Женщина в возрасте 73 лет. Основная жалоба - отрыжка воздухом. Поступила по ургентности в хирургигическое отделение.Из анамнеза - отрыжка эта, в принципе, уже около года, возникла после стресса (смерть мужа), сейчас - ухудшение.
Произведена обзорная рентгенограмма брюшной полости.
После этого - ФГДС - ничего примечательного. На второй день - контрольная обзорная.
Учитывая такую картину и динамику принято решение о проведении ирригоскопии.
Ничего особенного, фрагмент прилагается. Но, поскольку клиника вздутия ПЕРИОДИЧЕСКИ сохраняется, прооведена еще одна обзорная рентгенограмма.
Сейчас больной лучше. Она готовится к выписке.
Несколько вопросов к вам, уважаемые коллеги.
1. С чем бы ЭТО могло быть связано?
2. Необходимо ли рентгенисследование тонкой кишки?
3. Обоснованым ли было проведение ирригоскопии, на ваш взгляд?
Встречал такие картинки при ишемических колитах - вероятно оно. Ирриго делать надо. Тонкую - не знаю, обычно ничего плохого не видно.
Рентгенологически изменений толстой кишки при ирриго не нашел. Какой же характер может носить повышеное газообразование в тонкой кишке?
Болезни ног: виды, симптомы, причины, профилактика и лечение
Происхождение метеоризма не понятно. Узи чревного ствола в таких случаях не удается, для селективной мезентерикографии нет технических возможностей.
Тонкую надо контрастировать, чтоб исключить внутреннюю грыжу (отверстие Уинслоу или трансмезентериальную)
1. На ум сперва приходит: "брюшная жаба", наверное зря)). Мне кажется, здесь какие-то неврологические нарушения (может быть психоневрологические), с реакцией вегетативной нервной системы.
2+3. Если основной симптом отрыжка воздухом, то нет. Воздух по ЖКТ распределён равномерно. Аэрофагия должно быть. К неврологу это.
Неоднозначно всё
понравилась фраза по ургентности госпитализирована в хирургическое отделение - это с отрыжкой то! видать крутая бабуля!
Виктор.
Госпитализирована то она с "острым животом"...отрыжка воздухом вкупе со вздутинм и болевыми проявлениями. Так то она обычная и ничем не примечательная.
Самое интересное, что она ОПЯТЬ госпитализирована...так что, думаю, тонкую кишку ее мы еще увидим )))),
Болезни ног: виды, симптомы, причины, профилактика и лечение
Операции на брюшной полости в анамнезе?
Ясно направительный острый живот..видимо надо будет ее как следует подготовить - безовощная диета, эспумизан, уголь.. да?
Виктор.
Выяснить, что кушает бабушка.
Великое преймущество врача заключается в том, что он не обязан следовать собственным советам. ( А. Кристи)
http://www.ajronline.org/cgi/reprint/186/3/703 внутренние грыжи, либо хроническая ишемия брыжеечных сосудов при атеросклерозе, но и варианты алиментарно-психогенных факторов тоже могут быть. КТ нет?
Хроническая мезентериальная ишемия может давать подобную клинико-рентгенологическую картину. Для грыжи слишком равномерно распределен газ.
Если ничего не изменится - завтра возьму в работу...
Болезни ног: виды, симптомы, причины, профилактика и лечение
Спасибо за ссылку, она мне поможет. КТ пока нет.
С уважением.
Виктор Стовба.
Болезни ног: виды, симптомы, причины, профилактика и лечение
Надо не забывать о возможном инфаркте кишки..
недавно пришел амбулаторный пациент (родственник гл. врача) с диагнозом в направлении- абдоминальная ишемия; Rg тонкого кишечника. Время прохождения контраста по тонкой кишке в норме, органической патологии не выявлено. Жалобы на постоянные боли в подвздошной области, запоры. УЗИ вн. органов б/о. Ирригоскопия б/о.
А колоноскопия?
Хочешь сделать что-то нормально - сделай это сам!
по колоноскопии данных не знаю, и делали ее вобще тоже не в курсе. а чо может быть?
Вам конечно на месте виднее, но может все таки рассмотреть целесообразность лапароскопии?.
Надеюсь, результат мы узнаем?
Неоднозначно всё
А как же!
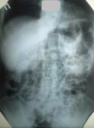
Вот обзорная и обзорная при ирригоскопии с прошлого раза.
Болезни ног: виды, симптомы, причины, профилактика и лечение
Вот начало сегодняшнего исследования...через 20 минут и через 1 час
Болезни ног: виды, симптомы, причины, профилактика и лечение
Дополнения к анамнезу.
1. Полгода назад перенесла инсульт, начало заболевания связывает с ним.
2. Лет тридцать назад было нечто подобное (но тогда была диагностирована язвенная болезнь).
3. Исхудала значительно.
4. Отрыжка постоянная, практически без перерыва, достаточно звучная, вне зависимости от времени приема пищи и ее характера.
Болезни ног: виды, симптомы, причины, профилактика и лечение
Снимки через 2 часа 30 минут и 4 часа 30 минут
Болезни ног: виды, симптомы, причины, профилактика и лечение
Вы писали: "Отрыжка постоянная, практически без перерыва, достаточно звучная, вне зависимости от времени приема пищи и ее характера." Это аэрофагия, невроз как я понимаю (вероятно после стресса). Газ в желудке, тоной кишке она заглотила per os.У меня были подобные наблюдения, но не такие выроженные по проявлениям как у вас.
Так в том то и дело....что газ только віходит....анамнеза усиленого его заглатывания нет....или я чего то не допонимаю...
Болезни ног: виды, симптомы, причины, профилактика и лечение
http://health-ua.com/pics/tabl/207_21.gif
На контрольных снимках данных за внутренние грыжи не нашла.
Спасибо за помощь...я тоже данных за грыжу не нашел....да и график пищеварения в целом не нарушен. Вот снимок через 24 часа.
Думаю, что основными причинами есть мезентериально-алиментарные факторы (т.е. - как нарушение кровоснабжения кишечника, так и самого процесса пищеварения).
Болезни ног: виды, симптомы, причины, профилактика и лечение
ИМХО: всё-таки остаётся впечатление с учётом жалоб, что это аэрофагия. Посоветовал, бы проконсултировать пациентку психиатром.
Вот, вот! И я про то же. См. пост №5. Воздух по ЖКТ распределён равномерно и движется сверху вниз от желудка. Аэрофагия для нас – патология функциональная, однако невролог или психиатр могут найти и органическое поражение в своём хозяйстве.
Неоднозначно всё
+1.
Спасибо, коллеги, за совет, консультация психоневролога буде назначена.
Болезни ног: виды, симптомы, причины, профилактика и лечение
И нам, пожалуйста, сообщите его вердикт. Интересно же)).
Неоднозначно всё
А вердикт прост как дверь... "в условиях общесоматического отделения содержаться может"....вот и все....нужна ему эта аэрофагия, как зайцу стопсигнал....увы....
Болезни ног: виды, симптомы, причины, профилактика и лечение
Если боли в животе нарастают -оперировать.
.....а делать то что, в животе.....?
Болезни ног: виды, симптомы, причины, профилактика и лечение
Резекция инфарктного сегмента тонкой кишки(Если нарастает клиника!).
Так в том то и дело, что клиника колеблющаяся...и так уже на протяжении около полугода....
Болезни ног: виды, симптомы, причины, профилактика и лечение
КТ с в/в контрастированием.
КТ с контрастированием-и что, мы разберёмся в месиве мезентериальных и прочих сосудов.Хотя стволы то мы по любому увидим.
Мы разберемся