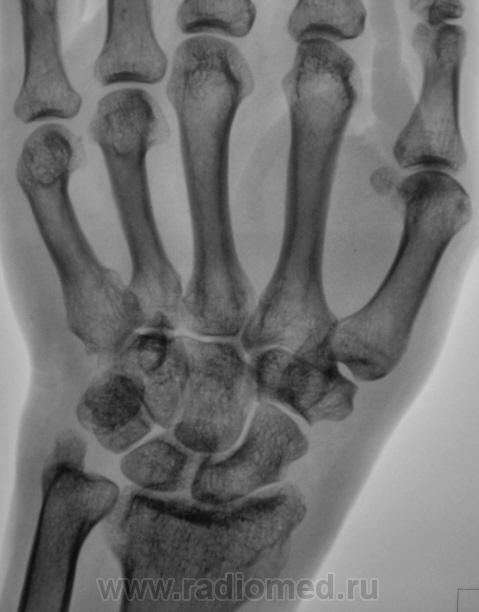
Пол пациента: Женский пол Тип патологии: Другое Область исследования: Скелетно-мышечная система Методы исследования: Rg Пациент с диагнозом "ревматоидный артрит" направлен на рентгенографию кистей. https://radiomed.ru/sites/default/files/styles/case_slider_image/public/user/12/2.pb100037a.jpg?itok=yFjpd1IX https://radiomed.ru/sites/default/files/styles/case_slider_image/public/user/12/3.pb100038.jpg?itok=92itQ56R https://radiomed.ru/sites/default/files/styles/case_slider_image/public/user/12/4.pb100038a.jpg?itok=rsA7mSo8 ID:8677 Чт, 11/11/2010 - 01:03 #1 Makcimalist Не на сайте Был на сайте: 11 лет 8 месяцев назад Зарегистрирован: 08.05.2010 - 14:28 Публикации: 1994 - специфич. признаков начальных стадий РА не нашёл... -------------- "Просто, по видимости, не видеть логики в очевидных вещах - это тоже одно из свойств некоторых умов, наряду с грустными думами о свойствах ума других." © Vega 08/10/2011 Чт, 11/11/2010 - 14:44 #2 Катенёв Валенти... Не на сайте Был на сайте: 7 лет 2 недели назад Зарегистрирован: 22.03.2008 - 22:15 Публикации: 54876 Норму писать? Сб, 13/11/2010 - 01:28 #3 Makcimalist Не на сайте Был на сайте: 11 лет 8 месяцев назад Зарегистрирован: 08.05.2010 - 14:28 Публикации: 1994 Начальные проявления остеоартроза пястно-фаланговых,м/фаланговых суставов... (Норма бывает п/е рождения... и то не всегда...) -------------- "Просто, по видимости, не видеть логики в очевидных вещах - это тоже одно из свойств некоторых умов, наряду с грустными думами о свойствах ума других." © Vega 08/10/2011 Сб, 13/11/2010 - 19:53 #4 Глазков Игорь А... Не на сайте Был на сайте: 9 месяцев 2 недели назад Зарегистрирован: 19.12.2008 - 20:41 Публикации: 1597 Имеются кистовидные просветления костной ткани в эпифизах костей. Прийди к Себе
- специфич. признаков начальных стадий РА не нашёл...
--------------
"Просто, по видимости, не видеть логики в очевидных вещах - это тоже одно из свойств некоторых умов, наряду с грустными думами о свойствах ума других." © Vega 08/10/2011
Норму писать?
Начальные проявления остеоартроза пястно-фаланговых,м/фаланговых суставов...
(Норма бывает п/е рождения... и то не всегда...)
--------------
"Просто, по видимости, не видеть логики в очевидных вещах - это тоже одно из свойств некоторых умов, наряду с грустными думами о свойствах ума других." © Vega 08/10/2011
Имеются кистовидные просветления костной ткани в эпифизах костей.
Прийди к Себе