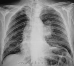
Пол пациента: Мужской пол Тип патологии: Другое Область исследования: Грудная клетка и верхние дыхательные пути Методы исследования: Rg Взят на контроль после флюорографии. https://radiomed.ru/sites/default/files/styles/case_slider_image/public/user/12/2.pb160005.jpg?itok=FLcZ_Iph ID:9374 Ср, 17/11/2010 - 07:54 #1 Игорь Иванович Не на сайте Был на сайте: 3 года 9 месяцев назад Зарегистрирован: 23.01.2010 - 14:56 Публикации: 3695 Какакя-то аневризма. Ср, 17/11/2010 - 10:40 #2 Сан Саныч1 Не на сайте Был на сайте: 11 месяцев 1 неделя назад Зарегистрирован: 07.06.2010 - 21:17 Публикации: 2114 Надо томографировать. Хочешь сделать что-то нормально - сделай это сам! Ср, 17/11/2010 - 16:46 #3 Виктор ВК Не на сайте Был на сайте: 14 лет 8 месяцев назад Зарегистрирован: 01.10.2010 - 15:34 Публикации: 114 и подворот и переломы)) а может и центральные дела Виктор Владимирович К. Ср, 17/11/2010 - 20:29 #4 Катенёв Валенти... Не на сайте Был на сайте: 7 лет 1 неделя назад Зарегистрирован: 22.03.2008 - 22:15 Публикации: 54876 Обработка боковой рентгенограммы. Приложения: Ср, 17/11/2010 - 20:30 #5 Катенёв Валенти... Не на сайте Был на сайте: 7 лет 1 неделя назад Зарегистрирован: 22.03.2008 - 22:15 Публикации: 54876 Сан Саныч1 wrote: Надо томографировать. Приложения: Ср, 17/11/2010 - 22:34 #6 Віктор Не на сайте Был на сайте: 12 лет 8 месяцев назад Зарегистрирован: 13.10.2010 - 22:18 Публикации: 33 Думаю , киста вилочковой железы ( был похожий случай ). Чт, 18/11/2010 - 00:44 #7 Дарья Не на сайте Был на сайте: 15 лет 1 неделя назад Зарегистрирован: 22.09.2010 - 22:33 Публикации: 98 центральный рак тут, какие кисты Чт, 18/11/2010 - 01:08 #8 Катенёв Валенти... Не на сайте Был на сайте: 7 лет 1 неделя назад Зарегистрирован: 22.03.2008 - 22:15 Публикации: 54876 Вы думаете, что тут центральный рак? Чт, 18/11/2010 - 03:43 #9 Виктор ВК Не на сайте Был на сайте: 14 лет 8 месяцев назад Зарегистрирован: 01.10.2010 - 15:34 Публикации: 114 средостение объективно смещено вправо..видимо это образование его оттесняет..во всяком случае центральный процесс исключть пока нельзя... Виктор Владимирович К. Чт, 18/11/2010 - 09:23 #10 Дарья Не на сайте Был на сайте: 15 лет 1 неделя назад Зарегистрирован: 22.09.2010 - 22:33 Публикации: 98 чего так купол выско стоит? и на томограммах сдавлен верхнедолевой Чт, 18/11/2010 - 17:02 #11 Катенёв Валенти... Не на сайте Был на сайте: 7 лет 1 неделя назад Зарегистрирован: 22.03.2008 - 22:15 Публикации: 54876 Дарья wrote: чего так купол выско стоит? и на томограммах сдавлен верхнедолевой Значит, должон быть ателектаз, или на "худой конец" гиповентиляция? Чт, 18/11/2010 - 21:29 #12 Катенёв Валенти... Не на сайте Был на сайте: 7 лет 1 неделя назад Зарегистрирован: 22.03.2008 - 22:15 Публикации: 54876 Итак, три мнения: - какая то аневризма; - киста; - центральный рак. Сб, 04/12/2010 - 19:30 #13 Makcimalist Не на сайте Был на сайте: 11 лет 8 месяцев назад Зарегистрирован: 08.05.2010 - 14:28 Публикации: 1994 Катенёв Валентин Львович wrote: Итак, три мнения: - какая то аневризма; - киста; - центральный рак. И чем дело кончилось?.. (+1 за центр. образование левого лёгкого) -------------- "Просто, по видимости, не видеть логики в очевидных вещах - это тоже одно из свойств некоторых умов, наряду с грустными думами о свойствах ума других." © Vega 08/10/2011 Вс, 05/12/2010 - 11:50 #14 Катенёв Валенти... Не на сайте Был на сайте: 7 лет 1 неделя назад Зарегистрирован: 22.03.2008 - 22:15 Публикации: 54876 Дело кончилось аневризмой. Ср, 08/12/2010 - 21:09 #15 Makcimalist Не на сайте Был на сайте: 11 лет 8 месяцев назад Зарегистрирован: 08.05.2010 - 14:28 Публикации: 1994 Катенёв Валентин Львович wrote: Дело кончилось аневризмой. Спасибо, за законченный случай! -------------- "Просто, по видимости, не видеть логики в очевидных вещах - это тоже одно из свойств некоторых умов, наряду с грустными думами о свойствах ума других." © Vega 08/10/2011 Пт, 10/12/2010 - 22:27 #16 Игорь Иванович Не на сайте Был на сайте: 3 года 9 месяцев назад Зарегистрирован: 23.01.2010 - 14:56 Публикации: 3695 Катенёв Валентин Львович wrote: Дело кончилось аневризмой. На вскрытии? Пт, 10/12/2010 - 22:34 #17 Катенёв Валенти... Не на сайте Был на сайте: 7 лет 1 неделя назад Зарегистрирован: 22.03.2008 - 22:15 Публикации: 54876 Да. Сб, 11/12/2010 - 12:04 #18 Игорь Иванович Не на сайте Был на сайте: 3 года 9 месяцев назад Зарегистрирован: 23.01.2010 - 14:56 Публикации: 3695 Тогда выставлю до пары.На момент прохождения флгр. был еще жив...Приложения: Сб, 11/12/2010 - 15:49 #19 Катенёв Валенти... Не на сайте Был на сайте: 7 лет 1 неделя назад Зарегистрирован: 22.03.2008 - 22:15 Публикации: 54876 Да, аналогия прослеживается, особеннос томограммами.
Какакя-то аневризма.
Надо томографировать.
Хочешь сделать что-то нормально - сделай это сам!
и подворот и переломы)) а может и центральные дела
Виктор Владимирович К.
Обработка боковой рентгенограммы.
Думаю , киста вилочковой железы ( был похожий случай ).
центральный рак тут, какие кисты
Вы думаете, что тут центральный рак?
средостение объективно смещено вправо..видимо это образование его оттесняет..во всяком случае центральный процесс исключть пока нельзя...
Виктор Владимирович К.
чего так купол выско стоит?
и на томограммах сдавлен верхнедолевой
Значит, должон быть ателектаз, или на "худой конец" гиповентиляция?
Итак, три мнения:
- какая то аневризма;
- киста;
- центральный рак.
И чем дело кончилось?.. (+1 за центр. образование левого лёгкого)
--------------
"Просто, по видимости, не видеть логики в очевидных вещах - это тоже одно из свойств некоторых умов, наряду с грустными думами о свойствах ума других." © Vega 08/10/2011
Дело кончилось аневризмой.
Спасибо, за законченный случай!
--------------
"Просто, по видимости, не видеть логики в очевидных вещах - это тоже одно из свойств некоторых умов, наряду с грустными думами о свойствах ума других." © Vega 08/10/2011
На вскрытии?
Да.
Тогда выставлю до пары.На момент прохождения флгр. был еще жив...
Да, аналогия прослеживается, особеннос томограммами.