Пол пациента:
Тип патологии:
Область исследования:
Методы исследования:
- https://radiomed.ru/sites/default/files/styles/case_slider_image/public/user/12/2.pb090015a.jpg?itok=vEeYCP-A
- https://radiomed.ru/sites/default/files/styles/case_slider_image/public/user/12/3.pb090016.jpg?itok=_g6_HcIo
- https://radiomed.ru/sites/default/files/styles/case_slider_image/public/user/12/4.pb090016a.jpg?itok=gaVRwpWU
- https://radiomed.ru/sites/default/files/styles/case_slider_image/public/user/12/5.pb090017.jpg?itok=8J09ykW8
- https://radiomed.ru/sites/default/files/styles/case_slider_image/public/user/12/6.pb090017a.jpg?itok=lM65epGN
- https://radiomed.ru/sites/default/files/styles/case_slider_image/public/user/12/7.pb090017ab.jpg?itok=tt3Oxji6
ID:16691
погорячился! (долго не грузились снимки).
С уважением. Ильич.
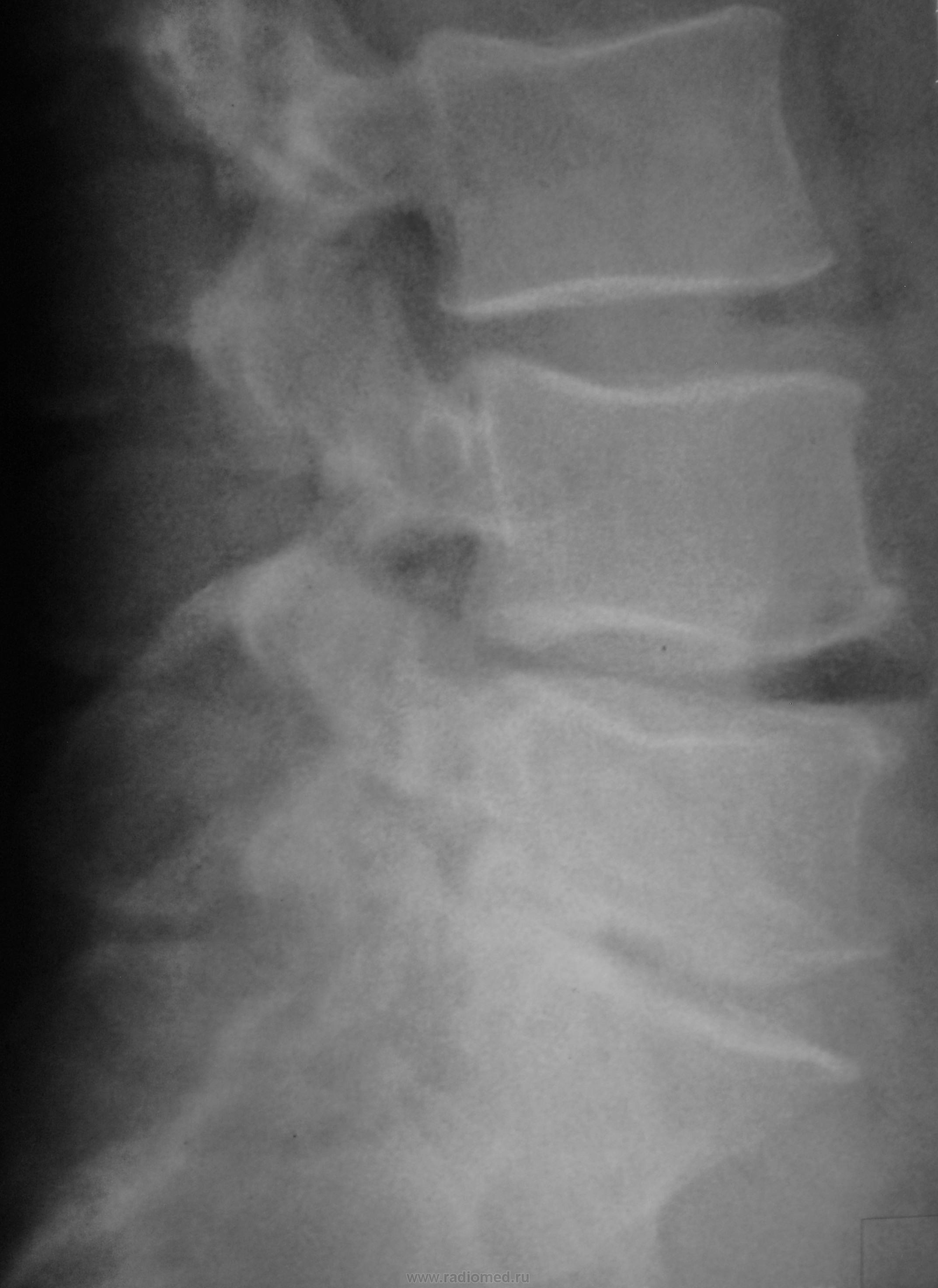
остеохондроз, спондилёз и сколиоз, я думаю, дело уже привычное. Удивило то, что я смог рассмотреть: полная двусторонняя люмбализация S1, спондилолиз S1 и spina bifida posterior S1. такую комбинацию вижу первый раз! может, я не прав!?
spina bifida posterior в L4, или я не прав?
Не согласна. С такой неподготовкой можно много пририсовать. Я бы пересняла, и боковой тоже.
"Предоставляя весь смысл и совершенство в распоряжение одного только Бога, вы избавляете себя от бездны хлопот." Джон Уитборн.
+1
VERITATEM DIES APERIT - истину выявляет время (Сенека)
А, переснимать для чего?
- Поддерживаю! Зачем переснимать, когда сомнений нет!
--------------
"Просто, по видимости, не видеть логики в очевидных вещах - это тоже одно из свойств некоторых умов, наряду с грустными думами о свойствах ума других." © Vega 08/10/2011
Не всегда, даже тщательная подготовка пациента достигает своей цели. Порой, "голодные газы" могут сыграть злую шутку.