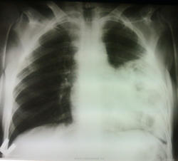
Больная доставлена СМП, флюроархива нет, больная асоциального вида, 1977 г.р. со слов больной болеет около месяца. температура 37.5 Интересует ваше мнение, коллеги...
+1.Пневмония без вопросов.Действиельно похоже на грыжевой мешок с кишечными петлями, но думаю это просто скиология, всё равно картна несколько необычная...
Затемнение "вне анатомических границ". Покрутил бы за экраном, вывел бы на "контур", возможно получил бы осумкованный, или пневмоплеврит, возможно, с массивным обызвествлением костальной плевры.
Два раза встречался с больными асоциального вида (алкоголики, мужчины). И оба раза были абсцессы, клиника стёртая, жалоб почти нет, и картины почти такие, только меньших размеров. Первый раз долго мыслили, а второй стразу пошли на пункцию, запах стоял незабываемый.
Два раза встречался с больными асоциального вида (алкоголики, мужчины). И оба раза были абсцессы, клиника стёртая, жалоб почти нет, и картины почти такие, только меньших размеров. Первый раз долго мыслили, а второй стразу пошли на пункцию, запах стоял незабываемый.
Ага....с полведра "сливок"....абсцесс это....тут вначале обсуждения было - "однородность" и тут же" полости распада"...все таки - НЕОДНОРОДНОЕ образование.
Ага....с полведра "сливок"....абсцесс это....тут вначале обсуждения было - "однородность" и тут же" полости распада"...все таки - НЕОДНОРОДНОЕ образование.
Ну в смысле что полости распада на фоне однородной, а не очаговой инфильтрации
Пассаж контраста, по-моему, должен помочь. Во всяком случае, весьма доказательно в плане подтверждения/исключения наличия кишечных петель в грудной полости.
А почему возникли мысли о "кишке"? Понимаю, что речь идет и крупных диафрагмальных грыжах, но куда деть четкий контур диафрагмы? Просветления на фоне инфильтрации очень напоминают полости распада при абсцедирующей верхнедолевой (язычковой) пневмонии, тем более что обзор брюшной полости не назначали, а значит и признаков патологии брюшной полости у пациентки нет? Не надо особо обольщаться асоциальностью, в наше время это не имеет уж такого большого значения!
Истину не знаю, что стало с этой пациенткой - самому интересно, но к сожалению на следующий день, или около того, после поступления этой больной, из данного ЛПУ я уволился по собственному желанию и переехал работать в другой город, так что проследить данный случай было крайне трудно для меня.
И еще припомнил по этому случаю: привезли ее под конец рабочего дня, сделали снимки, описал. На следующий день поинтересовался - определили ее в тер. отд. Звоню, прошу ее лечащего врача - мол присылайте на ТМГ, в ответ слышу что то вроде - больная стабильна, лечим как от пневмонии, типа нас и без ТМГ первичное заключение устроит. Я порекомендовал дней через 5 на контроль, а потом вскоре уехал в другое ЛПУ.
... слов больной болеет около месяца. температура 37.5 Интересует ваше мнение, коллеги...
При всем уважении к остроумной идее и её скиалогическому обоснованию: сложно представить наличие такой порции тонкой кишки в грудной клетке без явлений непроходимости. О ней ни слова нет.
...Как было сказано выше Vikkur, предполагаемая кишка плохо выглядит, и, значит, возможна субфебрильная температура.
Понимаю, что разговор теоретический, итог мы не узнаем, останемся при своем мнении. Но если кишка даже "выглядит" плохо, да еще в грудной клетке - почему она хорошо работает уже месяц? Согласен, похоже на раздутые газом петли тонкой кишки в инфильтрате - как содержимое желудка пойдет вверх, через газ в таком извитом канале, если при таком состоянии кишки в типичном месте брюшной полости наступает непроходимость.
Вместе с дырой в диафрагме может быть незавершённый поворот брыжейки кишечника. Как проистекает траспорт пищи по ЖКТ в таких случаях, - только Богу известно.
недавно хирурги приводили бабушку с клиникой ЖКБ, холедохолитиазаом, по анамнезу на МРТ около года назад выполненного по поводу образования ворот печени нашли грыжу петель кишечника в грудную полость. Оперативного лечния небыло. У нас Было сделано КТ ОБП с вот такими картинками.
Однородная инфильтрация, множественные полости распада.. Пневмония наверное с присоединением какой-нибудь небанальной флоры
Возможно, формируется абсцесс.
необычная форма затемнения. Напоминает петли кишечника.
Мне тоже показалась кишка
Сперва подумал о грыже с "начинкой из кишки". Пневмония тоже может быть.
Хочешь сделать что-то нормально - сделай это сам!
Возможно, формируется абсцесс.
+1.Пневмония без вопросов.Действиельно похоже на грыжевой мешок с кишечными петлями, но думаю это просто скиология, всё равно картна несколько необычная...
Затемнение "вне анатомических границ". Покрутил бы за экраном, вывел бы на "контур", возможно получил бы осумкованный, или пневмоплеврит, возможно, с массивным обызвествлением костальной плевры.
тоже бросилось в глаза, что затемнение вне анатомических границ, за экраном покрутить не удалось, больная была "лежачая", очень истощенная.
Если пойдет на поправку, обязательно поставлю ее за экран, надо дифференцировать с грыжей, плевритом
Согласна с гл рентгенологом сайта, дообследовала бы на осумкованный плеврит
Вылегжанина Юлия
Так, ради "интересу", куда могут завести обызвествления плевры...
Вылегжанина Юлия
Для обызествления плевры, как по мне, все таки это "не подходит"...., хоть и вне анатомических границ
Болезни ног: виды, симптомы, причины, профилактика и лечение
Два раза встречался с больными асоциального вида (алкоголики, мужчины). И оба раза были абсцессы, клиника стёртая, жалоб почти нет, и картины почти такие, только меньших размеров. Первый раз долго мыслили, а второй стразу пошли на пункцию, запах стоял незабываемый.
Ага....с полведра "сливок"....абсцесс это....тут вначале обсуждения было - "однородность" и тут же" полости распада"...все таки - НЕОДНОРОДНОЕ образование.
Болезни ног: виды, симптомы, причины, профилактика и лечение
Будем надеяться, что автор случая не оставит нас в неведении, будем надеяться и на "динамику".
Ну в смысле что полости распада на фоне однородной, а не очаговой инфильтрации
Пассаж контраста, по-моему, должен помочь. Во всяком случае, весьма доказательно в плане подтверждения/исключения наличия кишечных петель в грудной полости.
Делай, что должно, и будь, что будет.
а может какой паразит? и на грыжу похоже.. образование как в капсуле..
Виктор.
А почему возникли мысли о "кишке"? Понимаю, что речь идет и крупных диафрагмальных грыжах, но куда деть четкий контур диафрагмы? Просветления на фоне инфильтрации очень напоминают полости распада при абсцедирующей верхнедолевой (язычковой) пневмонии, тем более что обзор брюшной полости не назначали, а значит и признаков патологии брюшной полости у пациентки нет? Не надо особо обольщаться асоциальностью, в наше время это не имеет уж такого большого значения!
желудок и петли кишечника
Не ограничивайте свою мысль
Живешь пока учишься
Ecrasez l’infame
А желудок то там где?
Болезни ног: виды, симптомы, причины, профилактика и лечение
Жаль, что автор случая таки оставил нас в неведении, ветка "заглохла", истина зависла.
Делай, что должно, и будь, что будет.
ответит ешё после пожеланий коллег. Будем ждать.
Да, по всей видимости, Вы правы уважаемый коллега!
Да, по всей видимости, Вы правы уважаемый коллега!
А, последнее слово автора ветки будет?
Народ хочет знать истину о пациенте! Дождемся?
Истину не знаю, что стало с этой пациенткой - самому интересно, но к сожалению на следующий день, или около того, после поступления этой больной, из данного ЛПУ я уволился по собственному желанию и переехал работать в другой город, так что проследить данный случай было крайне трудно для меня.
И еще припомнил по этому случаю: привезли ее под конец рабочего дня, сделали снимки, описал. На следующий день поинтересовался - определили ее в тер. отд. Звоню, прошу ее лечащего врача - мол присылайте на ТМГ, в ответ слышу что то вроде - больная стабильна, лечим как от пневмонии, типа нас и без ТМГ первичное заключение устроит. Я порекомендовал дней через 5 на контроль, а потом вскоре уехал в другое ЛПУ.
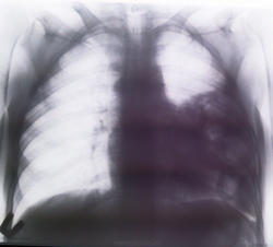
Нашёл "трубу", связывающую этот клубок с брюшной полостью
Настоящая "труба".
Классные специалисты сидят на этом сайте! Просто "респект и уважуха")))
судя по картинке это должна быть кишка с сильно инфильтрированными стенками..что весьма сомнительно... но подумать об этом можно..)))
Виктор.
Нашёл "трубу", связывающую этот клубок с брюшной полостью
imcho: Леонид, стрелками по боковой проеции вы показываете сосуды нижней доли лёгкого, то что в прямой проеции вероято, суммация ткней( скиология).
Нет, стрелки не указывают на сосуды. У сосудов другая архитектоника и калибр в этой зоне.
Как Вы объясните наличие воздушного столба между стрелками?
При всем уважении к остроумной идее и её скиалогическому обоснованию: сложно представить наличие такой порции тонкой кишки в грудной клетке без явлений непроходимости. О ней ни слова нет.
С уважением,
При врожденном дефекте диафрагмы, до 10 - 15 см, можно долго прожить без клиники непроходимости.
В данном случае, надо полагать, ложная грыжа.
http://sado.ifolder.ru/31218260
Добрый вечер, Леонид!
А температура месяц откуда?
С уважением,
А.С.! В монографии Рабкина с соавторами и про температуру сказано. Там говорится в основном о детях до 15 лет, один пациент был в возрасте 28 лет.
Как было сказано выше Vikkur, предполагаемая кишка плохо выглядит, и, значит, возможна субфебрильная температура.
Понимаю, что разговор теоретический, итог мы не узнаем, останемся при своем мнении. Но если кишка даже "выглядит" плохо, да еще в грудной клетке - почему она хорошо работает уже месяц? Согласен, похоже на раздутые газом петли тонкой кишки в инфильтрате - как содержимое желудка пойдет вверх, через газ в таком извитом канале, если при таком состоянии кишки в типичном месте брюшной полости наступает непроходимость.
С уважением,
Вместе с дырой в диафрагме может быть незавершённый поворот брыжейки кишечника. Как проистекает траспорт пищи по ЖКТ в таких случаях, - только Богу известно.
недавно хирурги приводили бабушку с клиникой ЖКБ, холедохолитиазаом, по анамнезу на МРТ около года назад выполненного по поводу образования ворот печени нашли грыжу петель кишечника в грудную полость. Оперативного лечния небыло. У нас Было сделано КТ ОБП с вот такими картинками.
Больная живет несмотря на грыжу.