остеохондропатия

Пол пациента: 
Тип патологии: 
Область исследования: 
Методы исследования: 

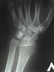
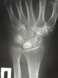
женщина, 1956 года рождения, жалобы на боли в правой лучезапястном суставе в течение полу года, травму отрицает. Кроме остеохондропатии полулунной кости в голову ничего не приходит. Ваше мнение коллеги))))))))

  • https://radiomed.ru/sites/default/files/styles/case_slider_image/public/user/952/DSC02375.JPG?itok=e35NWZSw
  • https://radiomed.ru/sites/default/files/styles/case_slider_image/public/user/952/DSC02377.JPG?itok=g-3pxNMK
  • https://radiomed.ru/sites/default/files/styles/case_slider_image/public/user/952/DSC02372.JPG?itok=nYRSDHo_
ID:1583
Анатолий Владимирович Шумаков аватар
Не на сайте
Был на сайте: 8 лет 3 месяцев назад
Зарегистрирован: 16.10.2009 - 21:16
Публикации: 1941

Скоро наступит патологический перелом...

Катенёв Валентин Львович аватар
Не на сайте
Был на сайте: 7 лет 6 месяцев назад
Зарегистрирован: 22.03.2008 - 22:15
Публикации: 54876

Интересный случай.

 

Приложения: 
31.Ost_..jpg32..Ost_..jpg33..Ost_..jpg34..Ost_..jpg35..Ost_..jpg
DR.RAD аватар
Не на сайте
Был на сайте: 12 лет 2 месяцев назад
Зарегистрирован: 25.03.2009 - 18:22
Публикации: 805

очень охото назначить ей контроль в динамике, как вы думаете через какой промежуток времени это лучше сделать?????????

dok-a аватар
Не на сайте
Был на сайте: 1 год 2 месяцев назад
Зарегистрирован: 14.02.2009 - 19:31
Публикации: 623

Остеохондропатия - удел детского возраста. Здесь, думаю, правильнее говорить об асептическом некрозе.

Анатолий Владимирович Шумаков аватар
Не на сайте
Был на сайте: 8 лет 3 месяцев назад
Зарегистрирован: 16.10.2009 - 21:16
Публикации: 1941

Остеохондропатия

Материал из Википедии — свободной энциклопедии Остеохондропатия
МКБ-10    M93.9
МКБ-9    732


Остеохондропатия (греч. οστεοχονδροπαθια) – асептический некроз губчатой кости, протекающий хронически и дающий осложнения в виде микропереломов. Остеохондропатии являются следствием местных расстройств кровообращения, возникающих в результате воздействия различных факторов: врождённых, обменных, травматических и др.

Но вообще то я с Вами согласен, остеохондропатии - больше идут детям....