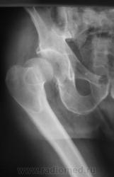
Пациент доставлен "по ургенту", направлен на рентгенографию тазобедренного сустава.

Пол пациента: 
Тип патологии: 
Область исследования: 
Методы исследования: 

Пациент доставлен "по ургенту", направлен на рентгенографию тазобедренного сустава.

  • https://radiomed.ru/sites/default/files/styles/case_slider_image/public/user/12/2.UrgentP4270029.JPG?itok=buKf20Ev
  • https://radiomed.ru/sites/default/files/styles/case_slider_image/public/user/12/3..Urgent.P4270029a.jpg?itok=zLmEUmzA
ID:3544
Анатолий Владимирович Шумаков аватар
Не на сайте
Был на сайте: 7 лет 10 месяцев назад
Зарегистрирован: 16.10.2009 - 21:16
Публикации: 1941

Крайне редкое наблюдение. Но переломов  вроде не видно... Непонято где головка - спереди или сзади, но вероятно куда то заскочила...

lupan аватар
Не на сайте
Был на сайте: 6 лет 10 месяцев назад
Зарегистрирован: 07.01.2010 - 17:17
Публикации: 1406

Возможен перелом дна вертлужной впадины.

Великое преймущество врача заключается в том, что он не обязан следовать собственным советам. ( А. Кристи)

Катенёв Валентин Львович аватар
Не на сайте
Был на сайте: 7 лет 2 недели назад
Зарегистрирован: 22.03.2008 - 22:15
Публикации: 54876

lupan wrote:

Возможен перелом дна вертлужной впадины.

То что помечено стрелками?

 

Приложения: 
4..Urgent.JPG
Грицько Виталий аватар
Не на сайте
Был на сайте: 8 лет 11 месяцев назад
Зарегистрирован: 05.01.2010 - 14:06
Публикации: 1058

Действительно, интересно где головка. Положение бедра как понимаю вынужденное.

lupan аватар
Не на сайте
Был на сайте: 6 лет 10 месяцев назад
Зарегистрирован: 07.01.2010 - 17:17
Публикации: 1406

Катенёв Валентин Львович wrote:

lupan wrote:

Возможен перелом дна вертлужной впадины.

То что помечено стрелками?

Да.

 

Великое преймущество врача заключается в том, что он не обязан следовать собственным советам. ( А. Кристи)

Анатолий Владимирович Шумаков аватар
Не на сайте
Был на сайте: 7 лет 10 месяцев назад
Зарегистрирован: 16.10.2009 - 21:16
Публикации: 1941

Вакуум...

lupan аватар
Не на сайте
Был на сайте: 6 лет 10 месяцев назад
Зарегистрирован: 07.01.2010 - 17:17
Публикации: 1406

Анатолий Шумаков wrote:

Вакуум...

"Газ" как-будто имеет продолжение назаднюю стенку впадины.

Великое преймущество врача заключается в том, что он не обязан следовать собственным советам. ( А. Кристи)

Грицько Виталий аватар
Не на сайте
Был на сайте: 8 лет 11 месяцев назад
Зарегистрирован: 05.01.2010 - 14:06
Публикации: 1058

Думаю вывих в сравнении с таким переломом доминирует.

Vikkur аватар
Не на сайте
Был на сайте: 4 года 7 месяцев назад
Зарегистрирован: 24.09.2009 - 14:34
Публикации: 1749

Может вывих с отрывом связки удерживающей головку во впадине?

Виктор.

stovbav аватар
Не на сайте
Был на сайте: 2 года 2 месяцев назад
Зарегистрирован: 20.12.2009 - 17:28
Публикации: 7066

Вывих наружу и назад с ротацией бедра большим вертелом вперед, отрыв собственной связки бедра с перелом в месте ее прикрепления; газа...увы....нет. Интересен механиз возникновения. Нельзя ли пару слов по обстоятельствам получения подобного повреждения. Предполагаю - падение с высоты на бок.

Катенёв Валентин Львович аватар
Не на сайте
Был на сайте: 7 лет 2 недели назад
Зарегистрирован: 22.03.2008 - 22:15
Публикации: 54876

ДТП, все пьяные, авто в лепеху, извлекало МЧС.

stovbav аватар
Не на сайте
Был на сайте: 2 года 2 месяцев назад
Зарегистрирован: 20.12.2009 - 17:28
Публикации: 7066

Катенёв Валентин Львович wrote:

ДТП, все пьяные, авто в лепеху, извлекало МЧС.

Ясно, таз был относительно фиксирован на сидении, бедро "выворачивало" вперед и снаружи- внутрь...очевидно....вот и вырвало из вертлужной впадины.

Валентин Львович, позвольте позаимствовать случай, он несколько "выпадает" из известных схем, а именно тем, что нет яркого смещения вверх или вниз.

Катенёв Валентин Львович аватар
Не на сайте
Был на сайте: 7 лет 2 недели назад
Зарегистрирован: 22.03.2008 - 22:15
Публикации: 54876

Даже не спрашивая берите и пользуйтесь.

Глазков Игорь Артурович аватар
Не на сайте
Был на сайте: 9 месяцев 1 неделя назад
Зарегистрирован: 19.12.2008 - 20:41
Публикации: 1597

Скажите пож-та, нет ли на данном снимке правого тазобедренного сустава патологии до аварии? Меня заинтересовал шеечно-диафизарный угол, он очень острый и большой вертел, он какой-то поротичный. Может моё мнение ошибочно? Перелома здесь не вижу. С уважением Игорь Артурович.

Прийди к Себе

Грицько Виталий аватар
Не на сайте
Был на сайте: 8 лет 11 месяцев назад
Зарегистрирован: 05.01.2010 - 14:06
Публикации: 1058

Чтобы определиться с вертелом, нужно снять оба после вправления.