От флюшки до истины)

Пол пациента: 
Тип патологии: 
Методы исследования: 

Первый мой большой пост с целой историей о пациенте, так что прошу строго не судить!

Заранее прошу прощение за некачественные рентгенограммы, так как фотографировал с пленки на телефон. А на КТ-исследовании артефакты, так как, как раз перед обследованием данного больного произошел выход из строя какой то платы.

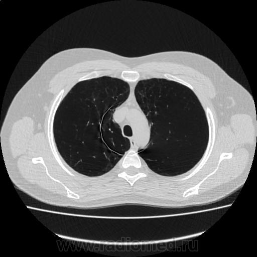
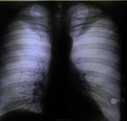
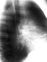
Непосредственно сама история: Пациент С. 35 лет. не курит. В детстве часто болел простудными заболеваниями. Обратился к участковому терапевту с жалобами на появившуюся одышку, общую выраженную слабость, "отсутствие сил". Направлен на флюрографию: был поставлен ошибочный диагноз "двусторонняя нижнедолевая пневмония". Назначен ударный курс антибиотиков. Облегчения никакого, у больного апатия, и навязчивая идея что он болен туберкулезом. Флюрография повторнопосле лечения, которую как раз мне и довелось описывать. Очень зацепил легочной рисунок!

 

Выставил дифдиагноз:

1.Гипоплазия ветвей легочной артерии,

2. Врожденная верхнедолевая эмфизема.

3. Синдром исчезающего легкого.

4.другая врожденная патология.

в рекомендациях написал КТ-исследование ОГК. В виду интересности случая попросил участкового терапевта взять  ситуацию на контроль, чтоб пациент "не пропал". Больному дали талон на КТ, но каким то чудом Начмед больницы узнал, что из поликлиники больного прямиком направляют на КТ минуя классическую рентгенографию... Основываясь на своих доводах администратора и усмехнувшись (в прямом смысле слова) когда читал написаный мной дифференциальный ряд, заставил сделать обзурную рентгенограмму

ОГК в прямой и боковой проекции, результат тот же что и на флюшке:

назначен день КТ, как я уже говорил прям пред обследованием пациента полетела какая то плата, появились артефакты, но явность картины не скрыть!):

     

  • https://radiomed.ru/sites/default/files/styles/case_slider_image/public/user/17318/20130304_120256.jpg?itok=D_ymSsg6
  • https://radiomed.ru/sites/default/files/styles/case_slider_image/public/user/17318/20130304_120153.jpg?itok=hTLwTMB3
  • https://radiomed.ru/sites/default/files/styles/case_slider_image/public/user/17318/img-0004-00001.jpg?itok=gpICBo9y
  • https://radiomed.ru/sites/default/files/styles/case_slider_image/public/user/17318/img-0006-00001.jpg?itok=w2NLqwQr
  • https://radiomed.ru/sites/default/files/styles/case_slider_image/public/user/17318/img-0008-00001.jpg?itok=GoJOwlkG
  • https://radiomed.ru/sites/default/files/styles/case_slider_image/public/user/17318/img-0010-00001.jpg?itok=zyLAPjGV
  • https://radiomed.ru/sites/default/files/styles/case_slider_image/public/user/17318/img-0011-00001.jpg?itok=drf7NwgL
  • https://radiomed.ru/sites/default/files/styles/case_slider_image/public/user/17318/img-0012-00001.jpg?itok=BN3mhcsB
  • https://radiomed.ru/sites/default/files/styles/case_slider_image/public/user/17318/img-0013-00001.jpg?itok=wgotX7CL
  • https://radiomed.ru/sites/default/files/styles/case_slider_image/public/user/17318/img-0014-00001.jpg?itok=w53HP-MP
  • https://radiomed.ru/sites/default/files/styles/case_slider_image/public/user/17318/img-0015-00001.jpg?itok=snhXMrxI
ID:26823
ЛГ аватар
Не на сайте
Был на сайте: 9 лет 3 месяцев назад
Зарегистрирован: 06.01.2010 - 12:31
Публикации: 3523

Можете показать верхнедолевые бронхи?

И.Бондаренко аватар
Не на сайте
Был на сайте: 1 неделя 5 дней назад
Зарегистрирован: 13.09.2011 - 22:55
Публикации: 9213

Какое заключение КТ?

Андрей Кастарнов аватар
Не на сайте
Был на сайте: 9 лет 1 месяц назад
Зарегистрирован: 11.11.2012 - 14:04
Публикации: 107

ЛГ wrote:

Можете показать верхнедолевые бронхи?

красными стрелочками

Приложения: 
img-0002-00001.jpg
Андрей Кастарнов аватар
Не на сайте
Был на сайте: 9 лет 1 месяц назад
Зарегистрирован: 11.11.2012 - 14:04
Публикации: 107

И.Бондаренко wrote:

Какое заключение КТ?

 

написали панлобулярная эмфизема преимущественно в верхних долях. мне кажется это  говорит о врожденной верхнедолевой эмфиземе

ЛГ аватар
Не на сайте
Был на сайте: 9 лет 3 месяцев назад
Зарегистрирован: 06.01.2010 - 12:31
Публикации: 3523

Спасибо) 

В случае отсутствия динамики по сравнению с ФЛГ прошлых лет, вариант врожденной долевой двусторонней эмфиземы вполне подходит. Если раньше эмфиземы верхних долей не было, то это гораздо интереснее, хотя я не знаю, что это может быть. 

Андрей Кастарнов аватар
Не на сайте
Был на сайте: 9 лет 1 месяц назад
Зарегистрирован: 11.11.2012 - 14:04
Публикации: 107

ЛГ wrote:

Спасибо) 

В случае отсутствия динамики по сравнению с ФЛГ прошлых лет, вариант врожденной долевой двусторонней эмфиземы вполне подходит. Если раньше эмфиземы верхних долей не было, то это гораздо интереснее, хотя я не знаю, что это может быть. 

к сожалению более ранних исследований найти не удалось. со слов его часто болел.

в принципе то эмфизема если была то она наверняка ухудшается... 

алкс аватар
Не на сайте
Был на сайте: 10 лет 5 месяцев назад
Зарегистрирован: 24.10.2012 - 22:55
Публикации: 2915

Похоже, что мало сосудов для просто эмфиземы, практически все сосуды вверху исходят из средних отделов.  Нет ли пороков развития сосудов легких, хорошо бы контрастирование или узи сердца.

Андрей Кастарнов аватар
Не на сайте
Был на сайте: 9 лет 1 месяц назад
Зарегистрирован: 11.11.2012 - 14:04
Публикации: 107

алкс wrote:

Похоже, что мало сосудов для просто эмфиземы, практически все сосуды вверху исходят из средних отделов.  Нет ли пороков развития сосудов легких, хорошо бы контрастирование или узи сердца.

 

да я тоже несколько расстроен был что без контраста сделали, но вроде смотрели все сосуда от сердца и к сердцу подходят как положено.

в принципе если стромы нет то и сосудам держаться незачто вот они вниз и спустились.

Катенёв Валентин Львович аватар
Не на сайте
Был на сайте: 7 лет 5 месяцев назад
Зарегистрирован: 22.03.2008 - 22:15
Публикации: 54876

Пациенту 35 лет. Надо думать, что архив однозначно есть.

Чисто субективно корни представляются гипопластичными в области головок и частично тел.

Катенёв Валентин Львович аватар
Не на сайте
Был на сайте: 7 лет 5 месяцев назад
Зарегистрирован: 22.03.2008 - 22:15
Публикации: 54876

Интересно, как бы классики рентгенокардиологии, такие как М.А. Иваницкая проанализировали бы "сердечные дуги" слева и справа?

Приложения: 
1._dugi.20130304_120427.jpg
Катенёв Валентин Львович аватар
Не на сайте
Был на сайте: 7 лет 5 месяцев назад
Зарегистрирован: 22.03.2008 - 22:15
Публикации: 54876

"О дугах"

Из материала А.В. Шумакова

Катенёв Валентин Львович аватар
Не на сайте
Был на сайте: 7 лет 5 месяцев назад
Зарегистрирован: 22.03.2008 - 22:15
Публикации: 54876

Вот и кажется мне контур РА ущербным...

mila аватар
Не на сайте
Был на сайте: 5 лет 7 месяцев назад
Зарегистрирован: 26.02.2010 - 02:56
Публикации: 277

А мне кажется, что ушко левого предсердия больше чем надо, хотя здесь на контур может выйти легочный ствол, тогда все объяснимо.

Катенёв Валентин Львович аватар
Не на сайте
Был на сайте: 7 лет 5 месяцев назад
Зарегистрирован: 22.03.2008 - 22:15
Публикации: 54876

mila wrote:

А мне кажется, что ушко левого предсердия больше чем надо

На мой взгляд правильные слова глаголите по поводу формы сердца!

Интересно, как форму сердца охарактеризуем?

 

23.sh_..slayd95.jpg
23.sh_..slayd95.jpg94.92 кб
24.sh_..slayd96.jpg
24.sh_..slayd96.jpg48.59 кб
25.sh_..slayd97.jpg
25.sh_..slayd97.jpg69.71 кб
26.sh_..slayd98.jpg
26.sh_..slayd98.jpg44.5 кб
27.sh_.slayd99.jpg
27.sh_.slayd99.jpg78.98 кб
28.sh_..slayd100.jpg
28.sh_..slayd100.jpg47.64 кб
29.sh_..slayd101.jpg
29.sh_..slayd101.jpg65.94 кб 
Катенёв Валентин Львович аватар
Не на сайте
Был на сайте: 7 лет 5 месяцев назад
Зарегистрирован: 22.03.2008 - 22:15
Публикации: 54876

Дай Бог здоровья уважаемому Анатолию Владимировичу!

Вот так и отделы сердца вспомним...

Андрей Кастарнов аватар
Не на сайте
Был на сайте: 9 лет 1 месяц назад
Зарегистрирован: 11.11.2012 - 14:04
Публикации: 107

mila wrote:

А мне кажется, что ушко левого предсердия больше чем надо, хотя здесь на контур может выйти легочный ствол, тогда все объяснимо.

 

на сколько мне известно на КТ разглядели что левая легочная артерия выперала сильно... вероятно что у пациента легочная гипертензия...

Андрей Кастарнов аватар
Не на сайте
Был на сайте: 9 лет 1 месяц назад
Зарегистрирован: 11.11.2012 - 14:04
Публикации: 107

Катенёв Валентин Львович wrote:

Пациенту 35 лет. Надо думать, что архив однозначно есть.

Чисто субективно корни представляются гипопластичными в области головок и частично тел.

 

со слов пациента до данного года ему делали рентген ОГК только в детсве, когда он жил в селе. более не флюрограмм ничего подобного не делали.

Катенёв Валентин Львович аватар
Не на сайте
Был на сайте: 7 лет 5 месяцев назад
Зарегистрирован: 22.03.2008 - 22:15
Публикации: 54876

Андрей Кастарнов wrote:

на сколько мне известно на КТ разглядели что левая легочная артерия выперала сильно... вероятно что у пациента легочная гипертензия...

И почему она "выпирала"?

Андрей Кастарнов аватар
Не на сайте
Был на сайте: 9 лет 1 месяц назад
Зарегистрирован: 11.11.2012 - 14:04
Публикации: 107

Катенёв Валентин Львович wrote:

Андрей Кастарнов wrote:

на сколько мне известно на КТ разглядели что левая легочная артерия выперала сильно... вероятно что у пациента легочная гипертензия...

И почему она "выпирала"?

 

вероятно в следствии вторичной легочной гипертензии несколько расширилась... хотя я могу ошибаться!

Катенёв Валентин Львович аватар
Не на сайте
Был на сайте: 7 лет 5 месяцев назад
Зарегистрирован: 22.03.2008 - 22:15
Публикации: 54876

Андрей Кастарнов wrote:

вероятно в следствии вторичной легочной гипертензии несколько расширилась... хотя я могу ошибаться!

Слишком большие пути "вторичной легочной гипертензии" и не всегда "корни" её исходят из легочной патологии и "легочной аномалии" развития.