Образование желудка, почки...требуется народный контроль

Пол пациента: 
Методы исследования: 

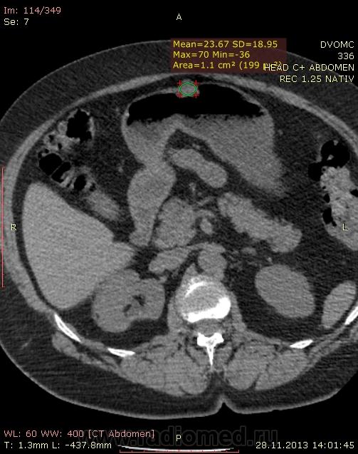
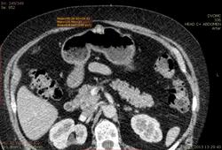
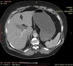
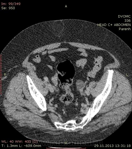
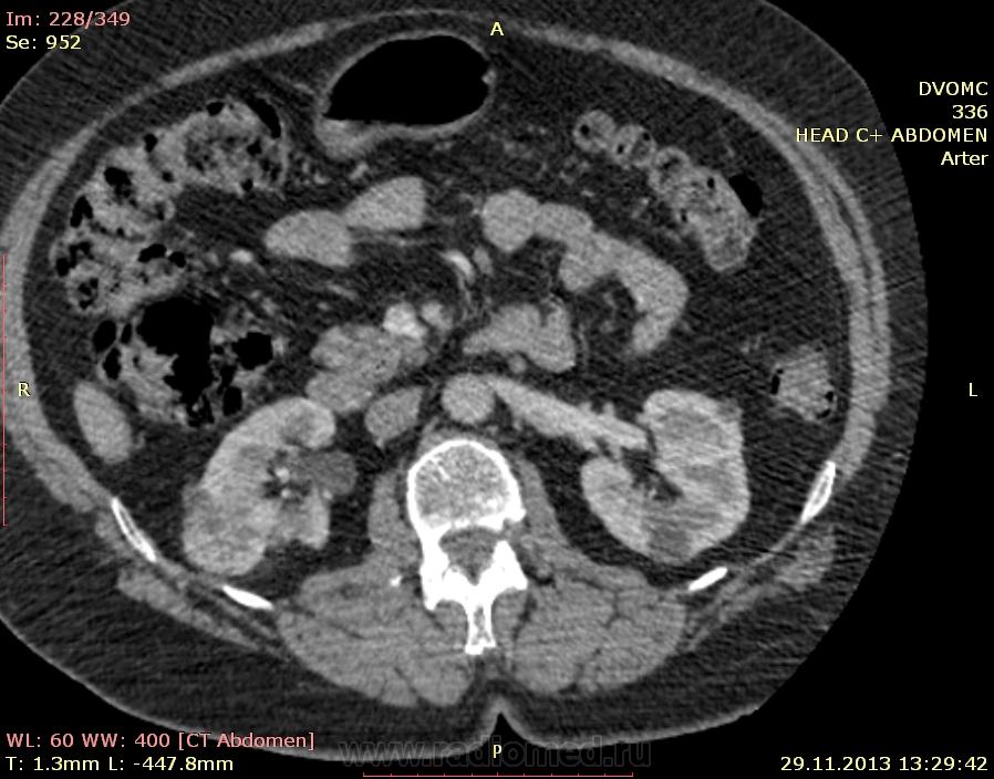
Пациентка 66 лет. В 2010 году мастэктомия слева - Cr II B ст., псориаз. Я нашел: образование нижнего полюса правой почки, образование в антральном отделе желудка по малой кривизне, киста яичника слева...в желчном пузыре много газосодержащих камней(?), лимфоузлов вроде не видно. Всё, кроме образования желудка находили ранее на УЗИ да на МРТ. Коллеги, посмотрите, можт я чё пропустил или неправильно понял. Какие мысли по поводу образований - особенно желудка(GIST? mts?)  DICOM здесь http://files.mail.ru/2C4F7CA79A884D37B3C86FF69C3D8D67

  • https://radiomed.ru/sites/default/files/styles/case_slider_image/public/user/17526/img-0002-00001_26.jpg?itok=-N3VCtmR
  • https://radiomed.ru/sites/default/files/styles/case_slider_image/public/user/17526/img-0003-00001_24.jpg?itok=G8uLpQcf
  • https://radiomed.ru/sites/default/files/styles/case_slider_image/public/user/17526/img-0005-00001_21.jpg?itok=lfnDXzGc
  • https://radiomed.ru/sites/default/files/styles/case_slider_image/public/user/17526/img-0006-00001_21.jpg?itok=oIxoPcus
  • https://radiomed.ru/sites/default/files/styles/case_slider_image/public/user/17526/img-0007-00001_14.jpg?itok=vyVI_MF5
  • https://radiomed.ru/sites/default/files/styles/case_slider_image/public/user/17526/img-0009-00001_9.jpg?itok=n9WOYKnL
  • https://radiomed.ru/sites/default/files/styles/case_slider_image/public/user/17526/img-0010-00001_8.jpg?itok=Sm5-Nlbk
  • https://radiomed.ru/sites/default/files/styles/case_slider_image/public/user/17526/img-0011-00001_6.jpg?itok=b_wfKTzc
  • https://radiomed.ru/sites/default/files/styles/case_slider_image/public/user/17526/img-0012-00001_3.jpg?itok=RTf1Ps-H
  • https://radiomed.ru/sites/default/files/styles/case_slider_image/public/user/17526/img-0013-00001_3.jpg?itok=pj8ViL0j
  • https://radiomed.ru/sites/default/files/styles/case_slider_image/public/user/17526/img-0014-00001_2.jpg?itok=XWObR9Cu
  • https://radiomed.ru/sites/default/files/styles/case_slider_image/public/user/17526/img-0015-00001_2.jpg?itok=91aXosvw
  • https://radiomed.ru/sites/default/files/styles/case_slider_image/public/user/17526/img-0016-00001_2.jpg?itok=95n2pl19
  • https://radiomed.ru/sites/default/files/styles/case_slider_image/public/user/17526/img-0017-00001_2.jpg?itok=9-i2B0kz
  • https://radiomed.ru/sites/default/files/styles/case_slider_image/public/user/17526/img-0018-00001_2.jpg?itok=k_fR4WI8
  • https://radiomed.ru/sites/default/files/styles/case_slider_image/public/user/17526/img-0019-00001_2.jpg?itok=xwzYFkly
  • https://radiomed.ru/sites/default/files/styles/case_slider_image/public/user/17526/gallbladder100001.jpg?itok=uXc-5sq6
  • https://radiomed.ru/sites/default/files/styles/case_slider_image/public/user/17526/gallbladder200001.jpg?itok=go1LhU9K
  • https://radiomed.ru/sites/default/files/styles/case_slider_image/public/user/17526/gallbladder400001.jpg?itok=NN5yx1v2
  • https://radiomed.ru/sites/default/files/styles/case_slider_image/public/user/17526/gallbladder500001.jpg?itok=xfcKfYif
ID:33837
Любовь С. аватар
Не на сайте
Был на сайте: 9 лет 5 месяцев назад
Зарегистрирован: 23.12.2010 - 01:58
Публикации: 2324

Мне кажется, что маловато контраста на вес пациентки. Почечно-клеточная (как более вероятная) карцинома правой почки, в стенке желудка написала бы мтс. Газосодержащие камни желчного пузыря. Кистовидное образование яичника. Киста печени, кисты почек. Дивертикулез толстой кишки. А что с жиром в грыже (вроде пупочная))) - наверное, последствие инфаркта сальника.

"Предоставляя весь смысл и совершенство в распоряжение одного только Бога, вы избавляете себя от бездны хлопот." Джон Уитборн.

Sepsis аватар
Не на сайте
Был на сайте: 1 год 8 месяцев назад
Зарегистрирован: 13.12.2012 - 16:48
Публикации: 283

Спасибо.

Да контраста маловато, согласен.

Sepsis аватар
Не на сайте
Был на сайте: 1 год 8 месяцев назад
Зарегистрирован: 13.12.2012 - 16:48
Публикации: 283

А бывают mts ПКР в желудок?

Любовь С. аватар
Не на сайте
Был на сайте: 9 лет 5 месяцев назад
Зарегистрирован: 23.12.2010 - 01:58
Публикации: 2324

А почему нет.

https://www.google.com.ua/search?q=renal+cancer+metastases+to+stomach&oq=renal+cancer+and+metastasis+Stomach&aqs=chrome.1.69i57j0.2532j0j7&sourceid=chrome&espv=210&es_sm=122&ie=UTF-8

Бывает и первично множественный рак, и наоборот - когда из желудка стреляет в почку.

"Предоставляя весь смысл и совершенство в распоряжение одного только Бога, вы избавляете себя от бездны хлопот." Джон Уитборн.