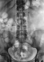
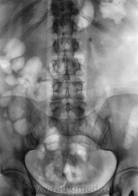
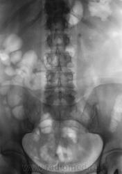
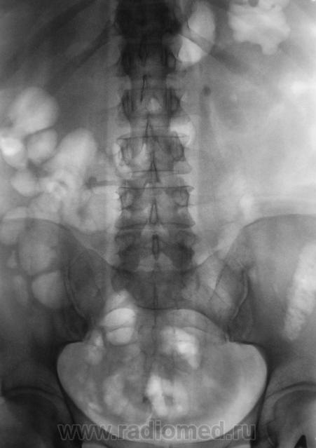
Пациент направлен на внутривенную урографию.

Пол пациента: 
Тип патологии: 
Область исследования: 
Методы исследования: 

Пациент направлен на внутривенную урографию.

  • https://radiomed.ru/sites/default/files/styles/case_slider_image/public/user/12/2..PK_...jpg?itok=AYLwUqPn
  • https://radiomed.ru/sites/default/files/styles/case_slider_image/public/user/12/3..PK_...JPG?itok=UQb781wr
  • https://radiomed.ru/sites/default/files/styles/case_slider_image/public/user/12/4..PK_...jpg?itok=9D7ZULOX
  • https://radiomed.ru/sites/default/files/styles/case_slider_image/public/user/12/5..PK_...JPG?itok=ZyAk9hXZ
  • https://radiomed.ru/sites/default/files/styles/case_slider_image/public/user/12/6..PK_...jpg?itok=hyThZRo2
  • https://radiomed.ru/sites/default/files/styles/case_slider_image/public/user/12/7..PK_...JPG?itok=wKKXoPv6
  • https://radiomed.ru/sites/default/files/styles/case_slider_image/public/user/12/8..PK_...jpg?itok=XBxZlHAJ
  • https://radiomed.ru/sites/default/files/styles/case_slider_image/public/user/12/9..PK_...JPG?itok=6tqOMY4C
  • https://radiomed.ru/sites/default/files/styles/case_slider_image/public/user/12/10..PK_...jpg?itok=8WAZvhFb
ID:2946
Наталия аватар
Не на сайте
Был на сайте: 8 лет 7 месяцев назад
Зарегистрирован: 30.07.2008 - 13:24
Публикации: 538

Камень в левом мочеточнике.

Грицько Виталий аватар
Не на сайте
Был на сайте: 9 лет 1 день назад
Зарегистрирован: 05.01.2010 - 14:06
Публикации: 1058

В верхней трети.

Almo аватар
Не на сайте
Был на сайте: 5 часов 56 минут назад
Зарегистрирован: 28.09.2008 - 18:50
Публикации: 8260

Мне кажется, неправомочно говорить о камне мочеточника слева, т.к. не видим контрастирования собирательной системы левой почки.Последний снимок выполнен на 15 минуте, конечно надо было выполнить снимки на 40 минуте , а может быть в дальнейшем и позже по времени.

Грицько Виталий аватар
Не на сайте
Был на сайте: 9 лет 1 день назад
Зарегистрирован: 05.01.2010 - 14:06
Публикации: 1058

Валентин Львович, добрый вечер. Так каково же ваше мнение, есть камень или нет?

Катенёв Валентин Львович аватар
Не на сайте
Был на сайте: 7 лет 3 недели назад
Зарегистрирован: 22.03.2008 - 22:15
Публикации: 54876

Здравствуйте коллега!

Конечно есть. Да, и "блок" левой почки свидетельствует, да и УЗИ подтвердило.

Но, это история. "Родил", в страшных муках, пациент этот камень. Лечащий врач сегодня утречком продемонстрировал - большая мерзость, эти камешки, почти - "кактусы".

Грицько Виталий аватар
Не на сайте
Был на сайте: 9 лет 1 день назад
Зарегистрирован: 05.01.2010 - 14:06
Публикации: 1058

Спасибо за ответ и за случай.

Фаина аватар
Не на сайте
Был на сайте: 2 года 11 месяцев назад
Зарегистрирован: 14.12.2008 - 16:51
Публикации: 323

Валентин Львович, можно вопрос: почему нет контраста в левой почке вообще, а с ним и гидронефротической трансформации почки?!

Катенёв Валентин Львович аватар
Не на сайте
Был на сайте: 7 лет 3 недели назад
Зарегистрирован: 22.03.2008 - 22:15
Публикации: 54876

На мой взгляд, гидронефроз еще не развился. Камень, по всей видимости "вывалился" из одной малой чашечки и застрял, вызвал "почечную колику" и поплыл делать своё доле дальше - дистально по мочеточнику. Я вообще сомневался в контрастировании полых систем, так как исследование было проведено на "высоте" почечной колики.

stovbav аватар
Не на сайте
Был на сайте: 2 года 2 месяцев назад
Зарегистрирован: 20.12.2009 - 17:28
Публикации: 7066

Думаю, что коллега Almo абсолютно прав, что сделав отсроченый снимок было бы найдено и контрастирование ЧЛС и ее расширение, пусть и ситуационное, пусть и небольшое, даже учитывая факт наличия высоты почечной колики.

Катенёв Валентин Львович аватар
Не на сайте
Был на сайте: 7 лет 3 недели назад
Зарегистрирован: 22.03.2008 - 22:15
Публикации: 54876

Конечно, Вы правы Виктор Григорьевич, по поводу "отсроченного снимка". Но поезд ушел, камень родился, пациентка выписана в хорошем состоянии, камень забрала, как  любимое дитя.

stovbav аватар
Не на сайте
Был на сайте: 2 года 2 месяцев назад
Зарегистрирован: 20.12.2009 - 17:28
Публикации: 7066

Катенёв Валентин Львович wrote:

Конечно, Вы правы Виктор Григорьевич, по поводу "отсроченного снимка". Но поезд ушел, камень родился, пациентка выписана в хорошем состоянии, камень забрала, как  любимое дитя.

Давайте расскажу, в связи с этим, историю (в картинках, естественно), которая на днях была у меня с "камнем"............

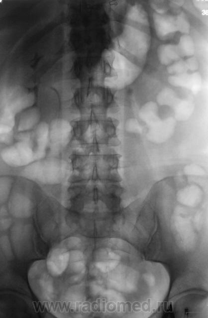
Итак - обзорная урограмма.........

Приложения: 
Foto001.jpg
stovbav аватар
Не на сайте
Был на сайте: 2 года 2 месяцев назад
Зарегистрирован: 20.12.2009 - 17:28
Публикации: 7066

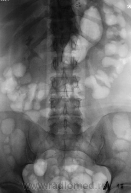
Через два дня - в\в урография......

Какие будут мнения?

Приложения: 
Foto002.jpgFoto003.jpg
stovbav аватар
Не на сайте
Был на сайте: 2 года 2 месяцев назад
Зарегистрирован: 20.12.2009 - 17:28
Публикации: 7066

Начинаю описывать в\в урографию и...где же тень конкремента? ЕЕ на прежнем месте нет....ЧЛС слева не расширена, дополнительных теней или "плюс-тени" явно не просматривается....

Начинаю мужичка "трясти как грушу"..."всплывает" обзорная урография за сентябрь 2009 года...да, там низковато захвачено...но зона конкремента попала...а его....НЕТ!!!!!!!!!!!!!!!! Не мог же он вырасти за каких то полгода до ТАКИХ размеров.

Приложения: 
2009.jpg
stovbav аватар
Не на сайте
Был на сайте: 2 года 2 месяцев назад
Зарегистрирован: 20.12.2009 - 17:28
Публикации: 7066

В голову лезут всякие бредовые идеи...и одна из них - инородное тело (суммация тени на тень почки) типа животной косточки.....Начинаю вновь "трясти" мужичка и...выплывает полный рот протезов и...."кушал кролика за сутки-двое до снимка" (на котором тень конкремента)....сомнения возрастают, тем более тень уж больно смахивает на короткую трубчастую кость из лапки мелкого животного (к примеру)......

stovbav аватар
Не на сайте
Был на сайте: 2 года 2 месяцев назад
Зарегистрирован: 20.12.2009 - 17:28
Публикации: 7066

Вызываю мужичка вновь из отделения и делаю прицельные снимки, в т.ч. с компрессией, левой почки....сомнения в наличии камня остаются...

 

Приложения: 
Foto004.jpg
Петрович аватар
Не на сайте
Был на сайте: 7 лет 2 месяцев назад
Зарегистрирован: 22.03.2009 - 01:13
Публикации: 3908

История в картинках напоминает детектив. Версия первая. Он на съёмку приходил с камнем за пазухой?

Неоднозначно всё

stovbav аватар
Не на сайте
Был на сайте: 2 года 2 месяцев назад
Зарегистрирован: 20.12.2009 - 17:28
Публикации: 7066

Ночь сплю не очень хорошо...мучают сомнения...с утра вызываю мужичка вновь...делаю контрольные прицельные снимки...

И вот он "красавец" - оказывается - он как маятник ходит из нижней чашки в лоханку, периодически вызывая нечетко выраженную колику, зато с микро- и макрогематурией....

Анализ - ноги ошибки "выросли" еще их первой обзорной урограммы, выполненной, мягко говоря, не совсем корректно....

Вот такая история...если она была кому то интересной и поучительной...

Приложения: 
xcvv.jpgra.jpg
Петрович аватар
Не на сайте
Был на сайте: 7 лет 2 месяцев назад
Зарегистрирован: 22.03.2009 - 01:13
Публикации: 3908

  А тут ещё чей-то глаз смотрит на нас из центра круга…

Неоднозначно всё

stovbav аватар
Не на сайте
Был на сайте: 2 года 2 месяцев назад
Зарегистрирован: 20.12.2009 - 17:28
Публикации: 7066

Петрович wrote:

  А тут ещё чей-то глаз смотрит на нас из центра круга…

Петрович, Вы можете представить "глаз" этого мужичка, когда я ему говорил три раза РАЗНОЕ...вот что он обо мне думал...какой уж у него там булыжник за пазухой...что ему мои сомнения....

Петрович аватар
Не на сайте
Был на сайте: 7 лет 2 месяцев назад
Зарегистрирован: 22.03.2009 - 01:13
Публикации: 3908

  Виктор Григорьевич, а в чём некорректность первой обзорной урограммы?

Неоднозначно всё

stovbav аватар
Не на сайте
Был на сайте: 2 года 2 месяцев назад
Зарегистрирован: 20.12.2009 - 17:28
Публикации: 7066

Петрович wrote:

  Виктор Григорьевич, а в чём некорректность первой обзорной урограммы?

Низко захвачено все (это я еще обрезал при обработке снимка), в норме нижний край пленки должен на 2-3 см быть ниже верхнего края лонного сочленения, у а вверх - сколько достанет на протяжении 40 см...так вот у меня лаборанты в поликлинике очень любят вниз сьезжать, сколько не "строю"...вот и тут так; в итоге захвачено чуть меньше половины левой почки, конкремент, естественно остался сразу за ее верхним срезом. Это теперь то понятно, что тогда тоже была колика и он тоже был перемещен в лоханку...потом попустило и он опустился вновь в нижнюю чашечку. Думаю так.

Петрович аватар
Не на сайте
Был на сайте: 7 лет 2 месяцев назад
Зарегистрирован: 22.03.2009 - 01:13
Публикации: 3908

Спасибо, понял! Я-то думал, что речь о том снимке, который Вы дали первым.

Неоднозначно всё

Almo аватар
Не на сайте
Был на сайте: 5 часов 56 минут назад
Зарегистрирован: 28.09.2008 - 18:50
Публикации: 8260

Виктор Григорьевич, спасибо, что поддержали мой пост,  в вобщем- то не за то, что персонально меня, а принцип доказательности! Вы представили, очень поучительное наблюдение, но для меня было откровением, что камень из мочеточника может "гулять" обратно в собирательную систему почки, а потом опять в мочеточник и обратно в лоханку "маятникообразно"( я практически всю жизнь работаю в больнице терапевтического профиля-хирургические болезни для меня terra incognita) . 

Катенёв Валентин Львович аватар
Не на сайте
Был на сайте: 7 лет 3 недели назад
Зарегистрирован: 22.03.2008 - 22:15
Публикации: 54876

Случай можно назвать -

"Заблудший камень" или "Камень, гуляющий сам- по себе".