Ну те-с..., и какие мнения будут, уважаемые коллеги?

Пол пациента: 
Тип патологии: 
Методы исследования: 

Ну те-с..., и какие мнения будут, уважаемые коллеги?

Томограммы.

  • https://radiomed.ru/sites/default/files/styles/case_slider_image/public/user/12/12.p4190003a.jpg?itok=VyehIXLd
  • https://radiomed.ru/sites/default/files/styles/case_slider_image/public/user/12/13.p4190004.jpg?itok=VKJ9gjNn
  • https://radiomed.ru/sites/default/files/styles/case_slider_image/public/user/12/14.p4190004a.jpg?itok=chrJUiV0
  • https://radiomed.ru/sites/default/files/styles/case_slider_image/public/user/12/15.p4190004ab.jpg?itok=U-6V1aAc
  • https://radiomed.ru/sites/default/files/styles/case_slider_image/public/user/12/1.p4190005.jpg?itok=h9GyNckK
  • https://radiomed.ru/sites/default/files/styles/case_slider_image/public/user/12/2.p4190005a.jpg?itok=mtEm9bk6
  • https://radiomed.ru/sites/default/files/styles/case_slider_image/public/user/12/3.p4190005ab.jpg?itok=vw9fJJMb
  • https://radiomed.ru/sites/default/files/styles/case_slider_image/public/user/12/4.p4190006.jpg?itok=5X_-AdHo
  • https://radiomed.ru/sites/default/files/styles/case_slider_image/public/user/12/5.p4190006a.jpg?itok=pwDhhzK0
  • https://radiomed.ru/sites/default/files/styles/case_slider_image/public/user/12/6.p4190006ab.jpg?itok=S7sSSh7u
  • https://radiomed.ru/sites/default/files/styles/case_slider_image/public/user/12/7.p4190008.jpg?itok=8HyyDfFQ
  • https://radiomed.ru/sites/default/files/styles/case_slider_image/public/user/12/8.p4190008a.jpg?itok=8n4WTUmG
  • https://radiomed.ru/sites/default/files/styles/case_slider_image/public/user/12/9.p4190008ab.jpg?itok=TJDY8B4O
ID:20994
Nikolas аватар
Не на сайте
Был на сайте: 2 месяцев 1 день назад
Зарегистрирован: 21.12.2010 - 20:37
Публикации: 4559

как следствие операции по поводу туберкулеза легких. Если сейчас выделяет МБТ, то следует расценивать как реактивацию туберкулезного процесса. Думаю, что вспышка туберкулёза  есть.

Катенёв Валентин Львович аватар
Не на сайте
Был на сайте: 7 лет 3 недели назад
Зарегистрирован: 22.03.2008 - 22:15
Публикации: 54876

Nikolas wrote:

 Если сейчас выделяет МБТ, то следует расценивать как реактивацию туберкулезного процесса. Думаю, что вспышка туберкулёза  есть.

+1

И.Бондаренко аватар
Не на сайте
Был на сайте: 14 часов 42 минуты назад
Зарегистрирован: 13.09.2011 - 22:55
Публикации: 9206

Кадры из фильма о Крюгере?

Катенёв Валентин Львович аватар
Не на сайте
Был на сайте: 7 лет 3 недели назад
Зарегистрирован: 22.03.2008 - 22:15
Публикации: 54876

Почему о Крюгере. Если копнуть, так это обычная действительность любого Субъекта нашей прекрасной Федерации.

Петрович аватар
Не на сайте
Был на сайте: 7 лет 2 месяцев назад
Зарегистрирован: 22.03.2009 - 01:13
Публикации: 3908

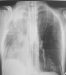
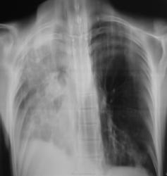
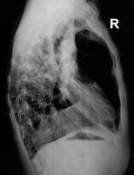
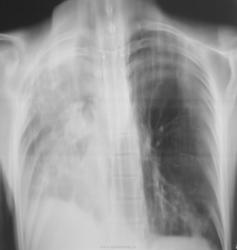
По рентгенограммам фиброторакс как бы неполный, однако, на представленных томограммах правый главный бронх в виде культи, но нечётко видимой. И металл. зажимы в срезы не попали. Там точно всё удалено?

Левое лёгкое с патологией и в нижней доле и в верхней.

Неоднозначно всё

Катенёв Валентин Львович аватар
Не на сайте
Был на сайте: 7 лет 3 недели назад
Зарегистрирован: 22.03.2008 - 22:15
Публикации: 54876

Согласно документам - пульмонэктомия.

Nikolas аватар
Не на сайте
Был на сайте: 2 месяцев 1 день назад
Зарегистрирован: 21.12.2010 - 20:37
Публикации: 4559

здесь.

Приложения: 
12.p4190003a.jpg
Петрович аватар
Не на сайте
Был на сайте: 7 лет 2 месяцев назад
Зарегистрирован: 22.03.2009 - 01:13
Публикации: 3908

И не только здесь. Но на представленных томограммах НЕ вижу.

Неоднозначно всё

Катенёв Валентин Львович аватар
Не на сайте
Был на сайте: 7 лет 3 недели назад
Зарегистрирован: 22.03.2008 - 22:15
Публикации: 54876

Петрович wrote:

И не только здесь. Но на представленных томограммах НЕ вижу.

Значит в "срез" не попали.

Евгений1313 аватар
Не на сайте
Был на сайте: 13 лет 2 недели назад
Зарегистрирован: 15.10.2010 - 19:13
Публикации: 808

Ну пульмонэктомия-значит пульмон эктомия , ничего нового.Только надо иметь ввиду грубое смещение органов средостения и медиастинальная грыжа.

Nikolas аватар
Не на сайте
Был на сайте: 2 месяцев 1 день назад
Зарегистрирован: 21.12.2010 - 20:37
Публикации: 4559

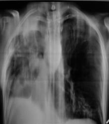
См. рисунок.

Приложения: 
12.p4190003a.jpg
Петрович аватар
Не на сайте
Был на сайте: 7 лет 2 месяцев назад
Зарегистрирован: 22.03.2009 - 01:13
Публикации: 3908

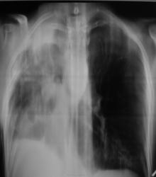
С медиастинальными грыжами понятно. А что ещё светится на месте удалённого лёгкого? При фибротораксе такого не может быть. Когда была операция? И клиники хоть ложку надо.

Приложения: 
12.p4190003a_0.jpg

Неоднозначно всё

Nikolas аватар
Не на сайте
Был на сайте: 2 месяцев 1 день назад
Зарегистрирован: 21.12.2010 - 20:37
Публикации: 4559

Чайную, столовую, деревянную, золотую .???? (Прикол). Настроение хорошее, несмотря на  темные тучи на небе.   А на Радиомеде светло.

Катенёв Валентин Львович аватар
Не на сайте
Был на сайте: 7 лет 3 недели назад
Зарегистрирован: 22.03.2008 - 22:15
Публикации: 54876

Nikolas wrote:

 А на Радиомеде светло.

Да, было светло..., сейчас грустновато...

Катенёв Валентин Львович аватар
Не на сайте
Был на сайте: 7 лет 3 недели назад
Зарегистрирован: 22.03.2008 - 22:15
Публикации: 54876

Следующий случай.

 

Приложения: 
mie_1.jpgmie_2.jpgmie_3.jpgmie_4.jpgmie_5.jpgmie_6.jpgmie_7.jpgmie_8.jpg