ОГК

Пол пациента: 
Тип патологии: 
Методы исследования: 

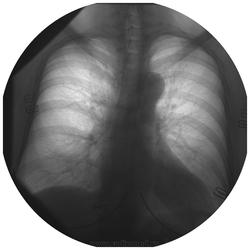
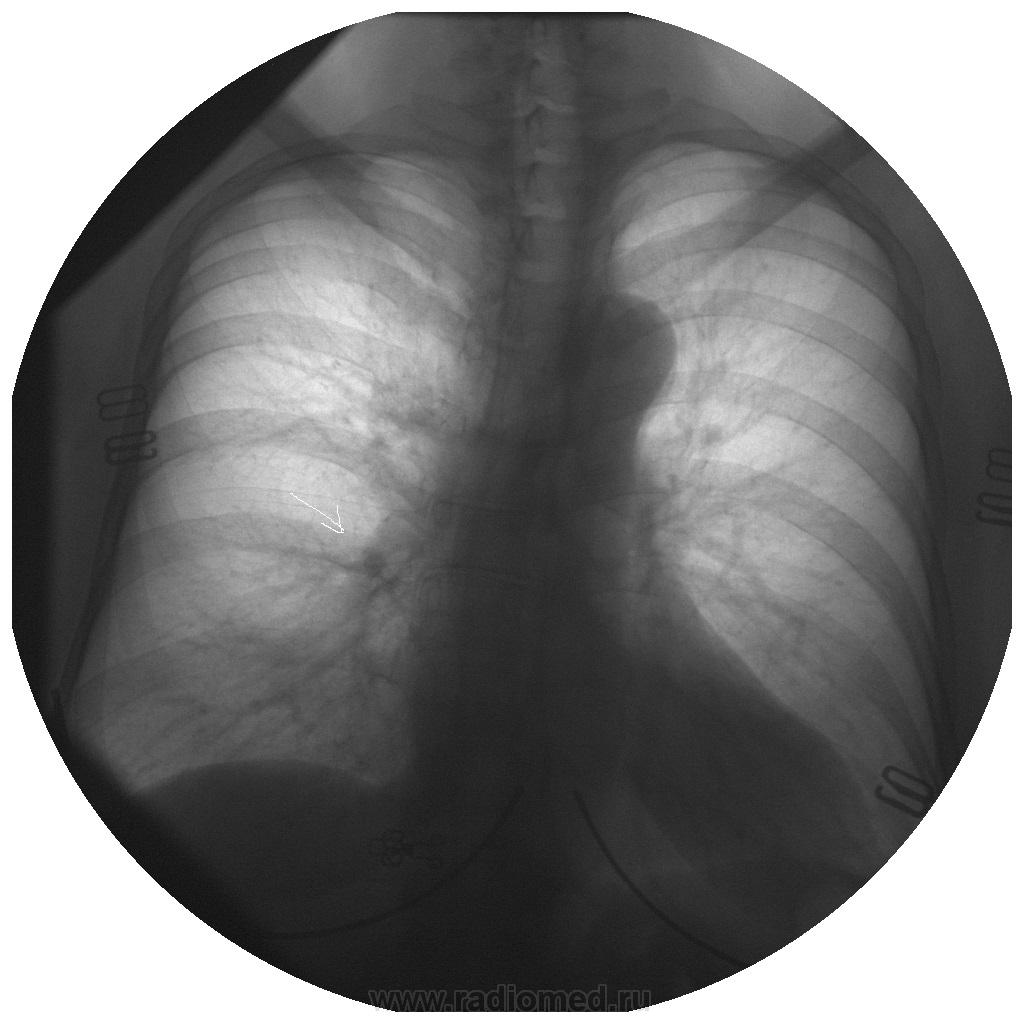
Уважаемые коллеги! Хотелось бы Вашего мнения. R-гр. ОГК в 2 проекциях - в правом корне доп. тень? Да, и прошу не удивляться "круглым" снимкам - вот так снимают у нас...

  

  • https://radiomed.ru/sites/default/files/styles/case_slider_image/public/user/17546/img-0004-00001.jpg?itok=Mif_ive4
  • https://radiomed.ru/sites/default/files/styles/case_slider_image/public/user/17546/img-0007-00001.jpg?itok=m9D_v92y
ID:34142
Helios аватар
Не на сайте
Был на сайте: 1 год 1 неделя назад
Зарегистрирован: 06.08.2010 - 15:16
Публикации: 4417

Снимают у вас неплохо, хотя от принадлежностей  женского туалета нужно избавляться перед производством снимка. А вот рентгенограммы  прикреплены не были почему-то.

Прикрепила.Будьте внимательнее.

vadim losevichev аватар
Не на сайте
Был на сайте: 7 лет 6 месяцев назад
Зарегистрирован: 27.01.2013 - 09:45
Публикации: 679

Бронхопульмональный лимфатический узел.

Non progrĕdi est regrĕdi.

Андрей Юрьевич аватар
Не на сайте
Был на сайте: 1 неделя 1 день назад
Зарегистрирован: 16.11.2008 - 22:16
Публикации: 18106

Мой вариант - сосуд в ортопроекции. И, опять-таки, на мой взгляд, на снимках в прямой и боковой проекциях указаны разные отделы.

Андрей Юрьевич

Алексей Игоревич Чернявский аватар
Не на сайте
Был на сайте: 7 лет 3 месяцев назад
Зарегистрирован: 08.08.2012 - 21:52
Публикации: 786

Сосуд в ортопроекции.
А как такая форма получается? Диафрагмы с 8-мью шторками не бывает. Или бывает? Экран в кассете обрезан так или это вообще на скопическом аппарате снято? Мне просто чисто технически интересно.

"Обучая других - учишься сам". Н.И.Пирогов
 

Dmitry GDM аватар
Не на сайте
Был на сайте: 10 лет 9 месяцев назад
Зарегистрирован: 21.02.2012 - 06:49
Публикации: 44

Андрей Юрьевич wrote:

Мой вариант - сосуд в ортопроекции. И, опять-таки, на мой взгляд, на снимках в прямой и боковой проекциях указаны разные отделы.

+1

Катенёв Валентин Львович аватар
Не на сайте
Был на сайте: 7 лет 5 месяцев назад
Зарегистрирован: 22.03.2008 - 22:15
Публикации: 54876

Да, по прямой, ортоград...А вот то что на боковой, так то нуждается минимум в линеечке.

jeune_radiologiste аватар
Не на сайте
Был на сайте: 5 лет 6 месяцев назад
Зарегистрирован: 17.12.2012 - 23:23
Публикации: 61

Да, Алексей Игоревич, снимок был получен на скопическом аппарате...

jeune_radiologiste аватар
Не на сайте
Был на сайте: 5 лет 6 месяцев назад
Зарегистрирован: 17.12.2012 - 23:23
Публикации: 61

Helios wrote:

Снимают у вас неплохо, хотя от принадлежностей  женского туалета нужно избавляться перед производством снимка. А вот рентгенограммы  прикреплены не были почему-то.

Прикрепила.Будьте внимательнее.

Helios, спасибо!

Makcimalist аватар
Не на сайте
Был на сайте: 12 лет 1 месяц назад
Зарегистрирован: 08.05.2010 - 14:28
Публикации: 1994

Андрей Юрьевич wrote:

Мой вариант - сосуд в ортопроекции. И, опять-таки, на мой взгляд, на снимках в прямой и боковой проекциях указаны разные отделы.

Согласен с сосудом. И на прямой он. И на боковой. Тоже он - сосуд. Но уже другой!) Посмотрите по взаиморасположению - относительно пространственных ориентиров - той же аорты (верхнего края дуги) - сосуд так интересно не меняет своё местонахождение, пусть и при различном объёме воздуха у пациента в груди.

Насчёт снимков - как это так - полученные на скопии, а выглядят на все 5 баллов?! Что за скопический такой потрясающий аппарат? Скопия у Вас в таком же качестве проходит - ничего не дрожит, артефакты по изображению никие не бродят?..

--------------

"Просто, по видимости, не видеть логики в очевидных вещах - это тоже одно из свойств некоторых умов, наряду с грустными думами о свойствах ума других."  © Vega 08/10/2011

jeune_radiologiste аватар
Не на сайте
Был на сайте: 5 лет 6 месяцев назад
Зарегистрирован: 17.12.2012 - 23:23
Публикации: 61

Makcimalist wrote:

Андрей Юрьевич wrote:

Мой вариант - сосуд в ортопроекции. И, опять-таки, на мой взгляд, на снимках в прямой и боковой проекциях указаны разные отделы.

Согласен с сосудом. И на прямой он. И на боковой. Тоже он - сосуд. Но уже другой!) Посмотрите по взаиморасположению - относительно пространственных ориентиров - той же аорты (верхнего края дуги) - сосуд так интересно не меняет своё местонахождение, пусть и при различном объёме воздуха у пациента в груди.

Насчёт снимков - как это так - полученные на скопии, а выглядят на все 5 баллов?! Что за скопический такой потрясающий аппарат? Скопия у Вас в таком же качестве проходит - ничего не дрожит, артефакты по изображению никие не бродят?..

Снимки графические, полученные на скопическом аппарате.

Ну собственно да, снимки в таком качестве...

Алексей Игоревич Чернявский аватар
Не на сайте
Был на сайте: 7 лет 3 месяцев назад
Зарегистрирован: 08.08.2012 - 21:52
Публикации: 786

У меня последний вопрос - а как вы прицеливаетесь? Под контролем скопии?

"Обучая других - учишься сам". Н.И.Пирогов
 

Makcimalist аватар
Не на сайте
Был на сайте: 12 лет 1 месяц назад
Зарегистрирован: 08.05.2010 - 14:28
Публикации: 1994

И у меня вопрос - похож на допрос.) Снимки такие. А скопия у Вас так же хороша - то бишь нет дрожаний, наводок, шевелений-мельтешений на экране, прочих артефактов скопии у Вас - вообще таких нет или как?

--------------

"Просто, по видимости, не видеть логики в очевидных вещах - это тоже одно из свойств некоторых умов, наряду с грустными думами о свойствах ума других."  © Vega 08/10/2011

Андрей Юрьевич аватар
Не на сайте
Был на сайте: 1 неделя 1 день назад
Зарегистрирован: 16.11.2008 - 22:16
Публикации: 18106

Коллеги, что пристали к человеку, мой вариант, на универсальном штативе это делается, типа тогоже СпектрАпа.

Андрей Юрьевич

jeune_radiologiste аватар
Не на сайте
Был на сайте: 5 лет 6 месяцев назад
Зарегистрирован: 17.12.2012 - 23:23
Публикации: 61

Алексей Игоревич Чернявский wrote:

У меня последний вопрос - а как вы прицеливаетесь? Под контролем скопии?

Прицеливаемся по центраторам, как обычно. Но можно и под контролем скопии...

jeune_radiologiste аватар
Не на сайте
Был на сайте: 5 лет 6 месяцев назад
Зарегистрирован: 17.12.2012 - 23:23
Публикации: 61

Андрей Юрьевич wrote:

Коллеги, что пристали к человеку, мой вариант, на универсальном штативе это делается, типа тогоже СпектрАпа.

Все верно, Андрей Юрьевич, это универсальный аппарат, типа СпектрАп...

jeune_radiologiste аватар
Не на сайте
Был на сайте: 5 лет 6 месяцев назад
Зарегистрирован: 17.12.2012 - 23:23
Публикации: 61

Makcimalist wrote:

И у меня вопрос - похож на допрос.) Снимки такие. А скопия у Вас так же хороша - то бишь нет дрожаний, наводок, шевелений-мельтешений на экране, прочих артефактов скопии у Вас - вообще таких нет или как?

Система цифровая, в общем не жалуемся... Есть возможность записи отдельных кадров скопии, но их качество конечно гораздо ниже качества снимков.

Makcimalist аватар
Не на сайте
Был на сайте: 12 лет 1 месяц назад
Зарегистрирован: 08.05.2010 - 14:28
Публикации: 1994

Угостите каким-нибудь стоп-кадром скопии ОГК, пожалуйста, когда будет возможность...

PS. - СпектрАп - отечественный аппарат, верно?

--------------

"Просто, по видимости, не видеть логики в очевидных вещах - это тоже одно из свойств некоторых умов, наряду с грустными думами о свойствах ума других."  © Vega 08/10/2011

jeune_radiologiste аватар
Не на сайте
Был на сайте: 5 лет 6 месяцев назад
Зарегистрирован: 17.12.2012 - 23:23
Публикации: 61

Makcimalist wrote:

Угостите каким-нибудь стоп-кадром скопии ОГК, пожалуйста, когда будет возможность...

PS. - СпектрАп - отечественный аппарат, верно?

Не обещаю, что это будет кадр ОГК. Опубликую конечно.

 

Отечественно-французский, если не ошибаюсь... Но у нас другой )

Андрей Юрьевич аватар
Не на сайте
Был на сайте: 1 неделя 1 день назад
Зарегистрирован: 16.11.2008 - 22:16
Публикации: 18106

Вот кадр из видеопетли, аппарат "Клинодиджит" ("Италрэй", Италия) На мой взгляд, вполне прилично.

Приложения: 
07_gpod.jpg

Андрей Юрьевич

Алексей Игоревич Чернявский аватар
Не на сайте
Был на сайте: 7 лет 3 месяцев назад
Зарегистрирован: 08.08.2012 - 21:52
Публикации: 786

Ну если цифра все ясно тогда. Я уже подумал какой-то форсмажор, что работаете на скопическом столе))))

"Обучая других - учишься сам". Н.И.Пирогов
 

jeune_radiologiste аватар
Не на сайте
Был на сайте: 5 лет 6 месяцев назад
Зарегистрирован: 17.12.2012 - 23:23
Публикации: 61

Андрей Юрьевич wrote:

Вот кадр из видеопетли, аппарат "Клинодиджит" ("Италрэй", Италия) На мой взгляд, вполне прилично.

Прилично-прилично, и у нас также! )

jeune_radiologiste аватар
Не на сайте
Был на сайте: 5 лет 6 месяцев назад
Зарегистрирован: 17.12.2012 - 23:23
Публикации: 61

Алексей Игоревич Чернявский wrote:

Ну если цифра все ясно тогда. Я уже подумал какой-то форсмажор, что работаете на скопическом столе))))

smiley

Дмитрий Волегов аватар
Не на сайте
Был на сайте: 3 года 11 месяцев назад
Зарегистрирован: 22.05.2013 - 00:32
Публикации: 1148

Похоже речь идет о рентгеноскопии. Никаких рентгенографий не делалось, соответственно прицеливаться для производства снимка не было нужно. Изображения получены прямо в скопическом режиме. Цифровая система позволяет во время скопии получать на экран монитора изображения со скопии, 15 снимков в секунду. Но качество у меня хуже, чем в графическом режиме. 

Кстати, на скопии было бы весьма убедительно, если бы указанная тень сохранялась при всех поворотах пациента.

С Уважением, Дмитрий.

Дмитрий Волегов аватар
Не на сайте
Был на сайте: 3 года 11 месяцев назад
Зарегистрирован: 22.05.2013 - 00:32
Публикации: 1148

вот снимок не на "пять" баллов.

Приложения: 
0001.jpg

С Уважением, Дмитрий.

Makcimalist аватар
Не на сайте
Был на сайте: 12 лет 1 месяц назад
Зарегистрирован: 08.05.2010 - 14:28
Публикации: 1994

Дмитрий Волегов wrote:

Похоже речь идет о рентгеноскопии. Никаких рентгенографий не делалось, соответственно прицеливаться для производства снимка не было нужно. Изображения получены прямо в скопическом режиме. Цифровая система позволяет во время скопии получать на экран монитора изображения со скопии, 15 снимков в секунду. Но качество у меня хуже, чем в графическом режиме. 

Дмитрий, не думаю, что снимки случая из кинопетли. Не похоже на постобработку - слишком красивые для скопии они. Про ИталРей молчу. Но Ваш снимок со скопии по сравнению с тем, что видел, на четыре балла вполне считаю.

Автора допрошу ещё раз) - какой иммено фирмы у Вас аппарат? Снимок с кинопетли или графический -  получен, не уточните, пожалуйста, как?

--------------

"Просто, по видимости, не видеть логики в очевидных вещах - это тоже одно из свойств некоторых умов, наряду с грустными думами о свойствах ума других."  © Vega 08/10/2011

jeune_radiologiste аватар
Не на сайте
Был на сайте: 5 лет 6 месяцев назад
Зарегистрирован: 17.12.2012 - 23:23
Публикации: 61

Дмитрий Волегов wrote:

Похоже речь идет о рентгеноскопии. Никаких рентгенографий не делалось, соответственно прицеливаться для производства снимка не было нужно. Изображения получены прямо в скопическом режиме. Цифровая система позволяет во время скопии получать на экран монитора изображения со скопии, 15 снимков в секунду. Но качество у меня хуже, чем в графическом режиме. 

Кстати, на скопии было бы весьма убедительно, если бы указанная тень сохранялась при всех поворотах пациента.

Выложенные мной снимки - графические. Изображения с кинопетли позже выложу, тогда и будет видна разница. Но в принципе она видна по изображению, опубликованному Вами, Дмитрий, разве нет?

jeune_radiologiste аватар
Не на сайте
Был на сайте: 5 лет 6 месяцев назад
Зарегистрирован: 17.12.2012 - 23:23
Публикации: 61

Makcimalist wrote:

Дмитрий Волегов wrote:

Похоже речь идет о рентгеноскопии. Никаких рентгенографий не делалось, соответственно прицеливаться для производства снимка не было нужно. Изображения получены прямо в скопическом режиме. Цифровая система позволяет во время скопии получать на экран монитора изображения со скопии, 15 снимков в секунду. Но качество у меня хуже, чем в графическом режиме. 

Дмитрий, не думаю, что снимки случая из кинопетли. Не похоже на постобработку - слишком красивые для скопии они. Про ИталРей молчу. Но Ваш снимок со скопии по сравнению с тем, что видел, на четыре балла вполне считаю.

Автора допрошу ещё раз) - какой иммено фирмы у Вас аппарат? Снимок с кинопетли или графический -  получен, не уточните, пожалуйста, как?

Все верно, это не постобработанные скопические изображения...

Makcimalist аватар
Не на сайте
Был на сайте: 12 лет 1 месяц назад
Зарегистрирован: 08.05.2010 - 14:28
Публикации: 1994

Коллега, ещё раз прошу прощения за допрос, забыли модель/фирму аппарата сказать - пару слов...

--------------

"Просто, по видимости, не видеть логики в очевидных вещах - это тоже одно из свойств некоторых умов, наряду с грустными думами о свойствах ума других."  © Vega 08/10/2011

Дмитрий Волегов аватар
Не на сайте
Был на сайте: 3 года 11 месяцев назад
Зарегистрирован: 22.05.2013 - 00:32
Публикации: 1148

jeune_radiologiste wrote:

Выложенные мной снимки - графические. Изображения с кинопетли позже выложу, тогда и будет видна разница. Но в принципе она видна по изображению, опубликованному Вами, Дмитрий, разве нет?

Разница видна, но вы меня не убедили. На современном аппарате можно сделать скопический снимок достаточно высокого качества. На своем аппарате я пытался это сделать, ну на случай, например, если нет пленки или кассеты и др. непредвиденные случаи. Получалось неплохо, но прекратил дорабатывать режимы, остановившись на "более-менее", что и было мне нужно (на пожарный случай). То, что ваши снимки правильной округлой формы, говорит о получении снимка с кинопетли, без использования кассеты. На УРИ. Может в инструкции к аппарату и написано, что вы делаете снимок, но на самом деле вы делаете короткую кинопетлю.

С Уважением, Дмитрий.

Makcimalist аватар
Не на сайте
Был на сайте: 12 лет 1 месяц назад
Зарегистрирован: 08.05.2010 - 14:28
Публикации: 1994

Дмитрий, прошу прощения, что залезаю не в свой дом, но Вы присмотритесь - таких снимков с кинопетли не бывает. При скопии такого рисунка не получится без дополнительных, а-ля фотошоповских изысканий... Снимок графический. Детекторный. Только диафрагма слегка принакрылась - не открывается полностью. Центрация сбита... Наверное, только пока.

--------------

"Просто, по видимости, не видеть логики в очевидных вещах - это тоже одно из свойств некоторых умов, наряду с грустными думами о свойствах ума других."  © Vega 08/10/2011

Дмитрий Волегов аватар
Не на сайте
Был на сайте: 3 года 11 месяцев назад
Зарегистрирован: 22.05.2013 - 00:32
Публикации: 1148

Максималист, это наш общий дом. И в цифровых его комнатах я только начинаю только обживаться. Многое удивляет, многое непонятно. Я так думаю, что экспозиция снимка на УРИ в 0,06 секунды с последующей компьютерной обработкой (автоматической, а компьютер аппарата «сам учится», если делать одно и тоже, например одни только короткоимпульсные снимки на УРИ) позволяет получать качество продемонстрированных в ветке снимков. Но дождемся мнения автора, ведь он не использовал кассету?

С Уважением, Дмитрий.

Makcimalist аватар
Не на сайте
Был на сайте: 12 лет 1 месяц назад
Зарегистрирован: 08.05.2010 - 14:28
Публикации: 1994

Дмитрий, про самообучаемость Вы интересно сказали.) Машины умнеют, но не так скоро. У нас всё же ещё не Япония, а Россия пока за забором!)) Автор чуть выше упоминал - "Есть возможность записи отдельных кадров скопии, но их качество конечно гораздо ниже качества снимков." Надеюсь, он скажет, если знает, на что же снимал.)

--------------

"Просто, по видимости, не видеть логики в очевидных вещах - это тоже одно из свойств некоторых умов, наряду с грустными думами о свойствах ума других."  © Vega 08/10/2011

jeune_radiologiste аватар
Не на сайте
Был на сайте: 5 лет 6 месяцев назад
Зарегистрирован: 17.12.2012 - 23:23
Публикации: 61

Дмитрий Волегов wrote:

jeune_radiologiste wrote:

Выложенные мной снимки - графические. Изображения с кинопетли позже выложу, тогда и будет видна разница. Но в принципе она видна по изображению, опубликованному Вами, Дмитрий, разве нет?

Разница видна, но вы меня не убедили. На современном аппарате можно сделать скопический снимок достаточно высокого качества. На своем аппарате я пытался это сделать, ну на случай, например, если нет пленки или кассеты и др. непредвиденные случаи. Получалось неплохо, но прекратил дорабатывать режимы, остановившись на "более-менее", что и было мне нужно (на пожарный случай). То, что ваши снимки правильной округлой формы, говорит о получении снимка с кинопетли, без использования кассеты. На УРИ. Может в инструкции к аппарату и написано, что вы делаете снимок, но на самом деле вы делаете короткую кинопетлю.

Видимо у Вас аппарат с УРИ только с возможностью рентгеноскопии + запоминание последнего кадра. У нас же аппарат, как писал выше, цифровой, с УРИ с возможностью цифровой рентгенографии (ну и рентгеноскопии).

Эта цифровая рентгенография - беспленочная; снимки моментально попадают в память компьютера, здесь же и диагностируем, в смысле с экрана монитора. Да, кстати, мои снимки позитивные - это я их инвертировал прежде, чем опубликовал.

Ну а почему "круглые" - откровенно говоря, эта цифровая рентгенография  - прицельная, поэтому просил не удивляться им в начале ветки. smiley Хотя есть возможность делать обзорные на кассеты, но пока нет оцифровщика...

А кадры с кинопетли опубликую позже, как и обещал...

Makcimalist аватар
Не на сайте
Был на сайте: 12 лет 1 месяц назад
Зарегистрирован: 08.05.2010 - 14:28
Публикации: 1994

jeune_radiologiste wrote:

 Да, кстати, мои снимки позитивные - это я их инвертировал прежде, чем опубликовал.

Коллега, позитивные снимки ведь на ветке висят.) А про аппарата фирму - позабыли сказать.(

--------------

"Просто, по видимости, не видеть логики в очевидных вещах - это тоже одно из свойств некоторых умов, наряду с грустными думами о свойствах ума других."  © Vega 08/10/2011

Дмитрий Волегов аватар
Не на сайте
Был на сайте: 3 года 11 месяцев назад
Зарегистрирован: 22.05.2013 - 00:32
Публикации: 1148

jeune_radiologiste wrote:

Эта цифровая рентгенография - беспленочная; снимки моментально попадают в память компьютера, здесь же и диагностируем, в смысле с экрана монитора. 

Хотя мы отклонились от темы ветки, спасибо вам, что ответили. У меня цифровая радиологическая система французкой фирмы апелем, возраст около 12 лет, возможно уже устарела. Но принцип работы, думаю, одинаковый с вашим аппаратом: рентгеновское излучение попадает на УРИ, обрабатывается и передается на экран монитора. Это чуть дольше, чем излучению просто попасть на пленку. Вот и все. На экране монитора мы можем смотреть изображение объекта во времени, а можем посмотреть один кадр. Этот кадр и называется в инструкции снимком с УРИ. Мы набдюдаем с вами, как стираются грани между рентгеноскопией и рентгенографией. Придерживаясь пока еще классических взглядов - все что делается на пленку или цифровую кассету называется графией, все что делается на УРИ называется скопией, я и сказал, что речь идет о скопии.  

С Уважением, Дмитрий.

Андрей Юрьевич аватар
Не на сайте
Был на сайте: 1 неделя 1 день назад
Зарегистрирован: 16.11.2008 - 22:16
Публикации: 18106

Дмитрий Волегов wrote:

jeune_radiologiste wrote:

Эта цифровая рентгенография - беспленочная; снимки моментально попадают в память компьютера, здесь же и диагностируем, в смысле с экрана монитора. 

Хотя мы отклонились от темы ветки, спасибо вам, что ответили. У меня цифровая радиологическая система французкой фирмы апелем,


У меня такой же.

Дмитрий Волегов wrote:
..Но принцип работы, думаю, одинаковый с вашим аппаратом: рентгеновское излучение попадает на УРИ, обрабатывается и передается на экран монитора. Это чуть дольше, чем излучению просто попасть на пленку.

Вот именно. Поэтому они и разные.

Андрей Юрьевич

jeune_radiologiste аватар
Не на сайте
Был на сайте: 5 лет 6 месяцев назад
Зарегистрирован: 17.12.2012 - 23:23
Публикации: 61

Makcimalist wrote:

jeune_radiologiste wrote:

 Да, кстати, мои снимки позитивные - это я их инвертировал прежде, чем опубликовал.

Коллега, позитивные снимки ведь на ветке висят.) А про аппарата фирму - позабыли сказать.(

Это и имелось в виду ) Исходные снимки негативные, затем интвертировал и опубликовал )

По поводу аппарата, Makcimalist, извиняюсь. Вот он - Siemens Axiom R200.

Makcimalist аватар
Не на сайте
Был на сайте: 12 лет 1 месяц назад
Зарегистрирован: 08.05.2010 - 14:28
Публикации: 1994

Спасибо! Теперь понял, отчего мне снимки понравились - узнал своего друга я по портрету - Сименс, пока лучше нету!)

--------------

"Просто, по видимости, не видеть логики в очевидных вещах - это тоже одно из свойств некоторых умов, наряду с грустными думами о свойствах ума других."  © Vega 08/10/2011