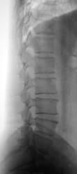
Пациент был направлен на рентгенологическое исследование ПОП с диагнозом остеохондроз.

Пол пациента: 
Тип патологии: 
Область исследования: 
Методы исследования: 

Пациент был направлен на рентгенологическое исследование ПОП с диагнозом остеохондроз

  • https://radiomed.ru/sites/default/files/styles/case_slider_image/public/user/12/2.dscn1343.jpg?itok=sU7mz7fB
ID:27843
Dr.Drug аватар
Не на сайте
Был на сайте: 7 лет 10 месяцев назад
Зарегистрирован: 01.11.2008 - 20:21
Публикации: 464

Мне видится (плохо видно на прямом) переходный пояснично-крестцовый... Если так, то дегенеративные изменения, больше выраженные в переходных сегментах.

С уважением, А.В.Коробейников

maker4ik аватар
Не на сайте
Был на сайте: 8 лет 7 месяцев назад
Зарегистрирован: 19.10.2011 - 17:49
Публикации: 2682

А что этов теле L2 на боковой? Переходных позвонков не вижу...

Катенёв Валентин Львович аватар
Не на сайте
Был на сайте: 7 лет 3 недели назад
Зарегистрирован: 22.03.2008 - 22:15
Публикации: 54876

maker4ik wrote:

А что этов теле L2 на боковой? Переходных позвонков не вижу...

Приложения: 
1.dscn1343a.jpg2.dscn1344.jpg3.dscn1344a.jpg4.dscn1344ac.jpg
Алексей Игоревич Чернявский аватар
Не на сайте
Был на сайте: 6 лет 10 месяцев назад
Зарегистрирован: 08.08.2012 - 21:52
Публикации: 786

Приходит в мозг "свеженький"туберкульозный спондилит, который будет подсвязочно ползти.

"Обучая других - учишься сам". Н.И.Пирогов
 

Vikkur аватар
Не на сайте
Был на сайте: 4 года 8 месяцев назад
Зарегистрирован: 24.09.2009 - 14:34
Публикации: 1749

Доброго времени суток Валентин Львович!

На прямой то не видно, надо бы резануть линеечку... а так то да. вот что смущает, что есть ободок склероза и нет компресии позвонка...может все таки воздух?

Виктор.

И.Бондаренко аватар
Не на сайте
Был на сайте: 2 дня 11 часов назад
Зарегистрирован: 13.09.2011 - 22:55
Публикации: 9206

Кажется есть изменения в соседних позвонках. Возможно и миелома выйдет.

Dr.Drug аватар
Не на сайте
Был на сайте: 7 лет 10 месяцев назад
Зарегистрирован: 01.11.2008 - 20:21
Публикации: 464

А мне сей "объект" видится так:

 

Приложения: 
2.dscn1344.jpg

С уважением, А.В.Коробейников

Наталия аватар
Не на сайте
Был на сайте: 8 лет 7 месяцев назад
Зарегистрирован: 30.07.2008 - 13:24
Публикации: 538

Метастаз

Леонид аватар
Не на сайте
Был на сайте: 9 лет 1 неделя назад
Зарегистрирован: 13.01.2011 - 19:33
Публикации: 445

Наталия wrote:

Метастаз

Метастазы в межпозвонковые диски не внедряются.

Наталия аватар
Не на сайте
Был на сайте: 8 лет 7 месяцев назад
Зарегистрирован: 30.07.2008 - 13:24
Публикации: 538

Внедрения нет.

См. коммент 3, нижняя картинка.

Леонид аватар
Не на сайте
Был на сайте: 9 лет 1 неделя назад
Зарегистрирован: 13.01.2011 - 19:33
Публикации: 445

Наталия wrote:

Внедрения нет.

См. коммент 3, нижняя картинка.

Я полагал, что Вы реагировали на объект из 7 коммента.

Наталия аватар
Не на сайте
Был на сайте: 8 лет 7 месяцев назад
Зарегистрирован: 30.07.2008 - 13:24
Публикации: 538

Леонид wrote:

Я полагал, что Вы реагировали на объект из 7 коммента.

Я думаю, что рисуночек в № 7 надуманный.

Катенёв Валентин Львович аватар
Не на сайте
Был на сайте: 7 лет 3 недели назад
Зарегистрирован: 22.03.2008 - 22:15
Публикации: 54876

Три года тому назад была операция по поводу рака прямой кишки.