Пол пациента:
Тип патологии:
Область исследования:
Методы исследования:
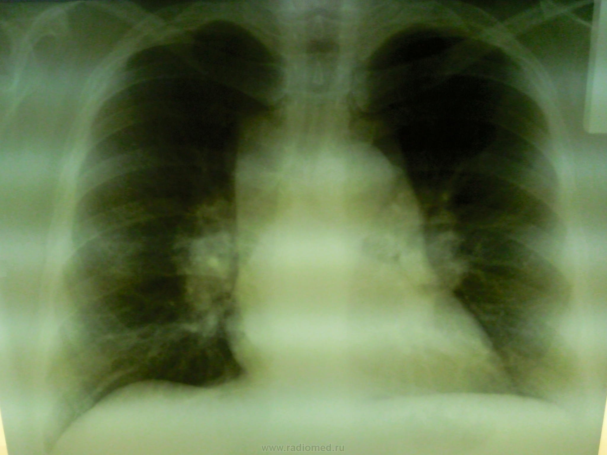
Девушка, 1984 г.р, направлена с флюорографии. Амбулаторная карта, как часто бывает - не нашлась, завели вкладыш. С флюорографии вчерашней, анализов пока нет. По записи уч. терапевта периодически беспокоит покашливание, аускультативно жесткое дыхание, других сдвигов не описано. Обзорный снят на телефон - качество не ахти, боковой не сняли- упущение, сразу оттомографировали, девушку отпустили. Ваши предположения.
снимки
Интересно.А как себя ведут периферические лимфоузлы?
Самому было бы интересно. Терапевт при осмотре не описал этот пункт.
Ну тогда это всё что угодно .... А обзовём это ёмким понятием -лимфоаденопатия.
А "тенюшка" справа в проекции 6 сегмента мне одной кажется?
Одной....
Тогда извините.
Нет минуточку-мне тоже мерещится.....Жаль нет мелких срезов.Теперь гадай.
Женечка, Ваша категоричность импонирует
. А если НЕ кажется, ведь срезы вне 6-го сегмента. Я - за саркоидоз.
---
Опа... А Вы уже дописали. И внимательность - тоже импонирует
.
"Предоставляя весь смысл и совершенство в распоряжение одного только Бога, вы избавляете себя от бездны хлопот." Джон Уитборн.
Попробуйте еще раз , и не надо так категорично за всех отвечать , хорошо?
Мне тоже показался фокус справа в среднем легочном фоне малоинтенсивный - легочный компонент?
Вау)), аж не протолкнуться
.
"Предоставляя весь смысл и совершенство в распоряжение одного только Бога, вы избавляете себя от бездны хлопот." Джон Уитборн.
Господин Автор, ОНО не в срезе... вот и всё. Шинкуйте ближе к спине.
"Предоставляя весь смысл и совершенство в распоряжение одного только Бога, вы избавляете себя от бездны хлопот." Джон Уитборн.
Любачка! А я так не думаю...т.е. я против саркоидоза.
Доброе слово и кошке... муррр)). Вы против саркоидоза, ясно. Просто лимфаденопатия? Просто-просто???
"Предоставляя весь смысл и совершенство в распоряжение одного только Бога, вы избавляете себя от бездны хлопот." Джон Уитборн.
Ни чего не имея на руках-так будет правильно.Пока правильно.А вообще- без Бороулина не обойтись.
А волнистый контур средостения- лимфоидная ткань?
Йес, извините за акцент)). ИХ много и они в нескольких группах. А посему я за саркоидоз. На 2-е место - лимфогранулематоз.
"Предоставляя весь смысл и совершенство в распоряжение одного только Бога, вы избавляете себя от бездны хлопот." Джон Уитборн.
Коллега,а у вас снимки обычно в одной проекции делают?Или Вы боковой от нас скрыли?
Боковой не сделали - так уж вышло. Поставил лимфогрануломатоз, ДДС с саркоидозом.
Теперь понятно, почему "тенюшка" прошла мимо.
Думаю не обойдется без КТ
КТ подтвердит увеличение лимфоузлов. И наличие или отсутствие изменений в паренхиме легких. А уж точные данные - тут биопсия. Ну, Бородулин М.А. придёт, расскажет подробнее, про патанатомию и морфологию.
"Предоставляя весь смысл и совершенство в распоряжение одного только Бога, вы избавляете себя от бездны хлопот." Джон Уитборн.
Пакеты л.узлов-да.. Но они ведь не простые.Одним словом надо знать состояние периферийных л,узлов, а так-же л.узлов забрюшинного пространства(УЗИ).
Значится ждём Мессию новообретённого.
Здесь м. б. и неходжкинская лимфома. Без клинического дообследования не обойтись.
Если, конечно, у Вас за углом стоит ПЭТ, тогда другое дело.
Неоднозначно всё
Я бы тоже поставил на первое место лимфогрануломатоз.
Легко,
Лимфомы - морфологически выделяют около 140 видов.. но наиболее часто встречается лимфогрануломатоз. Обязательный гистологический признак клетки Березовского-Штернберга. (выявляются лучше при исследовании мазка-отпечатка) Различают 4-е гистологические варианта лимфогрануматоза: лимфоидное преобладание, нодулярный склероз, смешанно клеточныйвариант, лимфоидное истощение.( Важно! определяет прогноз) Спецефическое поражение легких выявляются у 50% процентов умерших. Ну вот поторопился. не написал о стадиях
И зачем писал? Всё же давно уже написано.
Роман Муравьев, мне кажется, ждёт аргументированных мнений и конкретных рекомендаций по данному случаю.
Неоднозначно всё
Не обойтись без биопсии. Сисследованим в том числе мазка отпечатка.
Я что-то не пойму- нам что для отпечатков с мазками стернотомийку сделать?
так если ..из-за угла ...то саркоидоз...но надоть пополнее картину
Ну Ваш Евгений подход известен: "попробуем преднизолон, а там посмотрим".
А способ оперативного доступа предложен весьма оригинальный.
Боже упаси...
про стернотомию была шутка?
[/quote]
Если переферичекие лимфоузлы отсутствуют????
Возможна: 1. игловая биопсия
2. медиастеноскопия
Вторую к сожалению самому делать не приходилось.
Медиастиноскопия -не видел, не слышал,не участвовал.Иголочкой и прямо в лимфоузел,вслепую??!!Это может только виртуоз Бородулин.Я к тому : если мы имеем то что имеем: специолисты почешут репу- да и направят на радикальное лечение с ЛГМ безо всяких инвазий.
"Наука многогранна, а голова круглая" Козьма Прутков
Бывает, и многогранные попадаются)).
Неоднозначно всё
Роман, а новостей нет?
"Предоставляя весь смысл и совершенство в распоряжение одного только Бога, вы избавляете себя от бездны хлопот." Джон Уитборн.
новостей нет - КТ сломался. пациентку не видел.
рентген-контроль через 5 месяцев. лечение не проводилось, т.к. пациентка выпала из поля зрения уч. врача