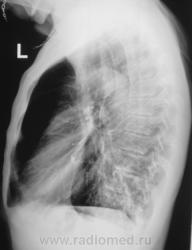
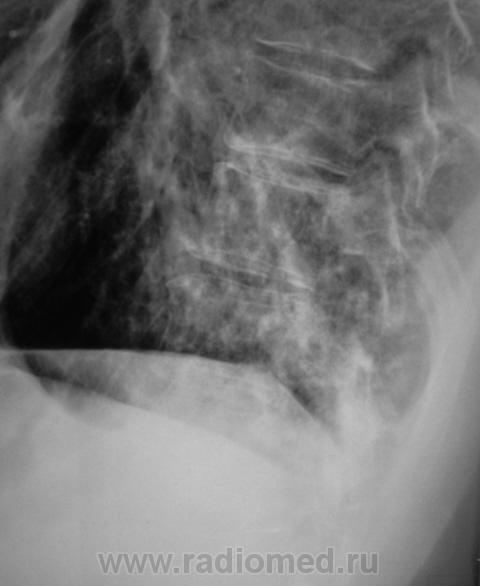
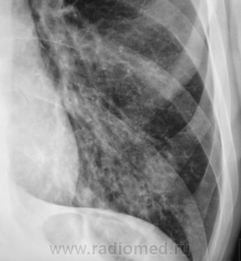
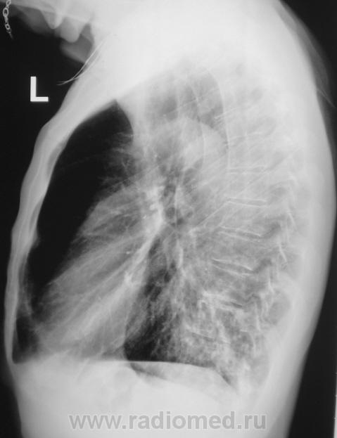
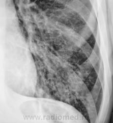
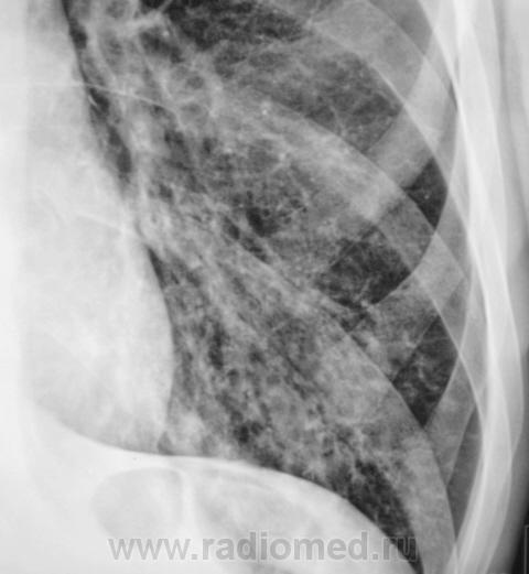
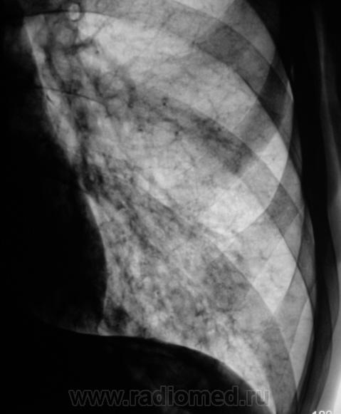
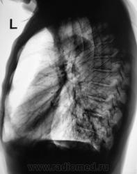
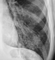
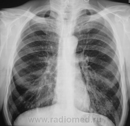
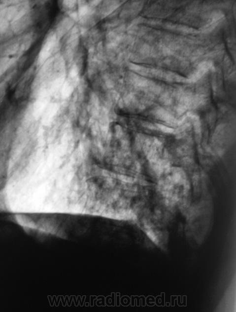
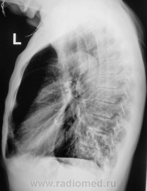
Пациент направлен на рентгенографию ОГК с диагнозом - "Левостороняя пневмония".

Пол пациента: 
Методы исследования: 

Пациент направлен на рентгенографию ОГК с диагнозом  - "Левостороняя пневмония".

  • https://radiomed.ru/sites/default/files/styles/case_slider_image/public/user/12/2.ogk_.pa290007.jpg?itok=ozVKbirp
  • https://radiomed.ru/sites/default/files/styles/case_slider_image/public/user/12/3.ogk_.pa290008.jpg?itok=n75jagSY
  • https://radiomed.ru/sites/default/files/styles/case_slider_image/public/user/12/4.ogk_.pa290008a.jpg?itok=1GC8gJBZ
  • https://radiomed.ru/sites/default/files/styles/case_slider_image/public/user/12/5.ogk_.pa290009.jpg?itok=L8k3XAcV
  • https://radiomed.ru/sites/default/files/styles/case_slider_image/public/user/12/6.ogk_.pa290009a.jpg?itok=21RkuF4e
  • https://radiomed.ru/sites/default/files/styles/case_slider_image/public/user/12/7.ogk_.pa290011.jpg?itok=bihzuT_e
  • https://radiomed.ru/sites/default/files/styles/case_slider_image/public/user/12/8.ogk_.pa290011a.jpg?itok=rd-Vr5JA
  • https://radiomed.ru/sites/default/files/styles/case_slider_image/public/user/12/9.ogk_.pa290014.jpg?itok=q-SIxE0A
  • https://radiomed.ru/sites/default/files/styles/case_slider_image/public/user/12/10.ogkpa290014a.jpg?itok=OYkif4O-
  • https://radiomed.ru/sites/default/files/styles/case_slider_image/public/user/12/1.ogk_.pa290012.jpg?itok=HfjuYgq0
  • https://radiomed.ru/sites/default/files/styles/case_slider_image/public/user/12/2.ogk_.pa290012ab.jpg?itok=dCryJckr
  • https://radiomed.ru/sites/default/files/styles/case_slider_image/public/user/12/5.ogk_.pa290013.jpg?itok=yHvDYrDS
  • https://radiomed.ru/sites/default/files/styles/case_slider_image/public/user/12/6.ogk_.pa290013a.jpg?itok=ynNcFcTm
ID:8440
ren_gen аватар
Не на сайте
Был на сайте: 11 лет 1 месяц назад
Зарегистрирован: 30.10.2010 - 19:17
Публикации: 285

здравствуйте! анамнез хотелось бы узнать. интересная обработка рентгенограмм. А можно справа также..

Катенёв Валентин Львович аватар
Не на сайте
Был на сайте: 7 лет 2 недели назад
Зарегистрирован: 22.03.2008 - 22:15
Публикации: 54876

Здравствуйте!

Анамнез стандартный. Ранее неоднократно страдал обострениями хронического бронхита. Сейчас вот не нашутку занемог - температура до 38, откашливает мокроту, кашель продуктивный.

Евгений1313 аватар
Не на сайте
Был на сайте: 13 лет 6 дней назад
Зарегистрирован: 15.10.2010 - 19:13
Публикации: 808

Диагноз левосторонней нижнедолевой С10, С9 сементарной пневмонии наверное будет верным, а с учётом фона- с наличием бронхоэктазов.