К вопросу о верхнедолевых локализаиях

Пол пациента: 
Тип патологии: 
Методы исследования: 

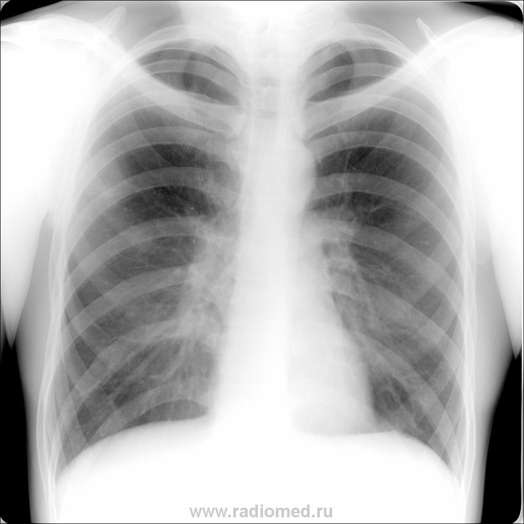
Здравствуйте, коллеги. Молодой человек 1989 г.р. приболел в декабре 2010г. 20.12.10г. сделан снимок. Болен около двух недель: потливость, недомогание, покашливание, периодический под"ем температуры до субфебрильных цифр, особенно по вечерам. СОЭ 15 мм/ч, L 9,5. Какие будут мнения?

  • https://radiomed.ru/sites/default/files/styles/case_slider_image/public/user/2861/20.12.10.jpg?itok=e6QkYKSm
  • https://radiomed.ru/sites/default/files/styles/case_slider_image/public/user/2861/20.12.2010_neg.jpg?itok=x6Xdm7jD
  • https://radiomed.ru/sites/default/files/styles/case_slider_image/public/user/2861/20.12.2010_bok.jpg?itok=7wWc9m0z
ID:13355
ЛГ аватар
Не на сайте
Был на сайте: 8 лет 10 месяцев назад
Зарегистрирован: 06.01.2010 - 12:31
Публикации: 3523

Инфильтративный туберкулез ах.субсегмента справа? Схема стандартная - противовоспалительное неспецифическое лечение и контроль через 2 недели, если нет хорошей динамики - к фтизиатрам. 

lupan аватар
Не на сайте
Был на сайте: 6 лет 10 месяцев назад
Зарегистрирован: 07.01.2010 - 17:17
Публикации: 1406

Ну а внутренний голос что говорит? Будет ТБС?

Великое преймущество врача заключается в том, что он не обязан следовать собственным советам. ( А. Кристи)

Ola-la аватар
Не на сайте
Был на сайте: 10 месяцев 5 дней назад
Зарегистрирован: 06.12.2008 - 09:33
Публикации: 1786

Наверное, будет, раз выставили наблюдение ))))

ЛГ аватар
Не на сайте
Был на сайте: 8 лет 10 месяцев назад
Зарегистрирован: 06.01.2010 - 12:31
Публикации: 3523

Думаю, да.

lupan аватар
Не на сайте
Был на сайте: 6 лет 10 месяцев назад
Зарегистрирован: 07.01.2010 - 17:17
Публикации: 1406

Давайте подождем. Может, у коллег будут другие мнения.

Великое преймущество врача заключается в том, что он не обязан следовать собственным советам. ( А. Кристи)

doktor-rentgen аватар
Не на сайте
Был на сайте: 9 лет 2 месяцев назад
Зарегистрирован: 06.07.2010 - 20:56
Публикации: 640

ткните, где оно на боку, пожалуйста.

Almo аватар
Не на сайте
Был на сайте: 7 часов 34 минуты назад
Зарегистрирован: 28.09.2008 - 18:50
Публикации: 8251

По боковому непонятно, в каком сегменте инфильтрат.DS-?

lupan аватар
Не на сайте
Был на сайте: 6 лет 10 месяцев назад
Зарегистрирован: 07.01.2010 - 17:17
Публикации: 1406

Инфильтрация малоинтенсивная, поэтому на боковой не видно. Но сублевральное расположение на прямом снимке практически не оставляет сомнения в Sax. 

Великое преймущество врача заключается в том, что он не обязан следовать собственным советам. ( А. Кристи)

lupan аватар
Не на сайте
Был на сайте: 6 лет 10 месяцев назад
Зарегистрирован: 07.01.2010 - 17:17
Публикации: 1406

В оконцовке, терапевт не стал связываться с туберкулезом (изоляция и все такое) и отправил в туб. отделение. На дорожку сыпанул ему горсть антибиотиков. Больной возвратился через две недели с "теплым приветом" от фтизиатров. Что же, стандарт есть стандарт.

Приложения: 
07.01.11..jpg07.01.11g..jpg

Великое преймущество врача заключается в том, что он не обязан следовать собственным советам. ( А. Кристи)

Катенёв Валентин Львович аватар
Не на сайте
Был на сайте: 7 лет 2 недели назад
Зарегистрирован: 22.03.2008 - 22:15
Публикации: 54876

"Теплый привет" - это всегда хорошо, особенно от фтизиатров. Хорошо, если через 6 месяцев (при контроле) этот "теплый привет" оправдается.

Посторонним В аватар
Не на сайте
Был на сайте: 6 лет 1 неделя назад
Зарегистрирован: 16.08.2010 - 21:23
Публикации: 345

?

Приложения: 
20_12_10.jpg

...

Евгений1313 аватар
Не на сайте
Был на сайте: 13 лет 5 дней назад
Зарегистрирован: 15.10.2010 - 19:13
Публикации: 808

Пока пневмония-потом видно будет.