Отправил в ПТД поделить ответственность надвое.

Пол пациента: 
Тип патологии: 
Методы исследования: 

Вроде и жалоб нет, да и я в сметении. Вроде не норма, но куда сплавить. А динамика не годная  (это же хорошо, что можно легко, сделанную у тебя цифру, поднять)

 

ID:18292
KinShin аватар
Не на сайте
Был на сайте: 13 лет 6 месяцев назад
Зарегистрирован: 20.01.2012 - 23:09
Публикации: 2

А в чём проблема-то??? это же чистая норма

Катенёв Валентин Львович аватар
Не на сайте
Был на сайте: 7 лет 6 месяцев назад
Зарегистрирован: 22.03.2008 - 22:15
Публикации: 54876

Правильно, что отправили Игорь Иванович.

Фил аватар
Не на сайте
Был на сайте: 7 лет 2 месяцев назад
Зарегистрирован: 13.09.2011 - 16:24
Публикации: 137

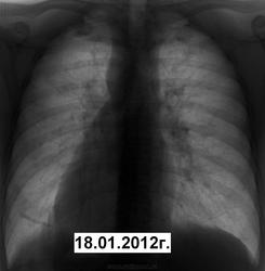
Я так понимаю , что не понравились малоинтенсивные тени в латеральных отделах слева ? Кнаружи от среднеключичной линии ?  В ГТД его родимого !

Cherdunya аватар
Не на сайте
Был на сайте: 10 лет 2 месяцев назад
Зарегистрирован: 20.06.2011 - 18:52
Публикации: 43

Чем -то похоже на гематогенную диссеминацию

Nikolas аватар
Не на сайте
Был на сайте: 2 месяцев 2 недели назад
Зарегистрирован: 21.12.2010 - 20:37
Публикации: 4560

написали? И где вы сами рассмотрели изменения? Интересно  знать Ваше мнение. Nikolas

КАГ аватар
Не на сайте
Был на сайте: 11 месяцев 2 недели назад
Зарегистрирован: 24.10.2010 - 16:30
Публикации: 199

Я тоже ничего не вижу...

Nikolas аватар
Не на сайте
Был на сайте: 2 месяцев 2 недели назад
Зарегистрирован: 21.12.2010 - 20:37
Публикации: 4560

вижу. Важно мнение автора.

Игорь Иванович аватар
Не на сайте
Был на сайте: 4 года 3 месяцев назад
Зарегистрирован: 23.01.2010 - 14:56
Публикации: 3695

Nikolas wrote:

вижу. Важно мнение автора.

Вижу именно то, что отметил Фил. Может там ТБС и не будет, и его еще куда отправят, но будет участие. По крайней мере не скажут, что ничего не видел, не внимательно смотрел. Потом это будет всем видно.

КАГ аватар
Не на сайте
Был на сайте: 11 месяцев 2 недели назад
Зарегистрирован: 24.10.2010 - 16:30
Публикации: 199

Хз... Уже и очки надел, в руках книга "Карманный атлас рентгенологической анатомии" под редакцией Т.Б. Меллер, Э. Райф... Может я не туда смотрю... Завтра лупу куплю!!! о_0 ТТ

Игорь Иванович аватар
Не на сайте
Был на сайте: 4 года 3 месяцев назад
Зарегистрирован: 23.01.2010 - 14:56
Публикации: 3695

КАГ wrote:

 Завтра лупу куплю!!!

Коллега, не обременяйте свой карман лишними тратами, лупа есть рабочем столе ПК. На сайте уже не раз произносилась фраза "глаз зацепился", вот и все. Тем более, что на предыдущей флюшке он, практически, не цеплялся. Вот я и приложил усилия, что бы он зацепился (или отцепился) еще и у коллеги фтизиатра. Есле вдруг вылезет завтра бяка, то, поверьте, даже при отрицательной лупе каждый начинающий укажет мне мою близорукость.

Приложения: 
1966g.r.18.01.2012g.jpg
КАГ аватар
Не на сайте
Был на сайте: 11 месяцев 2 недели назад
Зарегистрирован: 24.10.2010 - 16:30
Публикации: 199

Спасибо!

Nikolas аватар
Не на сайте
Был на сайте: 2 месяцев 2 недели назад
Зарегистрирован: 21.12.2010 - 20:37
Публикации: 4560

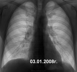
что Игорь Иванович поступил тактически правильно. Больше всего боюсь в таких случаях госпитализации пациентов в туберкулезный стационар. Подобных больных следует быстро обследовать амбулаторно. Возможно, имеется нетуберкулезная патология (саркоидоз?). Не по душе мне и эта тень (см. рисунок). Надеюсь получим сведения об окончательном диагнозе. С уважением Nikolas

Приложения: 
kopiya_1966g.r.18.01.2012g.jpg
Фил аватар
Не на сайте
Был на сайте: 7 лет 2 месяцев назад
Зарегистрирован: 13.09.2011 - 16:24
Публикации: 137

В нашем ГТД есть диагностическое пульмо отделение. Там как раз такие неясные и дообследуются. И  этот же ГТД современную чудо- лабораторию по модернизации получил , которая микобактерии ТБС  в мокроте за  пол- часа определяет . Теперь ответы стали гораздо быстрее  оттуда приходить .