ СЛЕДИТЬ. У КОГО КАКИЕ МЫСЛИ , БУДУ ОЧЕНЬ ПРИЗНАТЕЛЕН.

Катенёв Валентин Львович аватар
Не на сайте
Был на сайте: 7 лет 2 недели назад
Зарегистрирован: 22.03.2008 - 22:15
Публикации: 54876

Вам спасибо, за такой интересный случай.

Катенёв Валентин Львович аватар
Не на сайте
Был на сайте: 7 лет 2 недели назад
Зарегистрирован: 22.03.2008 - 22:15
Публикации: 54876

1. Вот, что у меня получилось.

И, как-то мысли об "Его Величестве" на ум не приходят.

 

Приложения: 
1.bokovoy.jpg2.bokovoya.jpg3.bokovoyab.jpg4.obzornyy.jpg4.obzornyyab.jpg5.obzornyya.jpg
Катенёв Валентин Львович аватар
Не на сайте
Был на сайте: 7 лет 2 недели назад
Зарегистрирован: 22.03.2008 - 22:15
Публикации: 54876

Конечно, такую картинку может дать, и "мягкотелая" туберкулома, вроде-бы, как и архив есть, но чем не периферический или метастаз, да и "дорожка" не тубарская, а еще и "лучистость" из корня.

 

Приложения: 
1.tomo1_.jpg2.tomo1a.jpg3.tomo2_.jpg3.tomo2a.jpg4.verhushka.jpg5.verhushkao.jpg6.verhushkaop.jpg
Катенёв Валентин Львович аватар
Не на сайте
Был на сайте: 7 лет 2 недели назад
Зарегистрирован: 22.03.2008 - 22:15
Публикации: 54876

Да, и это "томки" на тубарь не воодушевили, может уже "МЕТА"?.

 

Приложения: 
1.tomo3_.jpg2.tomo3a.jpg3.tomo3ab.jpg4.tomo4_.jpg5.tomo4a.jpg6.tomo4ab.jpg7.tomo5_.jpg8.tomo5a.jpg9.tomo6_.jpg10.tomo6a.jpg11.tomo7_.jpg12.tomo7a.jpg
Катенёв Валентин Львович аватар
Не на сайте
Был на сайте: 7 лет 2 недели назад
Зарегистрирован: 22.03.2008 - 22:15
Публикации: 54876

Дальше интереснее.

Это, что? Ателектазишко?

 

Приложения: 
1..tomo8_.jpg2..tomo8a.jpg3.tomo8ab.jpg4..tomo8-1n.jpg
Катенёв Валентин Львович аватар
Не на сайте
Был на сайте: 7 лет 2 недели назад
Зарегистрирован: 22.03.2008 - 22:15
Публикации: 54876

Да, и позвонки неоднозначные, хотя, и похожи по теневой картине на гемангиому. Нет, я за "Мета".

 

Приложения: 
1.tomo9-5a6.jpg2.tomo9-5a.jpg3..tomo8-1b.jpg4.tomo8-1ki.jpg
mila аватар
Не на сайте
Был на сайте: 5 лет 2 месяцев назад
Зарегистрирован: 26.02.2010 - 02:56
Публикации: 277

Периферический рак S1-2 слева с метастазами в  бронхопульмональные лимфоузлы  слева, перитрахеальные с обеих сторон и парааортальные л.у.  

Катенёв Валентин Львович аватар
Не на сайте
Был на сайте: 7 лет 2 недели назад
Зарегистрирован: 22.03.2008 - 22:15
Публикации: 54876

Юрич wrote:

С ЗАВТРАШНЕГО ДНЯ НАЧНУТСЯ КОНСУЛЬТАЦИИ И ПОИСКИ КЛИНИЦИСТАМИ ИСТИНЫ. БУДУ СЛЕДИТЬ. У КОГО КАКИЕ МЫСЛИ , БУДУ ОЧЕНЬ ПРИЗНАТЕЛЕН.

Что-же решил высокий консилиум?