Очаговые изменения головного мозга

Пол пациента: 
Тип патологии: 
Область исследования: 
Методы исследования: 

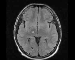
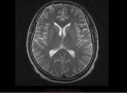
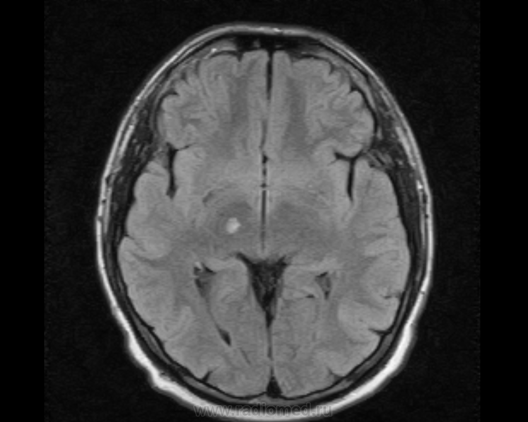
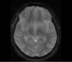
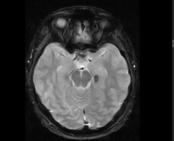
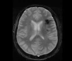
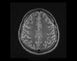
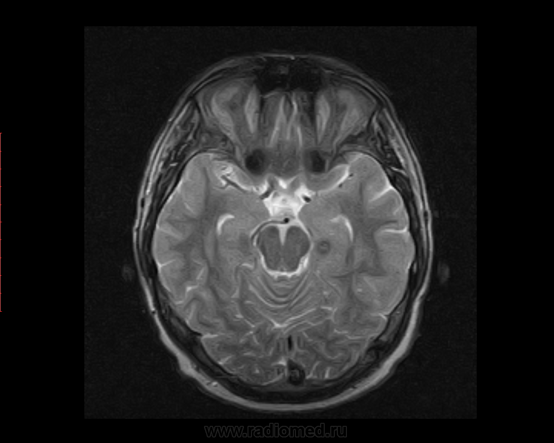
М, 27 лет. Жалобы на головные боли. ЧМТ в анамнезе. Стационар выставил внутримозговую гематому по КТ, полечили, отпустили.  К нам пришел на контроль.

Локализация таламус, граница коркового/мозгового, похоже на множественные кавернозные ангиомы. То, что в левой лобной?

Хочу посоветоваться с коллегами).  Дифференциальный ряд построить. Например токсоплазмоз, метастазы....в общем жду.

Что скажете?

 

  • https://radiomed.ru/sites/default/files/styles/case_slider_image/public/user/5536/2_0.png?itok=wLA4pKxe
  • https://radiomed.ru/sites/default/files/styles/case_slider_image/public/user/5536/3_0.png?itok=uYwqVkB3
  • https://radiomed.ru/sites/default/files/styles/case_slider_image/public/user/5536/4_0.png?itok=NMty5hJw
  • https://radiomed.ru/sites/default/files/styles/case_slider_image/public/user/5536/5_0.png?itok=2qVC14Up
  • https://radiomed.ru/sites/default/files/styles/case_slider_image/public/user/5536/6_0.png?itok=_7XMZ863
  • https://radiomed.ru/sites/default/files/styles/case_slider_image/public/user/5536/7_0.png?itok=js4hpPDv
  • https://radiomed.ru/sites/default/files/styles/case_slider_image/public/user/5536/8_0.png?itok=6PZXqfV1
  • https://radiomed.ru/sites/default/files/styles/case_slider_image/public/user/5536/9_0.png?itok=qFEn41zG
  • https://radiomed.ru/sites/default/files/styles/case_slider_image/public/user/5536/10_0.png?itok=hP1ZKvTR
  • https://radiomed.ru/sites/default/files/styles/case_slider_image/public/user/5536/11_0.png?itok=99G2VznW
  • https://radiomed.ru/sites/default/files/styles/case_slider_image/public/user/5536/12_0.png?itok=PIUfNhLF
  • https://radiomed.ru/sites/default/files/styles/case_slider_image/public/user/5536/13_0.png?itok=TQBvMHDj
  • https://radiomed.ru/sites/default/files/styles/case_slider_image/public/user/5536/14.png?itok=4ovVyNbE
  • https://radiomed.ru/sites/default/files/styles/case_slider_image/public/user/5536/15.png?itok=fyjdPTDj
ID:30379
Helios аватар
Не на сайте
Был на сайте: 7 месяцев 2 недели назад
Зарегистрирован: 06.08.2010 - 15:16
Публикации: 4417

Сложно представить у молодого человека и каверномы, и метастазы одновременно.

Наверное, все же множественные каверномы, слева -осложненная кровоизлиянием.

irena аватар
Не на сайте
Был на сайте: 9 лет 7 месяцев назад
Зарегистрирован: 28.09.2009 - 13:00
Публикации: 289

согласна с Гелей.

 

Mitkampfer аватар
Не на сайте
Был на сайте: 11 лет 1 месяц назад
Зарегистрирован: 27.07.2010 - 07:43
Публикации: 1454

Спасибо, теперь зато мне спокойнее).

Не ограничивайте свою мысль

Живешь пока учишься

Ecrasez l’infame

Mitkampfer аватар
Не на сайте
Был на сайте: 11 лет 1 месяц назад
Зарегистрирован: 27.07.2010 - 07:43
Публикации: 1454

Еще спросить хотел та что осложненная кровоизлиянием. Кровь хроническая тут?

Не ограничивайте свою мысль

Живешь пока учишься

Ecrasez l’infame

Mitkampfer аватар
Не на сайте
Был на сайте: 11 лет 1 месяц назад
Зарегистрирован: 27.07.2010 - 07:43
Публикации: 1454

Пришел к выводу, что сдесь все таки не каврномы, а мелкоочаговые кровоизлияния (ДАП). Учитывая травму и пребывание после этого  пациента в коме.

Не ограничивайте свою мысль

Живешь пока учишься

Ecrasez l’infame

Helios аватар
Не на сайте
Был на сайте: 7 месяцев 2 недели назад
Зарегистрирован: 06.08.2010 - 15:16
Публикации: 4417

Спорить не буду.