Неотчётливое беспокойство о здоровье...

Методы исследования: 

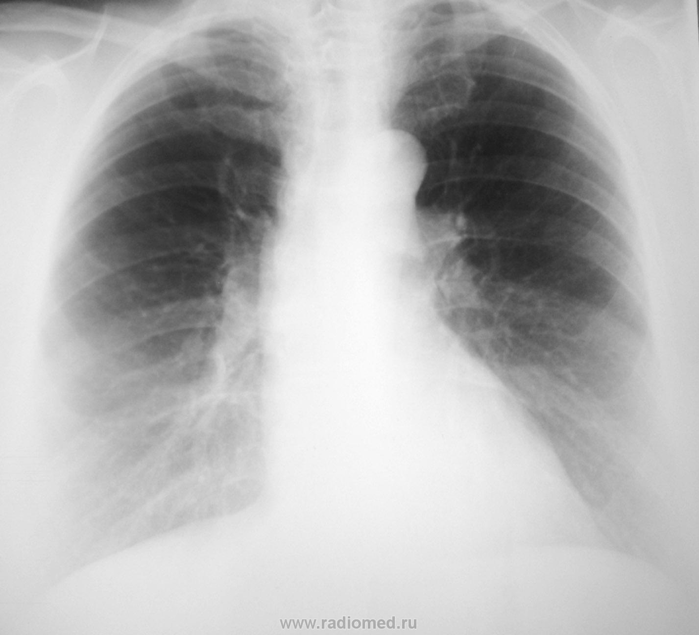
Женщина среднего возраста. Решила "провериться". Беспокоят периодические боли в левой ½ грудной клетки, иногда одышка.

  • https://radiomed.ru/sites/default/files/styles/case_slider_image/public/user/939/dsc02027-6710.jpg?itok=qgVYeyhS
  • https://radiomed.ru/sites/default/files/styles/case_slider_image/public/user/939/dsc02022-679.jpg?itok=Nxa415VF
ID:44611
Ola-la аватар
Не на сайте
Был на сайте: 10 месяцев 3 дня назад
Зарегистрирован: 06.12.2008 - 09:33
Публикации: 1786

Нет ли очаговой тени в S3?

Петрович аватар
Не на сайте
Был на сайте: 7 лет 2 месяцев назад
Зарегистрирован: 22.03.2009 - 01:13
Публикации: 3908

Дополнительные материалы выложу позже.

Неоднозначно всё

ЛГ аватар
Не на сайте
Был на сайте: 8 лет 10 месяцев назад
Зарегистрирован: 06.01.2010 - 12:31
Публикации: 3523

Только версия!)) Периферический слева. Справа - не уверена, но тоже шарик. Линейные томограммы и предыдущие ФЛГ пожалуйтеsmiley

Kuzmitch аватар
Не на сайте
Был на сайте: 12 лет 7 месяцев назад
Зарегистрирован: 01.10.2010 - 18:20
Публикации: 171

Слева в переднем синусе - плевродиафрагмальная шварта

Смущает рисующаяся округлая тень на фоне переднего отрезка IV ребра справа

Игорь Иванович аватар
Не на сайте
Был на сайте: 3 года 9 месяцев назад
Зарегистрирован: 23.01.2010 - 14:56
Публикации: 3695

Ничего особенного не заметил. Если бы такой экземпляр на флюорографии - поставил бы норму не задумываясь. Хотя, пытаясь поиграть с изображением насмотрел что-то плевральное в переднем синусе.

Петрович аватар
Не на сайте
Был на сайте: 7 лет 2 месяцев назад
Зарегистрирован: 22.03.2009 - 01:13
Публикации: 3908

Ola-la. wrote:
Нет ли очаговой тени в S3?
С какой стороны в S3?

Получается, с моим первым впечатлением ничьё мнение не совпало... А насторожило меня вот ЭТО:

Неоднозначно всё

Петрович аватар
Не на сайте
Был на сайте: 7 лет 2 месяцев назад
Зарегистрирован: 22.03.2009 - 01:13
Публикации: 3908

При первом смотре в передней проекции взгляд не ничто не зацепило. Хорошо когда есть флюорограмма, сделанная в несколько ином ракурсе.

Неоднозначно всё

ЛГ аватар
Не на сайте
Был на сайте: 8 лет 10 месяцев назад
Зарегистрирован: 06.01.2010 - 12:31
Публикации: 3523

Оla-la была права?

Петрович аватар
Не на сайте
Был на сайте: 7 лет 2 месяцев назад
Зарегистрирован: 22.03.2009 - 01:13
Публикации: 3908

Стало ясно: патологический очаг d = 1см средней интенсивности, четко очерченный, неправильно-округлый находится справа, чуть ниже IV ребра, вблизи передней костальной плевры. Что и подтверждается прицельной рентгенограммой в оптимальной проекции.

 

Остается решить: что ЭТО такое? И как с ним поступить?

Неоднозначно всё

ЛГ аватар
Не на сайте
Был на сайте: 8 лет 10 месяцев назад
Зарегистрирован: 06.01.2010 - 12:31
Публикации: 3523

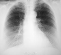
Кто заказал левый боковой и зачем? И где правый?

Петрович аватар
Не на сайте
Был на сайте: 7 лет 2 месяцев назад
Зарегистрирован: 22.03.2009 - 01:13
Публикации: 3908

Левый заказала клиника. См. выше. Правый уже не потребовался.

Неоднозначно всё

ЛГ аватар
Не на сайте
Был на сайте: 8 лет 10 месяцев назад
Зарегистрирован: 06.01.2010 - 12:31
Публикации: 3523

Опять родинка?

Петрович аватар
Не на сайте
Был на сайте: 7 лет 2 месяцев назад
Зарегистрирован: 22.03.2009 - 01:13
Публикации: 3908

Кккакая родинка и почему Опять?

Неоднозначно всё

ЛГ аватар
Не на сайте
Был на сайте: 8 лет 10 месяцев назад
Зарегистрирован: 06.01.2010 - 12:31
Публикации: 3523

Пойду, пожалуй. Подожду, когда всё объяснят для тех, кто в танке.

Ola-la аватар
Не на сайте
Был на сайте: 10 месяцев 3 дня назад
Зарегистрирован: 06.12.2008 - 09:33
Публикации: 1786

Почему не совпало мнение, и я про этот очажок говорила.

Петрович аватар
Не на сайте
Был на сайте: 7 лет 2 месяцев назад
Зарегистрирован: 22.03.2009 - 01:13
Публикации: 3908

Но выразилась очень неточно. Слова сэкономила))

Неоднозначно всё

Ola-la аватар
Не на сайте
Был на сайте: 10 месяцев 3 дня назад
Зарегистрирован: 06.12.2008 - 09:33
Публикации: 1786

Ну, да, что справа не договорила ))))

Петрович аватар
Не на сайте
Был на сайте: 7 лет 2 месяцев назад
Зарегистрирован: 22.03.2009 - 01:13
Публикации: 3908

ИТАК: Имеем патологический очаг d = 1см, средней интенсивности, с четким, но не очень ровным контуром, неправильно-округлый, находится справа, на уровне нижнего края IV ребра, вблизи передней костальной плевры (по-видимому в S3).

Остается решить: что ЭТО такое? И как с ним поступить?

Мнения Учёных и Практиков какие будут?

Неоднозначно всё

Ola-la аватар
Не на сайте
Был на сайте: 10 месяцев 3 дня назад
Зарегистрирован: 06.12.2008 - 09:33
Публикации: 1786

Прямая дорога на КТ!

Петрович аватар
Не на сайте
Был на сайте: 7 лет 2 месяцев назад
Зарегистрирован: 22.03.2009 - 01:13
Публикации: 3908

С чем же?

Неоднозначно всё

ЛГ аватар
Не на сайте
Был на сайте: 8 лет 10 месяцев назад
Зарегистрирован: 06.01.2010 - 12:31
Публикации: 3523

Пока артиллерия подходит))...            

Слева суммация теней, а мое воображение нарисовало несуществующую теньsad... Про родинку написала, не подумав о величине бюста пациентки. Так что родинка отпадает. Остается вопрос: где предыдущие ФЛГ, какого размера там была эта штука и была ли вообще... Есть ФЛГ от 2010, декабрь - тут тень эта есть, но тогда за почти 5 месяцев размер тенюшки не увеличился, ИМХО)). Нужны более старые флюшки. И если картина не меняется - "добро". На КТ направлять однозначно, даже если не увеличилась. С диагнозом субплеврального образования S3 справа, и "добро" нуждается в дообследовании (спасибо Ola-la и Петровичу за придание ускорения и верного (?) курса)laugh

Петрович аватар
Не на сайте
Был на сайте: 7 лет 2 месяцев назад
Зарегистрирован: 22.03.2009 - 01:13
Публикации: 3908

Ретроспективный анализ ранее не увиденного, ставшего видимым спустя годы. Как легко и приятно быть Ретроспективнозорким и Ретроспективноумным.

Какие соображения у Экспертов?

Неоднозначно всё

Игорь Иванович аватар
Не на сайте
Был на сайте: 3 года 9 месяцев назад
Зарегистрирован: 23.01.2010 - 14:56
Публикации: 3695

Внутренний голос подсказывает - пустые хлопоты.

Kat аватар
Kat
Не на сайте
Был на сайте: 12 лет 6 месяцев назад
Зарегистрирован: 19.04.2011 - 19:10
Публикации: 365

На прошлой недели взяла на дообследование с флюшек похожую тенюшку-скорее для выработки кол-ва tg, с 2002 года наблюдается у онкологов с Ds Гамартома-по tg до 2010 никаких изменений. После tg-увеличение размеров за год на 1\3 с четкими бугристыми контурами и намечающимися фиброзными тяжами.Гамартома с озлокач.? или это все же рачок был?тогда почему столько лет "спал"?

Временно отсутствую на сайте...

Петрович аватар
Не на сайте
Был на сайте: 7 лет 2 месяцев назад
Зарегистрирован: 22.03.2009 - 01:13
Публикации: 3908

Но, хотя ОНО в динамике ведёт себя вполне доброкачественно, направлено в ПТД, для исключения туберкуломы.

Неоднозначно всё