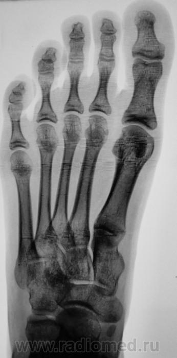
Хирург утверждает, что отломок...

Пол пациента: 
Тип патологии: 
Область исследования: 
Методы исследования: 

Хирург утверждает, что отломок...

  • https://radiomed.ru/sites/default/files/styles/case_slider_image/public/user/12/2.201310110008.jpg?itok=Myds2lKf
  • https://radiomed.ru/sites/default/files/styles/case_slider_image/public/user/12/3.201201010012_1.jpg?itok=zp50ARmI
  • https://radiomed.ru/sites/default/files/styles/case_slider_image/public/user/12/4.201310110009.jpg?itok=rdhb5ooU
  • https://radiomed.ru/sites/default/files/styles/case_slider_image/public/user/12/5.201310110010.jpg?itok=FLbGp4hx
ID:32382
Сергей Кузьминов аватар
Не на сайте
Был на сайте: 1 год 2 недели назад
Зарегистрирован: 06.10.2012 - 15:51
Публикации: 11813

Ровненько и кругленько.Не отломок.

maker4ik аватар
Не на сайте
Был на сайте: 8 лет 7 месяцев назад
Зарегистрирован: 19.10.2011 - 17:49
Публикации: 2682

Отломки так не выглядят.

tatyana аватар
Не на сайте
Был на сайте: 4 года 1 месяц назад
Зарегистрирован: 24.06.2009 - 08:33
Публикации: 2090

Os tibiale externum. Покажите хирургу анатомический атлас

"самоуверенность дилетантов - предмет зависти профессионалов"

И.Бондаренко аватар
Не на сайте
Был на сайте: 9 часов 24 минуты назад
Зарегистрирован: 13.09.2011 - 22:55
Публикации: 9206

tatyana wrote:
Os tibiale externum. Покажите хирургу анатомический атлас

Да, Королюка.

vevo аватар
Не на сайте
Был на сайте: 11 лет 1 месяц назад
Зарегистрирован: 15.08.2011 - 00:32
Публикации: 77

И.Бондаренко wrote:

tatyana wrote:
Os tibiale externum. Покажите хирургу анатомический атлас

Да, Королюка.

Или в инете загуглит ))) http://radiopaedia.org/articles/os-tibiale-externum... или http://nl.wikipedia.org/wiki/Os_tibiale_externum

Катенёв Валентин Львович аватар
Не на сайте
Был на сайте: 7 лет 2 недели назад
Зарегистрирован: 22.03.2008 - 22:15
Публикации: 54876

tatyana wrote:
Покажите хирургу анатомический атлас

Показал Королюка.

алкс аватар
Не на сайте
Был на сайте: 10 лет 3 недели назад
Зарегистрирован: 24.10.2012 - 22:55
Публикации: 2915

Катенёв Валентин Львович wrote:

tatyana wrote:
Покажите хирургу анатомический атлас

Показал Королюка.

yessmileysmileysmiley!

stovbav аватар
Не на сайте
Был на сайте: 2 года 2 месяцев назад
Зарегистрирован: 20.12.2009 - 17:28
Публикации: 7066

Катенёв Валентин Львович wrote:

tatyana wrote:
Покажите хирургу анатомический атлас

Показал Королюка.

И чем закончилась "их беседа"?))))

Катенёв Валентин Львович аватар
Не на сайте
Был на сайте: 7 лет 2 недели назад
Зарегистрирован: 22.03.2008 - 22:15
Публикации: 54876

Хирург у нас с большими "понтами", свою точку зрения имеет.

Но сейчас с "точкой зрения" стало туговато. Протокол рентгенолога стал обязательным.

lupan аватар
Не на сайте
Был на сайте: 6 лет 10 месяцев назад
Зарегистрирован: 07.01.2010 - 17:17
Публикации: 1406

Вывести косточку в оптимальную проекцию, затем анатомия совместно с хирургом. 

Великое преймущество врача заключается в том, что он не обязан следовать собственным советам. ( А. Кристи)