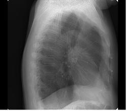
В лёгких очаговых и инфильтративных изменений не нахожу. Справа плевроперикардиальная спайка. Cor в норме. Слева состояние после прелома IX ребра в области наружной дуги.
Дополнительно. Справа на уровне 5-6 ребер линейная спайка вдоль костальной плевры. Слева - звездчатое образование в проекции 4-5, думаю, что сосудистое.
У нас тоже аналогичная "барделя" имела место быть, но мы пару раз выступили на областной конференции и на обществе с определенной критикой нашего ООД, и обратная связь была налажена.
А практика показала, что в ГОДах и в ООДах работают отнюдь не ангельского чина специалисты.
Вы не правильно считаете. Вы на своём месте - сертифицированный специалист, делаете своё дело. Заведующий тоже сертивицированный специалист (не архангел) - должен делать своё дело.
Какие репрессии уважаемый коллега? Рентгенологов не хватает, да и не будет хватать еще минимум лет пять.
Или, на ту должность, которую занимаете Вы, у Вас в ЛПУ выстроилась очередь на замещение вакансии?
Уважаемый коллега Metkampfer, уж коли вы выставили случай на общее обозрение, было бы правильно представить его в верифицированном виде т.е. дать результаты исследований которые позволили поставить точный диагноз:послеоперационный DS, гистология.. А, вы ведёте речь о том, что вынесено заключени о раке верхней доли, но этого мало-какими методами это сделано и их результаты, тогда это будет интересно и доказательно.
серъезные вещи пишут )на рентгнограммах правая половина диафрагмы на уровне 11 ребра ,что косвенно говорит об обструкции ,а так сделайте кт ,а потом ясно будет
Дело не разваливается, а начинается). Главное, что пациент не ушел от меня с нормой. И при дообследовании что то обнаружилось. А заключение рентгенолога не окончательный диагноз.
Предлагаю сарказм оставить при себе). "Что-то"- по моему мнению далекое от нормы. Выпрашивать результаты дообследования в другом госучреждении не входит в обязянности врача совместителя описывающего ФЛГ. Если пациент попадет к нам еще раз обещаю дополнить материал точным диагнозом.
Материал выкладывался с единственной целью получить мнение других специалистов по конкретному случаю по скиалогической картине. За что высказавшимся в 1-5 коментариях большое спасибо. Разговоры как жить и работать можно вести в разделе для бесед на отвлеченные темы.
Коллега, Ваши комментарии по сути патологии и возможному диф.ряду с каждым днём всё содержательнее и конкретнее. Так держать
Уважаемая ЛГ! Если Вы видите на представленных рентгенограммах признаки наличия рака какой либо локализации, то пожалуйста-высказывайтесь! В чем проблема?, я не очень понимаю! "Че-то" значит что, сказать ТОЛЬКО ПО ДАННЫМ РЕНТГЕНОГРАММАМ, что у пациента имеет место Ca? просто не корректно!!!!!! Однозначно требуется дообследование!!! МРТ, КТ, задние, передние, томограммы и так далее и тому подобное! Еще что нибудь???????Коллега
Однозначно требуется корректность, согласна... от Вас в первую очередь). Соглашаться или сомневаться - Ваше право, достаточно это делать несколько более цивилизованно)).
Цифровое изображение неидеально. К примеру, сегодня 1 метастаз в лёгких удалось найти, при том зная, что на КТ их минимум 5... Так. к слову)).
Еще что-нибудь, говорите? - конечно! Не увидела ничего, пока автор не показал. За тенью рукоятки грудины есть дополнительная тень, накладывающаяся на позвоночник в боковой проекции. ИМХО)
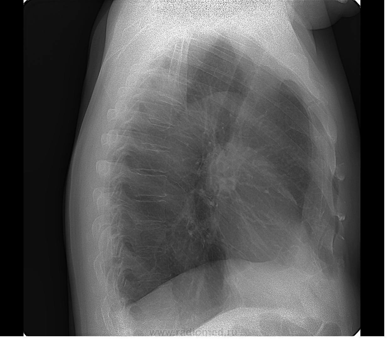
В лёгких очаговых и инфильтративных изменений не нахожу. Справа плевроперикардиальная спайка. Cor в норме. Слева состояние после прелома IX ребра в области наружной дуги.
уж не гинекомастия ль слева?
Дополнительно. Справа на уровне 5-6 ребер линейная спайка вдоль костальной плевры. Слева - звездчатое образование в проекции 4-5, думаю, что сосудистое.
Да и справа. Поля в центре как-будто через грудь выглядят
думаю там в боковой проекции сегмент первий ателектаз начинается
Са верхней доли правого легкого. Всем спс.
Не ограничивайте свою мысль
Живешь пока учишься
Ecrasez l’infame
.
Не ограничивайте свою мысль
Живешь пока учишься
Ecrasez l’infame
Чем подтверждено?
Подтверждено, что именно рак верхней доли правого лёгкого?
Да пришел ответ из ГОД.
Не ограничивайте свою мысль
Живешь пока учишься
Ecrasez l’infame
ГОД - это городской онкологический диспансер?
да
Не ограничивайте свою мысль
Живешь пока учишься
Ecrasez l’infame
И, на основании чего в том ГОДе пришли к таким "выводкам", может что делали?
Сие мне не известно. Они перед флюшкой не отчитываются.
Не ограничивайте свою мысль
Живешь пока учишься
Ecrasez l’infame
А, зря!
У нас тоже аналогичная "барделя" имела место быть, но мы пару раз выступили на областной конференции и на обществе с определенной критикой нашего ООД, и обратная связь была налажена.
А практика показала, что в ГОДах и в ООДах работают отнюдь не ангельского чина специалисты.
возможно). Но мне пока рано выступать на конференциях меня никто слушать не будет)).
Не ограничивайте свою мысль
Живешь пока учишься
Ecrasez l’infame
Вы не правы уважаемый коллега!
Будут, да еще как будут, ежели с примерчиком "какашечным" явитесь. Всё когда то начинать надо, и чем раньше, тем лучше.
Я считаю, это дело заведущего, а нашему заведущему это не интересно. Зато, когда в обход "головы" лезут чревато репрессиями.
Не ограничивайте свою мысль
Живешь пока учишься
Ecrasez l’infame
Вы не правильно считаете. Вы на своём месте - сертифицированный специалист, делаете своё дело. Заведующий тоже сертивицированный специалист (не архангел) - должен делать своё дело.
Какие репрессии уважаемый коллега? Рентгенологов не хватает, да и не будет хватать еще минимум лет пять.
Или, на ту должность, которую занимаете Вы, у Вас в ЛПУ выстроилась очередь на замещение вакансии?
Уважаемый коллега Metkampfer, уж коли вы выставили случай на общее обозрение, было бы правильно представить его в верифицированном виде т.е. дать результаты исследований которые позволили поставить точный диагноз:послеоперационный DS, гистология.. А, вы ведёте речь о том, что вынесено заключени о раке верхней доли, но этого мало-какими методами это сделано и их результаты, тогда это будет интересно и доказательно.
С уважением, Морозов Александр.
серъезные вещи пишут )на рентгнограммах правая половина диафрагмы на уровне 11 ребра ,что косвенно говорит об обструкции ,а так сделайте кт ,а потом ясно будет
По снимку перелом VIII ребра, а не IX...
Вы правы уважаемый коллега, КТ нужно, а так все дмыслы...
Кажется дело о нео верхней доли правого легкого разваливается на глазах :D
The time has come, the rules have changed...
Дело не разваливается, а начинается). Главное, что пациент не ушел от меня с нормой. И при дообследовании что то обнаружилось. А заключение рентгенолога не окончательный диагноз.
Не ограничивайте свою мысль
Живешь пока учишься
Ecrasez l’infame
И, что обнаружили?
[/quote]
И, что обнаружили?
[/quote]
Видимо че-то :D
The time has come, the rules have changed...
Коллега, Ваши комментарии по сути патологии и возможному диф.ряду с каждым днём всё содержательнее и конкретнее. Так держать
https://www.youtube.com/channel/UCBGxoBUOqUT_bFhSeUgtWEw
Предлагаю сарказм оставить при себе). "Что-то"- по моему мнению далекое от нормы. Выпрашивать результаты дообследования в другом госучреждении не входит в обязянности врача совместителя описывающего ФЛГ. Если пациент попадет к нам еще раз обещаю дополнить материал точным диагнозом.
Материал выкладывался с единственной целью получить мнение других специалистов по конкретному случаю по скиалогической картине. За что высказавшимся в 1-5 коментариях большое спасибо. Разговоры как жить и работать можно вести в разделе для бесед на отвлеченные темы.
Не ограничивайте свою мысль
Живешь пока учишься
Ecrasez l’infame
Ответ пришел, какой ответ, ответ, что не норма?
The time has come, the rules have changed...
Покажите на снимке прямые или хотябы косвенные признаки указанного процесса!!!
The time has come, the rules have changed...
http://www.youtube.com/watch?v=YRDo94dGY9k
коммент 7, Коллега!)
Однозначно требуется корректность, согласна... от Вас в первую очередь). Соглашаться или сомневаться - Ваше право, достаточно это делать несколько более цивилизованно)).
Цифровое изображение неидеально. К примеру, сегодня 1 метастаз в лёгких удалось найти, при том зная, что на КТ их минимум 5... Так. к слову)).
Еще что-нибудь, говорите? - конечно! Не увидела ничего, пока автор не показал. За тенью рукоятки грудины есть дополнительная тень, накладывающаяся на позвоночник в боковой проекции. ИМХО)
https://www.youtube.com/channel/UCBGxoBUOqUT_bFhSeUgtWEw
На мой взгляд, то, что накладывается на позвоночник, уж никак на рак не похоже.
А, купол диафрагмы справа не смущает?
1. http://www.radiomed.ru/publications/onkologiya-ogk-perifericheskii-rak-legkogo (тут последние два слайда кортико-плеврального рака мне "что-то" напоминают).
2. немного уходя от темы в данном случае http://www.radiomed.ru/cases/malenkii-rak-verkhnei-doli-levogo-legkogo
все же хотелось бы получить ответ на вопрос ув. Helenmar.
С уважением.
Не ограничивайте свою мысль
Живешь пока учишься
Ecrasez l’infame