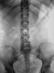
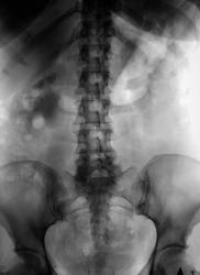
Пациентка направлена на внутривенную урографию. Какие будут мнения?

Пол пациента: 
Тип патологии: 
Область исследования: 
Методы исследования: 

Пациентка направлена на внутривенную урографию. Какие будут мнения?

  • https://radiomed.ru/sites/default/files/styles/case_slider_image/public/user/12/2.dscn0398.jpg?itok=0AXab1ig
  • https://radiomed.ru/sites/default/files/styles/case_slider_image/public/user/12/3.dscn0399.jpg?itok=6aEWDIxn
  • https://radiomed.ru/sites/default/files/styles/case_slider_image/public/user/12/4.dscn0400.jpg?itok=VgETKpn-
ID:23848
Mitkampfer аватар
Не на сайте
Был на сайте: 11 лет 2 месяцев назад
Зарегистрирован: 27.07.2010 - 07:43
Публикации: 1454

Не вижу адекватного расширения чашечек, возможно этот вариант   http://www.medison.ru/si/art208.htm     (рис.2).

еще подумаю).

Не ограничивайте свою мысль

Живешь пока учишься

Ecrasez l’infame

И.Бондаренко аватар
Не на сайте
Был на сайте: 1 день 21 час назад
Зарегистрирован: 13.09.2011 - 22:55
Публикации: 9206

Слабое контратирование левой почки, мочеточник прослеживается до уровня крестца. Тень в проекции дистального отдела левого мочеточника, возможно конкремент.

Mitkampfer аватар
Не на сайте
Был на сайте: 11 лет 2 месяцев назад
Зарегистрирован: 27.07.2010 - 07:43
Публикации: 1454

И.Бондаренко wrote:

Слабое контратирование левой почки, мочеточник прослеживается до уровня крестца. Тень в проекции дистального отдела левого мочеточника, возможно конкремент.

на третьем снимке левый мочеточник контрастирован

Не ограничивайте свою мысль

Живешь пока учишься

Ecrasez l’infame

Любовь С. аватар
Не на сайте
Был на сайте: 9 лет 6 месяцев назад
Зарегистрирован: 23.12.2010 - 01:58
Публикации: 2324

Центровку на 1 позвонок ниже и отсроченный снимок через 60 мин.

"Предоставляя весь смысл и совершенство в распоряжение одного только Бога, вы избавляете себя от бездны хлопот." Джон Уитборн.

И.Бондаренко аватар
Не на сайте
Был на сайте: 1 день 21 час назад
Зарегистрирован: 13.09.2011 - 22:55
Публикации: 9206

Mitkampfer wrote:

И.Бондаренко wrote:

Слабое контратирование левой почки, мочеточник прослеживается до уровня крестца. Тень в проекции дистального отдела левого мочеточника, возможно конкремент.

на третьем снимке левый мочеточник контрастирован

Согласен. Просмотрел. Значит, остаётся гидронефроз справа, возможно стриктура или врождённое высокое отхождение мочеточника. 

Катенёв Валентин Львович аватар
Не на сайте
Был на сайте: 7 лет 1 месяц назад
Зарегистрирован: 22.03.2008 - 22:15
Публикации: 54876

Конечно, подготовка хреновая, даже хуже. Готовить пациентов к исследовани. адекватно прекратили.

Катенёв Валентин Львович аватар
Не на сайте
Был на сайте: 7 лет 1 месяц назад
Зарегистрирован: 22.03.2008 - 22:15
Публикации: 54876

Сделали срезы.

Приложения: 
1.dscn0401.jpg2.dscn0402.jpg3.dscn0402a.jpg
Dr.Drug аватар
Не на сайте
Был на сайте: 7 лет 10 месяцев назад
Зарегистрирован: 01.11.2008 - 20:21
Публикации: 464

Признаки нарушения оттока из правой ЧЛС симнительной этиологии))

С уважением, А.В.Коробейников

FOX-ray аватар
Не на сайте
Был на сайте: 12 лет 4 месяцев назад
Зарегистрирован: 27.10.2010 - 21:05
Публикации: 84

На томограмах складывается ощущение, что справа видна значительно расширенная тень мочеточника? Особенно, если сравнить две половины. Точно сказать нельзя, потому что там m.psoas подобной конфинурации проходит.

А что, контраста мало ввели или почки так плохо сработали? Проблема ведь не только в плохой подготовке.

FOX-ray

Катенёв Валентин Львович аватар
Не на сайте
Был на сайте: 7 лет 1 месяц назад
Зарегистрирован: 22.03.2008 - 22:15
Публикации: 54876

Контраста ввели стандартно, две ампулы - 40,0.

А, что надо больше?

FOX-ray аватар
Не на сайте
Был на сайте: 12 лет 4 месяцев назад
Зарегистрирован: 27.10.2010 - 21:05
Публикации: 84

Я правильно понял, что две ампулы по 20 мл, вместе - 40. Для нормально работающих почек это стандартно. Но тоже нужно учитывать концентрацию и вид контраста. У взрослых расчёт 1 мл на кг, если не ошибаюсь. Значит, 40 мл. - по идее будет маловато. Конечно, нам в бюджетных организациях приходится экономить. Но лучше добавить ещё 20 мл и получить нормальные снимки, чем зря выкинуть 40мл. на неинформативные снимки. Желательно заранее знать историю больного и при наличии гидронефротических изменений дать контраста с запасом. Нас учили в этих случаях сразу, после введения контраста, дополнительно болюсно в вену влить 50 мл. физ. р-ра. Котрастирование почек должно улучшиться - простой и бесплатный способ.

Валентин Львович, а всё-таки мочеточник справа расширен? есть уретерогидронефроз?

FOX-ray

Dr.Drug аватар
Не на сайте
Был на сайте: 7 лет 10 месяцев назад
Зарегистрирован: 01.11.2008 - 20:21
Публикации: 464

Вам, Фокс-рей, похоже, залили уши медпредставители, распространяющие контраст. Знаете, какая у них голубая мечта? - чтобы мы по 200 мл вводили, а лучше по литру.)))

Лет 10 назад мы по 2-3 раза в день вводили призывникам по 20 мл 76% р-ра урографина и получали сносные снимки. Считалось, что если пациент весит 70 и менее кг, то ему достаточно одной ампулы, если более - то две. Про три и более никто и не думал. А теперь - в отделении интервенционной хирургии льют иногда по 300 мл (ультрависта и омнипака (или визипака) = ~$500!) - так им оно надо. А нам надо? А Вам?

С уважением, А.В.Коробейников

Любовь С. аватар
Не на сайте
Был на сайте: 9 лет 6 месяцев назад
Зарегистрирован: 23.12.2010 - 01:58
Публикации: 2324

Почитайте инструкцию к препарату). 20-50 мл 76%-ого урографина.

"Предоставляя весь смысл и совершенство в распоряжение одного только Бога, вы избавляете себя от бездны хлопот." Джон Уитборн.

stovbav аватар
Не на сайте
Был на сайте: 2 года 3 месяцев назад
Зарегистрирован: 20.12.2009 - 17:28
Публикации: 7066

Врожденное сужение ЛМС справа...вот и все....)))), а все остальное - следствие.