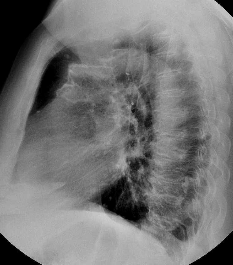
Я тоже уверен, что болела, но при всяческих расспросах отрицает. про прошлое флю не спросил. Так изменения в легких или в плевре? или там и там? и почему так симметрично с обеих сторон?
никакого проф анамнеза. всю жизнь работала в ателье. опять утверждала ,что ничем не болела. так где это -в легких или в плевре? и как вы думаете каков субстрат - пневмофиброз?кальцинаты? или то и то + обызвестление плевры?
место , лучше бы высказались о локализации изменений
Изолированые петрификаты - в верхних долях; масивные обызествления ПЛЕВРЫ, просто такое обызествление имеет БОЛЬШУЮ толщину, чем обычные листки ...потому и как бы НАПЛЫВАЕТ на легкие. Такое мое мнение.
Болела ваша пациентка, болела точно - вот это плевральные дела - участки обызвествленной плевры.
Да, и в нижних отделах главной междолевой щели, толи осумкованные выпот, толи швартообразование.
А когда последний раз проходила фг? Данных за активный процесс не вижу.
Я тоже уверен, что болела, но при всяческих расспросах отрицает. про прошлое флю не спросил. Так изменения в легких или в плевре? или там и там? и почему так симметрично с обеих сторон?
Проф. анамнез есть?
Сейчас она болеет атеросклерозом мозговых сосудов. Всё остальное надо рассматривать с учётом этого основного её заболевания.
Неоднозначно всё
Про проф спрашу завтра. так все же где это- легкие?
никакого проф анамнеза. всю жизнь работала в ателье. опять утверждала ,что ничем не болела. так где это -в легких или в плевре? и как вы думаете каков субстрат - пневмофиброз?кальцинаты? или то и то + обызвестление плевры?
Эта рентгеновская картина характерна для обызвествления костальной плевры.
Неоднозначно всё
http://www.radiomed.ru/forum/obyzvestvleniya-plevry-nabor-izobrazheniy
я согласен, но почему на томо изменения начинаются в легочной ткани, на тех же уровнях ,что некоторые и кальцинаты?
Какой угол качания трубки?
стандартный для томограмм. около 45
Неоднозначно всё
место
, лучше бы высказались о локализации изменений
Изолированые петрификаты - в верхних долях; масивные обызествления ПЛЕВРЫ, просто такое обызествление имеет БОЛЬШУЮ толщину, чем обычные листки ...потому и как бы НАПЛЫВАЕТ на легкие. Такое мое мнение.
Болезни ног: виды, симптомы, причины, профилактика и лечение
Спасибо! хоть кто-то по делу
Почти аналог.
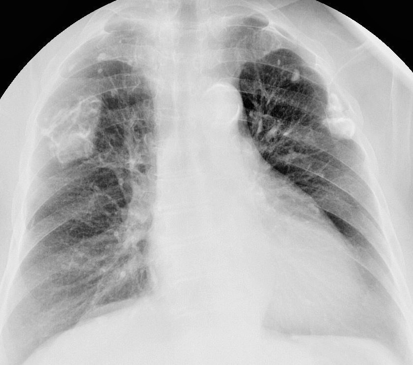
А вот что по этому поводу можно сказать?.....лично для меня это до сегодня загадка.(за изображение извините, все чем богат...оригиналы ушли)
Болезни ног: виды, симптомы, причины, профилактика и лечение
Не хитрите Виктор Григорьевич!
С большой степенью вероятности можно высказаться в пользу последствий перенесенного констриктивного перикардита.