Пациент направлен на рентген-контроль после лечения.

Пол пациента: 
Тип патологии: 
Область исследования: 
Методы исследования: 

Пациент направлен на рентген-контроль после лечения.

  • https://radiomed.ru/sites/default/files/styles/case_slider_image/public/user/12/2.p8060055a.jpg?itok=nEBzoDqD
  • https://radiomed.ru/sites/default/files/styles/case_slider_image/public/user/12/3.p8060056.jpg?itok=otp_GCYX
  • https://radiomed.ru/sites/default/files/styles/case_slider_image/public/user/12/4.p8060056a.jpg?itok=qZK0ttxV
  • https://radiomed.ru/sites/default/files/styles/case_slider_image/public/user/12/5.p8060057.jpg?itok=0cs7rt1M
  • https://radiomed.ru/sites/default/files/styles/case_slider_image/public/user/12/6.p8060057a.jpg?itok=jnQ_KAr3
ID:5292
stovbav аватар
Не на сайте
Был на сайте: 2 года 2 месяцев назад
Зарегистрирован: 20.12.2009 - 17:28
Публикации: 7066

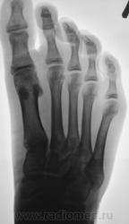
С основной фалангой вопросов нет, посттраматический артроз гарантирован; есть ли похожий перелом средней фаланги? или мне показалось?

Катенёв Валентин Львович аватар
Не на сайте
Был на сайте: 7 лет 3 недели назад
Зарегистрирован: 22.03.2008 - 22:15
Публикации: 54876

На мой взгляд, "кусочек" отвален.

stovbav аватар
Не на сайте
Был на сайте: 2 года 2 месяцев назад
Зарегистрирован: 20.12.2009 - 17:28
Публикации: 7066

Согласен...интересно - каков механизм, если Вам известны обстоятельства травмы?

Катенёв Валентин Львович аватар
Не на сайте
Был на сайте: 7 лет 3 недели назад
Зарегистрирован: 22.03.2008 - 22:15
Публикации: 54876

Элементарно.

Господин "кирпич" из пьяных рук вывалился.

stovbav аватар
Не на сайте
Был на сайте: 2 года 2 месяцев назад
Зарегистрирован: 20.12.2009 - 17:28
Публикации: 7066

Понятно ... и вкось ребром на стопу то и упал...вопросов, как говориться, больше нет))))....