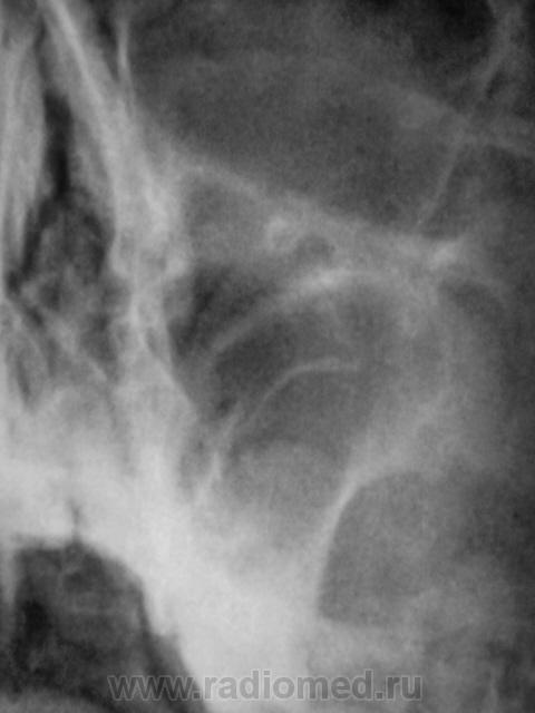
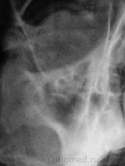
Пациент направлен в рентгеновский кабинет отоларингологом.

Пол пациента: 
Область исследования: 
Методы исследования: 

Пациент направлен в рентгеновский кабинет отоларингологом.

  • https://radiomed.ru/sites/default/files/styles/case_slider_image/public/user/12/2.p3040002.jpg?itok=gKlkltRd
  • https://radiomed.ru/sites/default/files/styles/case_slider_image/public/user/12/3.p3040002a.jpg?itok=AsF4NTu5
  • https://radiomed.ru/sites/default/files/styles/case_slider_image/public/user/12/4.p3040003.jpg?itok=uyOE-VJL
  • https://radiomed.ru/sites/default/files/styles/case_slider_image/public/user/12/5.p3040003a.jpg?itok=ewu4K0zq
  • https://radiomed.ru/sites/default/files/styles/case_slider_image/public/user/12/6.p3040004.jpg?itok=Lr8ilVZI
  • https://radiomed.ru/sites/default/files/styles/case_slider_image/public/user/12/7.p3040005.jpg?itok=klCQu3bL
ID:12417
DR.RAD аватар
Не на сайте
Был на сайте: 11 лет 8 месяцев назад
Зарегистрирован: 25.03.2009 - 18:22
Публикации: 805

справа вроде есть пристеночное утолщение слизистой оболочки по медиальной стенке, а слева толи киста толи полип толи отек, контроль в динамике

Сан Саныч1 аватар
Не на сайте
Был на сайте: 11 месяцев 2 недели назад
Зарегистрирован: 07.06.2010 - 21:17
Публикации: 2114

Придет на контроль, тогда можно будет делать какие-то выводы.

Хочешь сделать что-то нормально - сделай это сам!