Пациент "взят на контроль". Ваше мнение коллеги?

Пол пациента: 
Тип патологии: 
Методы исследования: 

Пациент "взят на контроль", дообследован, жалоб нет.  Ваше мнение коллеги?


101_K.F..JPG
101_K.F..JPG
102.K.F..JPG
102.K.F..JPG
103.K.F..JPG
103.K.F..JPG

 

 

 

 

 

 

 

 

 

 

 

 


104.K.F..JPG
104.K.F..JPG
105.K.F..JPG
105.K.F..JPG

 

 

 

 

 

 

 

 

 

 

 

 


106.K.F..JPG
106.K.F..JPG
107.K.F..JPG
107.K.F..JPG

 

 

 

 

 

 

 

 

 

 

 

 


108.K.F..JPG
108.K.F..JPG
109.K.F..JPG
109.K.F..JPG
ВложениеРазмер
Иконка изображения 101_K.F..JPG71.53 КБ
Иконка изображения 102.K.F..JPG78.78 КБ
Иконка изображения 103.K.F..JPG78.02 КБ
Иконка изображения 104.K.F..JPG90.34 КБ
Иконка изображения 105.K.F..JPG63.13 КБ
Иконка изображения 106.K.F..JPG55.79 КБ
Иконка изображения 107.K.F..JPG53.65 КБ
Иконка изображения 108.K.F..JPG64.06 КБ
Иконка изображения 109.K.F..JPG59.68 КБ
tatyana аватар
Не на сайте
Был на сайте: 4 года 4 месяцев назад
Зарегистрирован: 24.06.2009 - 08:33
Публикации: 2090

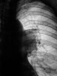
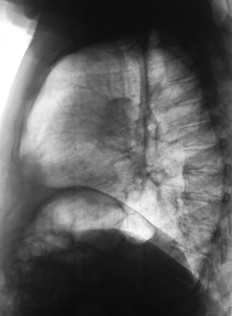
Сами знаете, Валентин Львович, к онкологам (картина периферичевого рака в/доли слева)... Кроме того, под подозрением л/узлы в правом корне и средостенье (КТ). Справа, думаю, старые переломы ребер...

"самоуверенность дилетантов - предмет зависти профессионалов"

Катенёв Валентин Львович аватар
Не на сайте
Был на сайте: 7 лет 3 месяцев назад
Зарегистрирован: 22.03.2008 - 22:15
Публикации: 54876

О ребрах речь не идёт - консолидированные переломы.

tatyana аватар
Не на сайте
Был на сайте: 4 года 4 месяцев назад
Зарегистрирован: 24.06.2009 - 08:33
Публикации: 2090

это я прокомментировала отдельно представленный фрагмент - рис. 102

"самоуверенность дилетантов - предмет зависти профессионалов"

Катенёв Валентин Львович аватар
Не на сайте
Был на сайте: 7 лет 3 месяцев назад
Зарегистрирован: 22.03.2008 - 22:15
Публикации: 54876

Этот фрагмент представил специально, дабы исключить возможность трактовать данную скиалогию, как паракостальный осумкованный выпот.

Анатолий Владимирович Шумаков аватар
Не на сайте
Был на сайте: 8 лет 3 недели назад
Зарегистрирован: 16.10.2009 - 21:16
Публикации: 1941

Не исключено, что все изменения, которые видны в средостениии и левом корне - метастазы. Где первичная пока не ясно. Парез левого френикуса?

Катенёв Валентин Львович аватар
Не на сайте
Был на сайте: 7 лет 3 месяцев назад
Зарегистрирован: 22.03.2008 - 22:15
Публикации: 54876

Согласен с Вами. Высоковат купол диафрагмы слева.