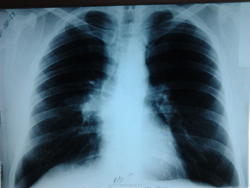
Молодой человек, 32 г. Особых жалоб нет (покашливание,иногда по вечерам субфебрилитет). Сделали обзорный снимок, -и понеслось... Не стала выносить на экспертизу, т.к. чувствую вину за обз.снимок. Поэтому по просьбе публики назову правильный ответ в любое время.Обратите внимание на заголовок

центральный рак правого легкого!?
Правильный ответ?
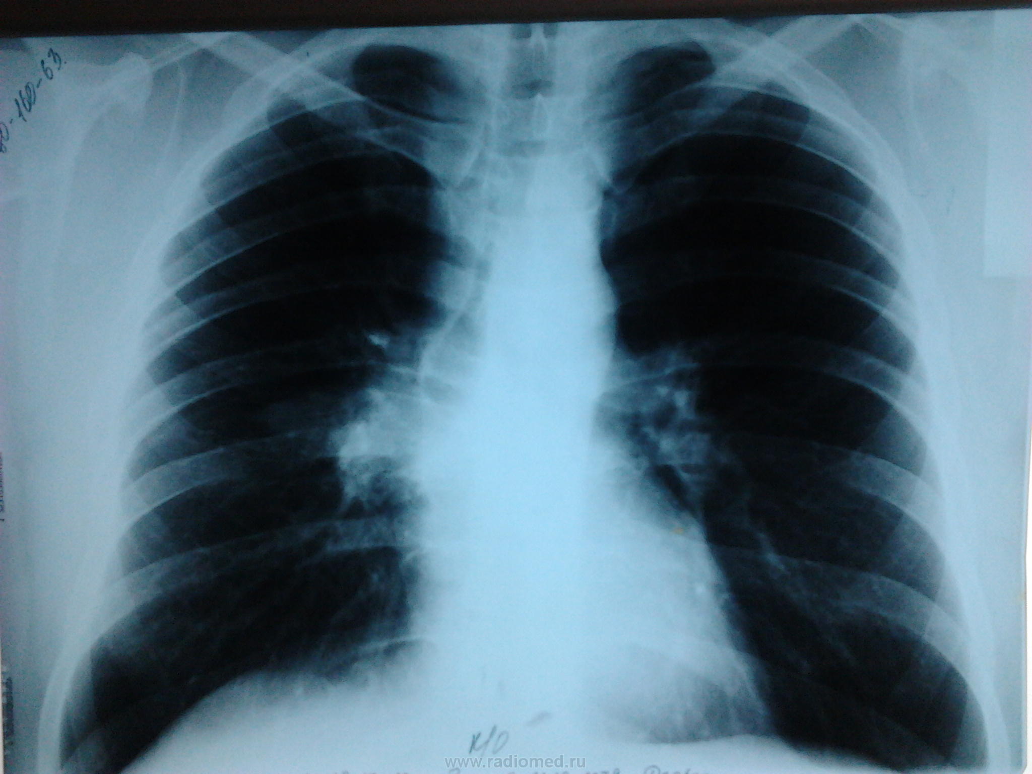
Великолепные томограммы в боковой проекции с отчётливой картиной поражения 6 сегментарного бронха.
[quote=Леонид]
Великолепные томограммы в боковой проекции с отчётливой картиной поражения 6 сегментарного бронха.
[/quote
Уже теплее
пациенту делали? Все-таки молодой для рака.
Центральный рак в таком возрасте уже не новость, вот Твс бронхоаденит - казуистика.
"Слушай всех, прислушивайся к немногим, решай сам".©
конечно,делали.
Еще теплее,теперь-практически все-на ладони.
казуистика
Медиастинальная форма саркоидоза....
Болезни ног: виды, симптомы, причины, профилактика и лечение
скорее ТВГЛУ, что возможно в этом возрасте чаще, чем рак.
Может и так...но такой однобокий характер поражения...
Болезни ног: виды, симптомы, причины, профилактика и лечение
которые недавно давали коллеги и нашел сведения, что среди взрослых формы первичного туберкулеза (первичный комплекс, ТВГЛУ и др.) отмечены у 23-34% случаев. В благополучных районах России такое тоже может наблюдаться. Подождем, что скажет автор. Я за ТВГЛУ, осложненный ателектазом S6.
[quote=stovbav]
Медиастинальная форма саркоидоза....
[/ Ее я тоже исключала . Но почувствовала неладное в S6-посмотрите внимательно,-в его основании -тень некрупного отграниченного инфильтрата с распадом. На обзорном снимке-в прикорневой зоне -участок инфильтрации, вот и выясняла, что ж это такое. Написала,что процесс "наш", а дальше-дело техники. В результате (была и ФБС )-туберкулома с распадом. И туберкулез сегментарного бронха S6. И туберкулез ВГЛУ.Предвижу вопрос-не ВИЧ, в том-то и дело. Необычно,но бывает.
можно обнаружить распад в туберкулёме? Молодой человек болеет ВИЧ -инфекцией?
Эх,не успел.Когда начал просмотр случая,была мысль про туб.бронха(ведь Миргалина показывает).Заподозрить по рентгену очень сложно,всегда ФБС в помощь.Случай весьма занятный.
Как всегда опоздал( все уже съедено до нас!), но, для коллеги Миргалина, - уменьшите экспозицию( мас), тогда снимки лучше будут. Если авомат - ст. почернения.
Алкс! Спасибо за совет,но снимки "пожестче"специально "заказала",чтобы "пробить" л/у и бронхи посмотреть. Именно так и обнаружила туберкулому с распадом (для Nkolas'а).А щипцовая ФБС была под контролем экрана, т.е. моим,-там тоже видно было,что распад.Результат гистологии тоже подтвердил то,что уже и так было видно.Про ВИЧ ведь специально написала-см.выше в посте N 14. И поэтому тоже необычно. Да,Сергей! Зря,наверное,так рано опубликовала результат. Надо было Вас всех подождать. Потомить еще. В следующий раз тогда уж. Еще случаи будут, не переживайте.
6 сегментарного бронха? Если да, то какой степени? Ваш ответ про Вич двусмысленный. Вы пишите: "Предвижу вопрос-не ВИЧ, в том-то и дело". Продолжение может быть, "в том -то и дело, что да" или "в том-то и дело, что нет".
Круто раскрутили
"Обучая других - учишься сам". Н.И.Пирогов
Миргалина, поделитесь секретом : как вы умудряетесь такие качественные томограммы делать?Если бы у меня была шляпа, то сняла бы ее немедленно.У нас вообще непонятно что .На стром аппарате в поликлинике еще как-то умудряемся , но в стационаре на "Медикс-Амико"-глухой номер.Вообще не размазывает.
Helios, у нас старый аппарат КРТ-2. Просто хорошие лаборанты. Других не держим,-нельзя,т.к. идет сложная диагностика,ошибаться нельзя.Мы же областная контора,за нами-только Москва и Питер.
У меня тоже лаборанты старательные.Только платят им мало.
Все равно противотуб.диспансер переделывет томограммы.Но мне тоже не хочется гнать брак.Буду пытаться и стараться.
Мы тоже часто переделываем тмг.Но если читабельны,- смотрю и такие.Жаль больных-они же не виноваты.Но если есть сомнения.тут включаюсь по полной.-важен диагноз.Они иногда к нему идут долго и окольными путями,-тут без вариантов.
Спасибо за демонстрацию!
это ателеказ.