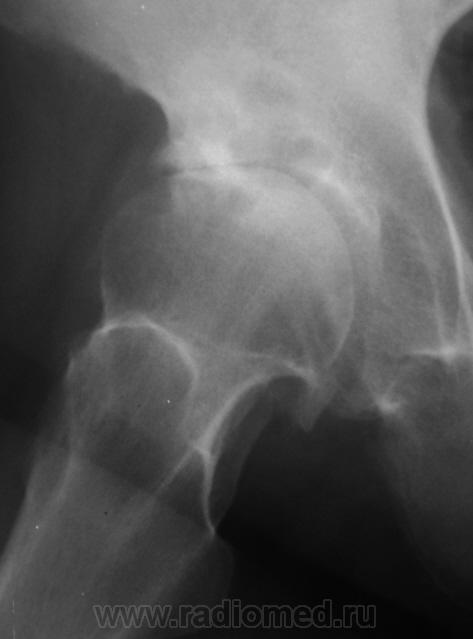
Пол пациента: Мужской пол Тип патологии: Другое Область исследования: Скелетно-мышечная система Методы исследования: Rg Пациент направлен на рентгенографию тазобедренного сустава. https://radiomed.ru/sites/default/files/styles/case_slider_image/public/user/12/2.p2100008.jpg?itok=xeIOIPjU https://radiomed.ru/sites/default/files/styles/case_slider_image/public/user/12/3.p2100008a.jpg?itok=-f8UPzuU ID:12067 Втр, 15/02/2011 - 20:09 #1 Фаина Не на сайте Был на сайте: 2 года 11 месяцев назад Зарегистрирован: 14.12.2008 - 16:51 Публикации: 323 Деф.артроз с кистовидной перестройкой, хотя может эти простветления за счет асептического некроза Втр, 15/02/2011 - 22:49 #2 Петрович Не на сайте Был на сайте: 7 лет 3 месяцев назад Зарегистрирован: 22.03.2009 - 01:13 Публикации: 3908 ДДПКП. Но всё же нужна и прямая проекция Неоднозначно всё Втр, 15/02/2011 - 23:50 #3 Fujimi Не на сайте Был на сайте: 12 лет 6 месяцев назад Зарегистрирован: 20.01.2011 - 23:08 Публикации: 259 Петрович wrote: ДДПКП... Не могли бы Вы расшифровать? Ср, 16/02/2011 - 00:05 #4 Петрович Не на сайте Был на сайте: 7 лет 3 месяцев назад Зарегистрирован: 22.03.2009 - 01:13 Публикации: 3908 ДДПКП = Дегенеративно-дистрофическое поражение с кистовидной перестройкой. Одно из трёх дегенеративно-дистрофических поражений, выделяемых/описанных Н.С. Косинской. Могу дать почитать её Классический труд. Неоднозначно всё Ср, 16/02/2011 - 00:12 #5 Fujimi Не на сайте Был на сайте: 12 лет 6 месяцев назад Зарегистрирован: 20.01.2011 - 23:08 Публикации: 259 Спасибо. У меня есть. Так можно писать в заключении? Ср, 16/02/2011 - 00:14 #6 Петрович Не на сайте Был на сайте: 7 лет 3 месяцев назад Зарегистрирован: 22.03.2009 - 01:13 Публикации: 3908 Я пишу. С указанием стадии. Неоднозначно всё Ср, 16/02/2011 - 00:17 #7 Fujimi Не на сайте Был на сайте: 12 лет 6 месяцев назад Зарегистрирован: 20.01.2011 - 23:08 Публикации: 259 Большое Вам спасибо! Пт, 18/02/2011 - 22:00 #8 Катенёв Валенти... Не на сайте Был на сайте: 7 лет 1 месяц назад Зарегистрирован: 22.03.2008 - 22:15 Публикации: 54876 Спасибо за высказанные мнения. Сб, 19/02/2011 - 10:12 #9 Евгений1313 Не на сайте Был на сайте: 13 лет 2 недели назад Зарегистрирован: 15.10.2010 - 19:13 Публикации: 808 Так то оно так ,да только кистозная перестройка чаше поражает головку, а здесь она интактная.И напротив-ограниченный участок деструкции в области "крыши" вертлужной впадины.Я думаю что это метастаз в ости впадины. Сб, 19/02/2011 - 18:39 #10 Петрович Не на сайте Был на сайте: 7 лет 3 месяцев назад Зарегистрирован: 22.03.2009 - 01:13 Публикации: 3908 Для суждения об интактности головки всё же необходима прямая проекция. Метастаз если есть, то не один. И миеломная не исключается вовсе. Неоднозначно всё
Деф.артроз с кистовидной перестройкой, хотя может эти простветления за счет асептического некроза
ДДПКП. Но всё же нужна и прямая проекция
Неоднозначно всё
Не могли бы Вы расшифровать?
ДДПКП = Дегенеративно-дистрофическое поражение с кистовидной перестройкой.
Одно из трёх дегенеративно-дистрофических поражений, выделяемых/описанных Н.С. Косинской.
Могу дать почитать её Классический труд.
Неоднозначно всё
Спасибо. У меня есть. Так можно писать в заключении?
Я пишу. С указанием стадии.
Неоднозначно всё
Большое Вам спасибо!
Спасибо за высказанные мнения.
Так то оно так ,да только кистозная перестройка чаше поражает головку, а здесь она интактная.И напротив-ограниченный участок деструкции в области "крыши" вертлужной впадины.Я думаю что это метастаз в ости впадины.
Для суждения об интактности головки всё же необходима прямая проекция. Метастаз если есть, то не один. И миеломная не исключается вовсе.
Неоднозначно всё