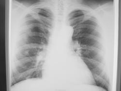
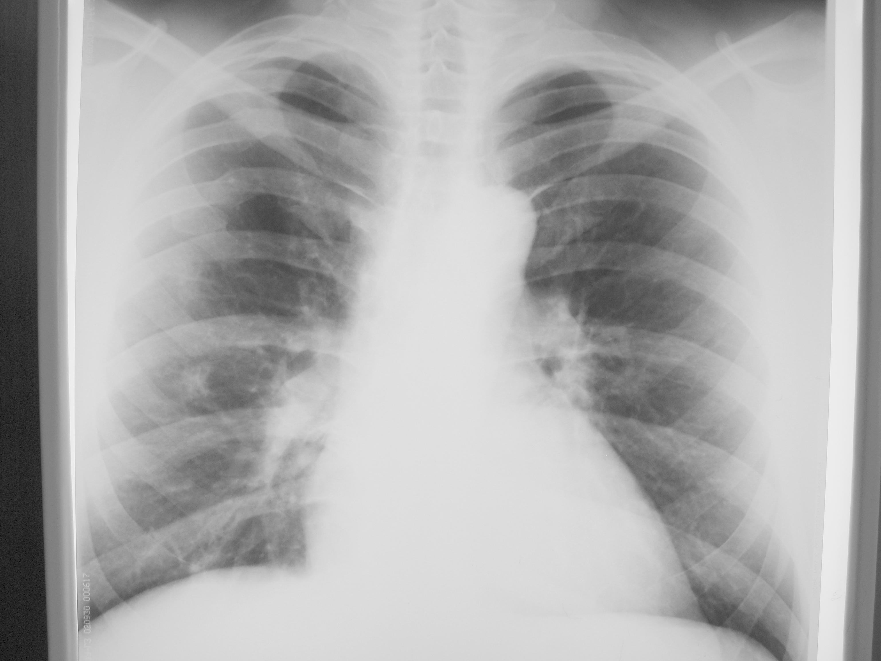
Пациент 1978 г.р, профосмотр, жалоб нет, тяжелой сопутствующей патологии нет, благополучный. Пневмониями со слов не болел, внешне пышущий здоровьем.
ФЛГ
Рентгенограммы
ФЛГ от февраля 2011
Тени - ретикулонодулярные? Верхняя в S3, нижняя - непонятно. Тени обусловлены воспалением интрерстициальной ткани, или последствием воспаления в виде фиброза? Может ли это быть инфильтративным туберкулезом?
Консультация фтизиатра нужна
А четверг что, день патологии легких ?) Прямо как на подбор ) Похоже инфильтраты, по-моему, в С 3, правда четко не вижу; возможно ТВС. Для уточнения сделала бы томографию. Откуда у "благополучного" пациента множественные переломы ребер ? Хотя в жизни всякое бывает.
Не нам судить…
Для начала, конечно, можно и пневмонию полечить.Но тени не красивые.О периферическом раке думается.
"Слушай всех, прислушивайся к немногим, решай сам".©
NIL, а почему теней две ?
Не нам судить…
Т.е. это единое образование? Или вторая тень - мтс?
На пневмонию не надеюсь.
"Слушай всех, прислушивайся к немногим, решай сам".©
Больше склоняюсь к tbc
Только мне кажется, что и в левом легком тень есть?
"Слушай всех, прислушивайся к немногим, решай сам".©
В прикорневой зоне? - там вроде сосуды
А что скажете насчет теней справа?
Мне кажется скиалогия
Не нам судить…
"Слушай всех, прислушивайся к немногим, решай сам".©
Спасибо, коллеги! А то измучилась, все глазоньки проглядела. Ну нет и не надо,-как в песне.
Так и 2012г. была тень слева. В сегментах 3 и 8 затемнения неправильной формы, с неровными нечеткими контурами есть. Определиться с этиологией проблемно из-за нехарактерности расположения. Методически, ИМХО пишем: "пневмония в ... + контроль после лечения". Потом остальное будем.
Пациент направлен на конс к пульмонологу, написала в заключении какую-то глупость очаговая интерстициальная пневмония?, т.к. требовали описание немедленно.
Есть фокусы, мутные вовлечённые корни... А быть может, ещё есть мелкие очаги.
На КТ бы направил, с подозрением на саркоидоз... Надеюсь, поддержит тот пульмонолог. Может, и анализами комплексно... исключить/подтвердить бы помог.)
"Лишь утратив всё до конца, мы обретаем свободу." F.C.
Дифф. диагноз между tbs и раком (или mts). Напишите, чем дело кончится.
имхо- лечим, как пневмонию, а обследуем.... R-контрол через 10 дней , а пока ЛТГ.
Михай
Довольно "подлые" тенюхи.
А, где "линеечка"?
В поликлинике у нас томографии нет, КТ через пульмонолога в др учредении. Все же, похоже ли на тбс и какой очаговый (но тени больше 1 см) или инфильтративный? А нижняя тень по моему не в 8 сегменте, а выше быть должна на боковом, если ориентироваться по прямому
На мой взгляд и близко не похоже.
А что же тогда? На мтс тоже как будто непоже
Каждый взгляд свой предлагает диф.ряд...
А поконкретнее если, помочь взглянуть в нужном направлении - ведь это совсем не топтание на месте?..
"Лишь утратив всё до конца, мы обретаем свободу." F.C.
склоняюсь к онкологии, больше за мтс, но может быть и первичная нео легкого с мтс. КТ, консультация онколога, обследование по органам и системам. ТБ мало вероятен, почти не вероятен
Это почему тб почти не вероятен? Пациент все же 78 года, рановато для онкологии
а что люди в 36 не болеют онкологическими заболеваниями? необходимо дообследовать, уж больно тенюхи не "красивые"
А кто говорит, что не нужно дообследовать? Просто проще исключить тбц у фтизиатров, а потом пускаться во все тяжкие с онкологами и пр. На метастазы кстати не очень-то и похоже
а если на КТ посмотреть?
согласна с данным мнением, правый корень не реагирует, при твс должен, и локализация - S8, S3 без старого твс архива редко при твс, конечно, могу ошибаться, как все, но склоняюсь к мнению периферического с-ч правого легкого с внутриорганным мтс.
Это очень плохо, что нет. Упование на КТ, которого в достатке нет и низведение "линеечки" до "нуля", безусловно даст свои плоды, плоды запущенности, плоды необоснованно затянутых обследований...
Да,к огромному сожалению,нет общедоступности КТ(а должно быть).Линейной томографии сейчас не обучают вообще,да и на многих аппаратах она не предусмотрена даже и технически.Тупик получается.
КТ
Дайком тяжеловат, выложила срезы с наибольшими изменениями в легких.
Спасибо за представленный случай
. Просто какая-то эпидемия саркоидоза настала ! Похоже, теперь в ДДЗ пневмонии и ТВС надо будет всем писать и саркоидоз 
Не нам судить…
Тут вроде бы саркоидоз под вопросом, если бы кто взялся посмотреть, можно постараться весь дайком выложить.