О каком заболевании можно думать коллеги?

Пол пациента: 
Методы исследования: 

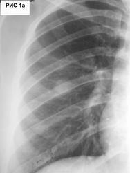
32 года. Экономист. Замужем. Дети 3 и 7 лет. Курит 12 лет. Изменения в S6 правого легкого (рис.1,1а) выявлены при профосмотре. Уехала в командировку. Явилась через 2 мес.Рентгенограмма ОГК (рис.2,2а). 

Жалобы на одышку, кашель с мокротой слизистого характера,"упадок сил", температуру 37,5, похудание на 2 кг. Кровь: Hb - 110г/л, лейк.8,9*109/л, палоч. - 13%, лимф.38%, СОЭ - 35 мм/ч. Архива нет.

  • https://radiomed.ru/sites/default/files/styles/case_slider_image/public/user/7898/dscf2869_0.jpg?itok=u0OkZfHj
  • https://radiomed.ru/sites/default/files/styles/case_slider_image/public/user/7898/dscf2871_0.jpg?itok=QoH7OV_-
  • https://radiomed.ru/sites/default/files/styles/case_slider_image/public/user/7898/dscf2870_0.jpg?itok=vD7m1yds
ID:13382
Almo аватар
Не на сайте
Был на сайте: 11 часов 15 минут назад
Зарегистрирован: 28.09.2008 - 18:50
Публикации: 8259

Нужен правый боковой снимок лёгких.С учётом имееющейся информации, можно предположить инфильтративный туберкулёз с распадом справа в S6 и засевом нижнее поле слева (?) .Дифференцировать с периферическим раком с распадом.

Vikkur аватар
Не на сайте
Был на сайте: 4 года 8 месяцев назад
Зарегистрирован: 24.09.2009 - 14:34
Публикации: 1749

похоже туберкулез..для рака молода...

Виктор.

sema аватар
Не на сайте
Был на сайте: 10 лет 4 месяцев назад
Зарегистрирован: 05.09.2010 - 08:39
Публикации: 233

В первую очередь туберкулез. Только непонятно были или нет изменения слева в нижней доле 2 мес. назад.И наверное нужно ТМГ, на снимках внутренний контур полости бугристый.

stovbav аватар
Не на сайте
Был на сайте: 2 года 2 месяцев назад
Зарегистрирован: 20.12.2009 - 17:28
Публикации: 7066

1.Частично дренированый абсцесс.

2. Что говорит анализ мокроты?

Катенёв Валентин Львович аватар
Не на сайте
Был на сайте: 7 лет 3 недели назад
Зарегистрирован: 22.03.2008 - 22:15
Публикации: 54876

Чисто скиалогически.

По всей видимости, к «туберу» такой локализации, с такой картинкой симпатий вообще не возникает.

На мой взгляд, наиболее вероятно абсцесс и полостная форма рака. Но не надо забывать про «вегенерочку».

«Бугорочек» на фоне полости может навеять мечты о «грибном сезоне», а посему мокроту необходимо смотреть тщательно и неодноразово, да и посев на среды будет не лишним.

Конечно, скорее всего «скиалогическое прибамбасы», но «кругляшок» умозрительно нарисовать можно – красная стрелочка, да. И тенюшка – желтая стрелка явно подрастает.

По всей видимости, «линейка» неизбежна и показана.

Приложения: 
1.uu_.dscf2868_0.jpg2.uu_.dscf2869_0.jpg3.uu_.dscf2871_0.jpg
Евгений1313 аватар
Не на сайте
Был на сайте: 13 лет 1 неделя назад
Зарегистрирован: 15.10.2010 - 19:13
Публикации: 808

Похоже абсцесс в С3(С6).

Nikolas аватар
Не на сайте
Был на сайте: 1 месяц 4 недели назад
Зарегистрирован: 21.12.2010 - 20:37
Публикации: 4559

В "конторе" методом люминесцентной микроскопии обнаружены МБТ. Форма туберкулеза - инфильтративный в фазе распада. С уважением Nikolas

Vikkur аватар
Не на сайте
Был на сайте: 4 года 8 месяцев назад
Зарегистрирован: 24.09.2009 - 14:34
Публикации: 1749

Спасибо за законченный случай.

Виктор.

Almo аватар
Не на сайте
Был на сайте: 11 часов 15 минут назад
Зарегистрирован: 28.09.2008 - 18:50
Публикации: 8259

+1.

Евгений1313 аватар
Не на сайте
Был на сайте: 13 лет 1 неделя назад
Зарегистрирован: 15.10.2010 - 19:13
Публикации: 808

Люменисцентный метод- порочный метод.Покажите нам динамику.

Петрович аватар
Не на сайте
Был на сайте: 7 лет 2 месяцев назад
Зарегистрирован: 22.03.2009 - 01:13
Публикации: 3908

Катенёв Валентин Львович wrote:
Чисто скиалогически.

По всей видимости, к «туберу» такой локализации, с такой картинкой симпатий вообще не возникает.

На мой взгляд, наиболее вероятно абсцесс и полостная форма рака. Но не надо забывать про «вегенерочку».

«Бугорочек» на фоне полости может навеять мечты о «грибном сезоне», а посему мокроту необходимо смотреть тщательно и неодноразово, да и посев на среды будет не лишним.

Конечно, скорее всего «скиалогическое прибамбасы», но «кругляшок» умозрительно нарисовать можно – красная стрелочка, да. И тенюшка – желтая стрелка явно подрастает.

По всей видимости, «линейка» неизбежна и показана.

Насчёт цвета стрелок не согласен: у меня все серые. Но фокусы те, я тоже вижу. Доказать их реальность поможет рентгенограмма в задней проекции. Пока до томографии очередь не дошла.

Неоднозначно всё