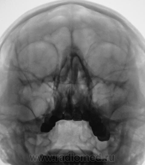
На кисту, судя по контуру и по объему затемнения не похоже, больше данных за отек, реком-ся контроль в динамике (через 3-4 недели) -отек "уйдет", а оценивать состояние слизистой носа - привилегия ЛОР-врачей
Состояние двузначное:с одной стороны есть как бы некоторое заокругление верхнего контура и локальность поражения; с другой - вытянутость формы затемнения, но, опять же таки - локальность. Т.е., с одной стороны локальность больше характерна для кисты, но не совсем, мягко говоря, характерна для гайморита. Как бы там ни было - клиент для КТ, цель - уточнение состояния слизистой.
Состояние двузначное:с одной стороны есть как бы некоторое заокругление верхнего контура и локальность поражения; с другой - вытянутость формы затемнения, но, опять же таки - локальность. Т.е., с одной стороны локальность больше характерна для кисты, но не совсем, мягко говоря, характерна для гайморита. Как бы там ни было - клиент для КТ, цель - уточнение состояния слизистой.
Перевожу:( как в сказке) сон это не сон, а не сон это сон. А если серьезно, вполне возможны полипы.
Великое преймущество врача заключается в том, что он не обязан следовать собственным советам. ( А. Кристи)
в левой гайморовой пазухе отек слизистой, в альвеолярной бухте просится пломбировочный материал. хорошо бы панорамную томографию или дентальный снимок, или гайморография в прямой и левой боковой проекциях
Пристеночное утолщение слизистой, выроженный отек носовых ходов - картина риносинуита.
Виктор.
А округлый контур затемнения в левой гайморовой пазухе не киста? Утолщение слизистой носа.
На кисту, судя по контуру и по объему затемнения не похоже, больше данных за отек, реком-ся контроль в динамике (через 3-4 недели) -отек "уйдет", а оценивать состояние слизистой носа - привилегия ЛОР-врачей
Состояние двузначное:с одной стороны есть как бы некоторое заокругление верхнего контура и локальность поражения; с другой - вытянутость формы затемнения, но, опять же таки - локальность. Т.е., с одной стороны локальность больше характерна для кисты, но не совсем, мягко говоря, характерна для гайморита. Как бы там ни было - клиент для КТ, цель - уточнение состояния слизистой.
Болезни ног: виды, симптомы, причины, профилактика и лечение
Перевожу:( как в сказке) сон это не сон, а не сон это сон. А если серьезно, вполне возможны полипы.
Великое преймущество врача заключается в том, что он не обязан следовать собственным советам. ( А. Кристи)
Возможны...но где, хотя бы, волнистость контура?
Болезни ног: виды, симптомы, причины, профилактика и лечение
На полипы совсем не похоже
По моему , киста
телу- мера, душе-Вера
в левой гайморовой пазухе отек слизистой, в альвеолярной бухте просится пломбировочный материал. хорошо бы панорамную томографию или дентальный снимок, или гайморография в прямой и левой боковой проекциях
А ведь пожалуй Вы правы! особенно по поводу пломбировочного материала. Что скажет автор случая по поводу анамнеза? Если таковой можно "догнать"?
Болезни ног: виды, симптомы, причины, профилактика и лечение
Случай 2.
Пациент направлен оториноларингологом на рентгенографию придаточных полостей носа.
Интересный ответ...
--------------
"Просто, по видимости, не видеть логики в очевидных вещах - это тоже одно из свойств некоторых умов, наряду с грустными думами о свойствах ума других." © Vega 08/10/2011