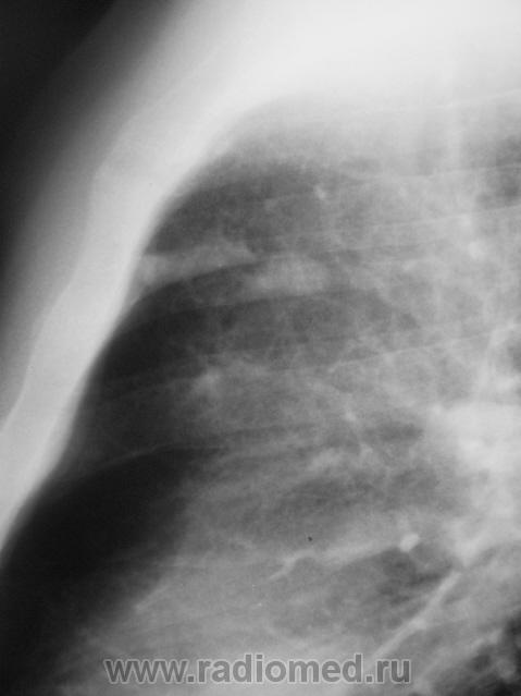
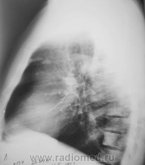
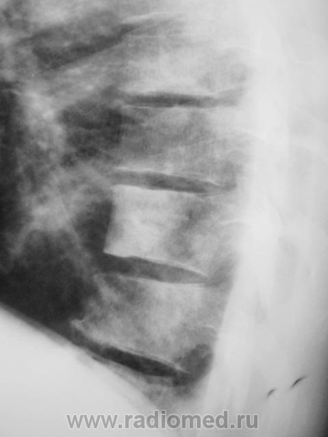
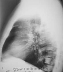
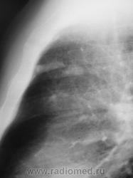
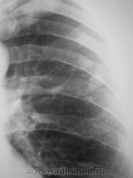
Пациент взят на контроль после проведения профилактической флюорографии.

Пол пациента: 
Тип патологии: 
Методы исследования: 

Пациент взят на контроль после проведения профилактической флюорографии.

  • https://radiomed.ru/sites/default/files/styles/case_slider_image/public/user/12/2.p4260039.jpg?itok=RmMBzEd9
  • https://radiomed.ru/sites/default/files/styles/case_slider_image/public/user/12/3.p4260040.jpg?itok=kEDDx_4A
  • https://radiomed.ru/sites/default/files/styles/case_slider_image/public/user/12/4.p4260041.jpg?itok=ad3sKR8e
  • https://radiomed.ru/sites/default/files/styles/case_slider_image/public/user/12/5.p4260041a.jpg?itok=Un5t_7cH
  • https://radiomed.ru/sites/default/files/styles/case_slider_image/public/user/12/6.p4260042.jpg?itok=U0Toda8k
  • https://radiomed.ru/sites/default/files/styles/case_slider_image/public/user/12/7.p4260042a.jpg?itok=xdPRXLvM
  • https://radiomed.ru/sites/default/files/styles/case_slider_image/public/user/12/8.p4260043.jpg?itok=1_QFIcha
  • https://radiomed.ru/sites/default/files/styles/case_slider_image/public/user/12/9.p4260043a.jpg?itok=ZKnm60SC
ID:13645
Доротея аватар
Не на сайте
Был на сайте: 14 лет 7 месяцев назад
Зарегистрирован: 27.04.2011 - 09:57
Публикации: 8

Возможно остеопойкилия? Рекомендовала бы рентгенографию периферических отделов скелета (кисти, голеностопы...)

Катенёв Валентин Львович аватар
Не на сайте
Был на сайте: 7 лет 4 недели назад
Зарегистрирован: 22.03.2008 - 22:15
Публикации: 54876

Доротея wrote:
Возможно остеопойкилия? Рекомендовала бы рентгенографию периферических отделов скелета (кисти, голеностопы...)

Мы как то об остеопойкилии не подумали...

10dent I.A. аватар
Не на сайте
Был на сайте: 11 лет 4 месяцев назад
Зарегистрирован: 25.04.2011 - 15:53
Публикации: 47

а в легких изменения?очаговые тени в легких и склеротические изменения тела толкают на мысли о метастатическом поражении.

...я мало видел, еще меньше знаю...

Катенёв Валентин Львович аватар
Не на сайте
Был на сайте: 7 лет 4 недели назад
Зарегистрирован: 22.03.2008 - 22:15
Публикации: 54876

Сделали "томку".

Приложения: 
1.p4260045a.jpg2.p4260046a.jpg3.p4260047a.jpg4.p4260048a.jpg5.p4260049a.jpg
10dent I.A. аватар
Не на сайте
Был на сайте: 11 лет 4 месяцев назад
Зарегистрирован: 25.04.2011 - 15:53
Публикации: 47

Мысль всё о метастазах. Клинических проявлений нет никаких? В брюшной полости ничего не растет?

...я мало видел, еще меньше знаю...

Катенёв Валентин Львович аватар
Не на сайте
Был на сайте: 7 лет 4 недели назад
Зарегистрирован: 22.03.2008 - 22:15
Публикации: 54876

Мы тоже высказали мнение о наличии метастазов. У пациента установлен ( в области) рак предстательной железы, диагноз в ООД вверифицирован.

Регион05Наира аватар
Не на сайте
Был на сайте: 13 лет 9 месяцев назад
Зарегистрирован: 26.11.2011 - 14:43
Публикации: 59

Я тоже сразу подумала о мтс и это средостение справа как смещено т.е. л.узлы егосместили?