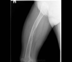
Девочка 9 лет. Родители отмечают, что 2 месяца назад девочка начала предъявлять жалобы на боли в правой пятке. Обследовались, патологии в стопе не нашли. Ребёнок постепенно начал хромать. А несколько дней назад обнаружили припухлость в в/3 бедра. Болей в бедре нет, как ночных, так и дневных. Температура не повышалась. Обратились за помощью - выполнены рентгенограммы, затем - КТ.
Наши мысли:
Злокачественная опухоль - виден луковичный периостит, инвазивный рост с лизисом кости. Но какая? Вроде бы растет из костного канала. Остеосаркома? Юинг? для этих опухолей структура какая-то больно хрящевая, мягкотканная. Хондросаркома? В таком возрасте? Почему нет клиники злокачественной опухоли кости, прежде всего - болей?
Пока ребёнок готовится к открытой биопсии, гадаем. Наши рентгенологи тоже ничего определённого сказать не могут.
Хотелось бы знать мнения уважаемых коллег.
Здравствуйте, Veqa, диф. ряд Вы перечислили, с ним согласна. По локализации, виду, возрасту - наиболее вероятна остеосаркома. Я бы добавила - злокачественную гигантоклеточную опухоль, но возраст неподходящий. То, что нет болевого синдрома - бывает...
"самоуверенность дилетантов - предмет зависти профессионалов"
Согласна. Только периостит не луковичный, четкий лизис с козырьками Кодмена-явный признак злокачественности. А насчет болей, действительно в жизни всякое бывает, но, думаю, что ребенок не может отличить их от болей в пятке (!), а прихрамывание может быть и следствием щажения конечности.
+1 за козырек Кодмана.
Болезни ног: виды, симптомы, причины, профилактика и лечение
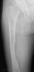
Коллеги, давайте правильно применять термины. Периостит - окончание воспаления, применяется при остеомиелите. При опухоли - периостоз - окончание избытка, продуктивного процесса. Здесь есть "козырек Кодмена", спикулообразный периостоз, но есть так же луковичный (слоистый) периостоз, который хорошо виден на отдельных КТ-срезах. Другое дело, что для диф. диагноза опухоли (то что процесс агрессивный - сомнений не вызывыает) это, по большому счету, ничего не дает. Однако, обратите внимание на вздутие. Считаю возможны варианты телеангиоэктатической или гигантоклеточной остеосаркомы. Так же не считаю возможным исключить саркому Юинга.
"самоуверенность дилетантов - предмет зависти профессионалов"
Да, рентгенкартина неоднозначна, конечно, в первую очередь надо исключать зло (Юинга, остеогенную), но не уверена на 100%, что это они, спикул нет, есть луковичный периостит ниже основного очага, но это не критерий злокачественности, вздутие. Был бы возраст помладше, в первую очередь подумала бы о гистиоцитозе или туберкулезе. Еще мысли об аневризмальной кисте и ГКО. Очень хочется узнать результаты гистологии.
https://www.instagram.com/pediatricradiology/
А, так называемые, треугольники Кодмена встречала часто и при туберкулезе, и при эозинофильной гранулеме.
https://www.instagram.com/pediatricradiology/
При такой протяженности разрушения кортикального слоя и объёме мягкотканого компонента, да и вздутии кости, что здесь может быть кроме Зла? Однако гистология интересна.
Неоднозначно всё
По локализации и структуре в первую очередь подумал бы об озлакачествленной ГКО. Уж очень типичные картинки для редкой локализации. Но последнее слово, безусловно, за биопсией.
Великое преймущество врача заключается в том, что он не обязан следовать собственным советам. ( А. Кристи)
+ Не потому ,что не согласен с остальными,просто не хочется девчонке "зла " ,а ,кстати на аксиальном срезе -горизонтальные уровни есть ,или это мне кажется ?-Если есть -тогда может быть и впрямь АКК?
Вы правы, коллега, мне тоже видятся уровни. Но если АКК, откуда периостоз? По КТ его оспорить сложно... По скиалогии, локализации наиболее подходит гигантоклеточная опухоль, тем более, что она часто сочетается с вторичной аневризмальной кистой. Но возраст?! хотя, чего сейчас только не бывает...
"самоуверенность дилетантов - предмет зависти профессионалов"
Идем в операционную через полчаса на открытую биопсию... Посмотрим, что увидим на операции. А потом - слово за гистологами.
На операции: прошли фасцию, внешне неизменённые мышцы, обнаружили желтоватую "капсулу" опухоли, после рассечения которой в рану фонтанчиком вылилось около 100 мл гемолизированной крови, а потом разом выкровило около 300 мл свежей. Т.е., как такового мягкотканного компонента опухоли просто не оказалось! Дошли до кости, обнаружили кровоточащий сосуд в канале ближе к шейке бедра. Осуществили гемостаз, на гистологию взяли кусочки "капсулы" и кусочек кости.
Чувства смешанные - с одной стороны, появилась немаленькая надежда на доброкачественность процесса. С другой - неужели АКК и ГКО могут ТАК выглядеть???
Теперь ждем ответа гистологов.
Уф, хорошие новости ))))) В душе я, вообщем-то, к этому и склонялась. Вряд ли это ГКО, скорее, все-таки, аневризмальная киста.
https://www.instagram.com/pediatricradiology/
А может, гистиоцитоз, осложненный аневризмальной кистой? Возраст бы помладше.
https://www.instagram.com/pediatricradiology/
Вот похожие картинки. АКК.
https://www.instagram.com/pediatricradiology/
Бум держать пальцы за девочку!
"самоуверенность дилетантов - предмет зависти профессионалов"
1 - открыл для себя (не знаю, кто первым изобрёл, правда), что периостоз - признак опухоли, а периостит - только при остеомиелите... А ведь бывало при опухолях надкостница типично слоилась, но не уплотнялась при этом...
2 - Судя по анамнезу такая... деструкция/узурация (?) от сдавления развилась за несколько дней (появление припухлости в в/3 бедра) - ... нереально!..
--------------
"Просто, по видимости, не видеть логики в очевидных вещах - это тоже одно из свойств некоторых умов, наряду с грустными думами о свойствах ума других." © Vega 08/10/2011
7 дней назад звонил гистолог, они просмотрели мягкие ткани: "Мягкотканный компонент опухоли соответствует картине аневризмальной костной кисты в активной фазе"
Но... сегодня пришла проводка костного фрагмента: "...Данные микроскопической картины, клиники, ренгенологического исследования позволяют думать об остеогенной саркоме. Для уточнения диагноза показано ИГХ-исследование."
Спасибо за информацию уважаемый Vega!
Veqa, а как полностью описывается морфологическая картина?
"самоуверенность дилетантов - предмет зависти профессионалов"
"Морфологическая картина образования - клеточный и тканевой полиморфизм, митотическая активность (до 2 митозов в 1 поле зрения при увеличении 400), данные клиники, рентгенологического исследования позволяют думать об остеогенной сароме. Для уточнения диагноза показано ИГХ-исследование."
да уж, такая картина может соответствовать чему угодно...
"самоуверенность дилетантов - предмет зависти профессионалов"
В личном разговоре гистолог не исключал злокачественную ГКО, звучали более подробные морфологические характеристики, которые я, к сожалению, воспроизвести не могу. А в окончательном официальном ответе - только указанное в предыдущем моём сообщении.
Не думаю, что можно требовать окончательного диагноза от наших гистологов. Мы, как обычная провинциальная областная больница, со злокачественными опухолями скелета у детей имеем дело довольно редко. (И слава богу, если он есть, конечно... хотя, какая тут слава? Ребёнку жить бы и жить, а тут...). Грустно всё это
.
Не теряйте надежду, гистологи тоже люди и им свойственно ошибиться. А количество митозов и тд-умные слова... Чудо, надо верить в чудо, ведь крошка совсем.
- Впервые слышу и вижу, чтобы в заключении патоморфолог не просто приклеивал, а опирался на клинику и данные рентгенологического исследования!
Однако, прогресс? Или порочная тенденция?
--------------
"Просто, по видимости, не видеть логики в очевидных вещах - это тоже одно из свойств некоторых умов, наряду с грустными думами о свойствах ума других." © Vega 08/10/2011
Теперь знаете, Максималист, это правило в онкоостеологии
"самоуверенность дилетантов - предмет зависти профессионалов"
На мой взгляд, имеется некая несуразность в ситуации, когда каждый опирается на всех остальных. Субъективизм мультиплицируется, а эталонные критерии размываются. Слепой контроль не получится. Хотя зато противоречий между коллегами можно избежать.
Неоднозначно всё
- Будем надеяться, что это правило не станет стандартом для опухолей остальной локализации!..
--------------
"Просто, по видимости, не видеть логики в очевидных вещах - это тоже одно из свойств некоторых умов, наряду с грустными думами о свойствах ума других." © Vega 08/10/2011
Как мне думается, окончательно расставит все точки над i иммуногистохимия. А пока что мне представляется наиболее вероятным следующий вариант развития событий: у ребёнка была ГКО, которая в дальнейшем озлокачествилась. Т.к. для саркомы, наверное, все-таки характерен мягкотканный компонент, а его мы на операции не увидели. Инвазивный рост опухоли привел к прорастанию и эрозии сосуда в шейке бедра, что явилось причиной быстрого образования гематомы, которую мы и обнаружили на операцию.
Максималист, Петрович, вас не смущает, что рентгеновскую картину должно трактовать, учитывая клинику? Или вы считаете, что подобную практику придумали трусы, а настоящий диагност делает только "слепое исследование"?
И наоборот, не правда ли? - Это правило позволяет ставить диагноз, опираясь не на субъективное мнение одного специалиста (морфолога), а на комплекс клинико-рентгено-морфологических данных. "Слепой конроль" применим для научных исследований, а вот в клинике уже используются их результаты.
Особенностью онкоостеологии является многообразие морфологических форм опухолей костей.Поэтому, для гистолога, изучающего биоптат (а выше автор случая приводит довольно типичную микроскопическую картину), важно знать данные клиники, анамнеза, рентгеновского исследования.
Правило это не ново, его вы найдете в большинстве руководств по онкоостеологии, начать можно хоть с двухтомника С.А. Рейнберга...
"самоуверенность дилетантов - предмет зависти профессионалов"
А как Вам такой вариант: на самом деле - АКК, а в биоптате - реактивная реакция кости на повреждение?
Veqa, а какая у вас панель ИГХ в этом случае?
"самоуверенность дилетантов - предмет зависти профессионалов"
"Комплекс клинико-рентгено-морфологических данных" представлялся бы незыблемым бастионом, когда бы не «человеческий фактор», стремящийся сослаться (а то и переложить трудную задачу) на смежное звено. А ссылки могут быть и по кругу.
"Трус не играет в хоккей". В диагностике это правило не действует, иначе таким ремеслом занимались бы совсем другие парни. В перерывах между матчами. Однако ж, наличные кадры в неявной форме хотя бы иногда тоскуют по «сильной руке», которая бы внесла ясность в диагностический процесс, не оглядываясь по сторонам. В данном случае уповаем на иммуногистохимию. И в самом деле: не могут же те тонкие специфические реакции зависеть от мнений хирургов и рентгенологов…. Или могут?
Неоднозначно всё
- так "смежное звено" тоже не дремлет ))) Как раз несоответствие всех данных является показанием для проведения уточняющей диагностики и необходимостья воздержаться от калечащего лечения. Пример из практики: по рентгену -ГКО, по биоптату - остеосаркома, по результатам исследования всего операционного материала после резекции (НО НЕ АМПУТАЦИИ!) - ГКО. Или еще пример, не из костной онкологии: по данным эндоскопии и рентгеноскопии - опухоль желудка. В биоптате опухоли не найдено. Это что повод отпустить пациента, сообщив, что у него все хорошо?
- Т.е. рентгенолог вправе получить максимум возможной информации о пациенте, а морфолог, хоть он и "последняя инстанция", не может, дабы не образовалась круговая порука и, Боже упаси, рентгенолог не ответил за свою работу? Здесь какая-то подмена понятий и перекладывание ответственности целиком на морфолога. Если считать достаточным рентгеновское заключение типа "объемное образование?" "опухоль?мтс?", а дальше пусть морфолог разбирается, то понятно возмущение коллег по цеху наглым поведением морфологов... Но такие заключения допустимы для рентгенолога участковой поликлиники (честь ему и хвала, что обнаружил "не норму"), но совершенно непрофессиональны для врача, проводящего уточняющую диагностику, пусть даже он консультирует те же самые снимки.
- это как искать черную кошку в темной комнате, чтобы задать правильный вопрос надо знать большую часть ответа. Далеко не все опухоли имеют свои специфические маркеры, большинство маркеров определяет "семейство опухолей", а не конкретный тип. Наиболее характерны маркеры лимфом, опухоли Юинга, отдельных форм рака, меланомы. С остеосаркомой - сложнее, потому я и поинтересовалась панелью маркеров. Например, можно отдифференцировать мтс рака от саркомы, но далеко не всегда можно точно сказать откуда рак, аденокарцинома, например, может быть практически в любом органе. После определения семейства опухолей, берется следущая панель маркеров, чтобы по возможности выделить конкретный тип опухоли. Как я уже сказала возможно это далеко не всегда, т.к. не для всех опухолей существуют "тонкие специфические реакции". Как видите панели маркеров не бесконечны, но обширны. Необходим правильный выбор панели. А это еще один аргумент за необходимость учета морфологом данных рентгеновского исследования.
"самоуверенность дилетантов - предмет зависти профессионалов"
Такой вариант тоже возможен, но как мне кажется, менее вероятен. Сама по себе АКК вполне возможна. Но, всё-таки, луковичный периостоз и Кодмена никак, кроме как наличием злокачественности не объяснишь... Слишком уж они явные.
Насчет панели ИГХ... К величайшему стыду приходится признать, что она у нас никакая. ИГХ у нас просто нет, несмотря на неоднократые призывы наших морфологов к здравому смыслу руководителей. Все материалы, требующие ИГХ-типирования, мы направляем в Москву, в институт Блохина или РДКБ. А зачастую наши блоки их не устраивают, что требует повторной биопсии... Но это уже совсем другая грустная история.
это признаки агрессивного роста, но не обязательно - злокачественности.
если будут проблемы, напишите в ЛС, возможно проконсультировать препараты у нас
"самоуверенность дилетантов - предмет зависти профессионалов"
В.С. Высоцкий, в свое время, повествовал, что в коллективе все легко и водку можно пить, как молоко, и когда пьян, то будет море по колено"....
Согласна с Татьяной, эти признаки не являются абсолютными критериями злокачественности. Вот несколько примеров, ничего злокачественного в них нет.
https://www.instagram.com/pediatricradiology/
Вот спикулы - это да, злокачественность.
https://www.instagram.com/pediatricradiology/
Тактически Вы, tatyana, правы. А вот стратегически…? Но не буду заманивать Вас в эти дебри. Главное, чтобы на практике защищаемая Вами конструкция срабатывала.
Неоднозначно всё
Петрович, любите книгу - источник званий... Речь идет о постулатах онкоостеологии, своего рода - азбучных истинах, не нуждающихся в моей защите, тактике и стратегии, а давно принятых, проверенных и применяемых во всем мире, в нашей стране так годов с 60-х прошлого века. Хотите убедиться - возьмите учебники, руководства, монографии и почитайте. Если есть вопросы по существу - отвечу, на "а поговорить..." - не вижу смысла тратить время
"самоуверенность дилетантов - предмет зависти профессионалов"
Неоднозначно всё
полностью. Недавно принес морфологу гистологические материалы. Смотрел, смотрел в "мелкоскоп", а потом начал меня распрашивать анамнез пациента, результаты анализов и т.д. И как только я заикнулся, что в мокроте однократно были обнаружены единичные кислотоупорные бактерии(КУБ), он сразу мне написал "туберкулез". Человек солидный, старой формации. Я ушел, спорить не стал. Иду к другому морфологу. История повторяется. Морфологи ошиблись. Сведения о КУБ вытеснила из сферы внимания патоморфологов все остальные не менее важные моменты. Пост №32 доктора Петровича очень даже "по существу" и актуален. С уважением Nikolas
Спасибо, Nikolas, Ваш случай прекрасно продемонстрировал необходимость учета комплекса клинико-ренгено-морфологических данных не только в онкоостеологии. . Нельзя ставить диагноз на основании одного критерия, а ваши морфологи как раз это не учли. У Вас были сомнения, но вы не стали их отстаивать, переложив ответственность на морфолога, как на "последнюю инстанцию". Но почему Вы не стали спорить? Возможно, если бы Вы отстояли свое мнение, морфологи не стали бы игнорировать рентгеновскую картину и учли бы "другие, не менее важные моменты", появились бы сомнения и все сложилось бы по-другому. Ошиблись здесь не только морфологи, Nikolas.
Ошибаются все: рентгенолог, расшифровывая скиалогическую картину; морфолог, видя маленький фрагмент ткани в "мелкоскоп". Не всегда возможна однозначная трактовка увиденного. Ошибочные диагнозы есть и будут, потому что не существует абсолютных витальных методов диагностики. Но чем больше данных есть у диагноста, тем меньше вероятность ошибки и направленнее диагностический поиск.
Кроме того, существует сочетание двух различных процессов. Например: опухоль может сочетаться с аневризмальной кистой. Что не исключено в случае, разбираемом в данной ветке. Вот Петрович написал в обсуждении "что здесь может быть кроме Зла". Вы можете исключить здесь опухоль? Я - нет, хотя увидев КТ, в большей степени склоняюсь к АКК, но картина неоднозначна. На операции увидели только аневризмальную кисту, но при отрытой биопсии невозможно осмотреть всю пораженную кость, какой фрагмент ткани попал в биоптат неизвестно. Морфолог не видит клеток опухоли, но видит реакцию костной ткани, которая м.б. рядом с опухолью, и, учитывая все данные, совершенно правильно проводит дообследование. А теперь представьте вариант: морфолог проигнорировал рентгеновскую картину, дал заключение "опухоли не обнаружено", клиницист поставил АКК, а у ребенка оказалась опухоль?
"самоуверенность дилетантов - предмет зависти профессионалов"
Ваш обстоятельный ответ. С уважением Nikolas
Побеседовал с нашими патоморфологами. И действительно - в онкоостеологии (только) так... Запомню.
--------------
"Просто, по видимости, не видеть логики в очевидных вещах - это тоже одно из свойств некоторых умов, наряду с грустными думами о свойствах ума других." © Vega 08/10/2011
- Спасибо, почитал... То есть где-то всё ж прижился термин "периостоз"!
Хорошо.
--------------
"Просто, по видимости, не видеть логики в очевидных вещах - это тоже одно из свойств некоторых умов, наряду с грустными думами о свойствах ума других." © Vega 08/10/2011
Нельзя ли узнать окончательный диагноз?
Неоднозначно всё
Присоединяюсь. Очень хочется знать!
Нашла у себя немного схожее наблюдение - проекционно на рентгене тоже периостоз рисовался: http://www.radiomed.ru/cases-7
Хотелось бы, чтобы и здесь оказалось также...
.
"самоуверенность дилетантов - предмет зависти профессионалов"
Кстати, тоже очень хочется узнать окончательный диагноз. Было высказано много мнений по делу, и без оного. Но ребенок-то болен, конечно, срабатывает профессиональный интерес, но чем таки все это закончилось? Вопрос вообщем-то в одном (хотя и цинично), ножку сохранили?
После того, как ребёнка перевели в онкологию, его направили в Москву. Из Москвы он к нам не вернулся. Завтра попробую взять в архиве историю болезни, найти координаты родителей и связаться. Т.к. действительно, очень хотелось бы узнать окончательный диагноз...