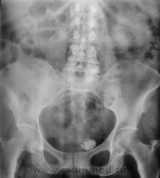
Пациентка направлена на ирригоскопию.

Пол пациента: 
Тип патологии: 
Область исследования: 
Методы исследования: 

Пациентка направлена на ирригоскопию из областного учреждения (ООД).

Обзорно.

  • https://radiomed.ru/sites/default/files/styles/case_slider_image/public/user/12/32..IRR_..jpg?itok=IYuntHQO
  • https://radiomed.ru/sites/default/files/styles/case_slider_image/public/user/12/33..IRR_..JPG?itok=tpt-veWv
  • https://radiomed.ru/sites/default/files/styles/case_slider_image/public/user/12/34..IRR_..jpg?itok=NIH2lBBo
  • https://radiomed.ru/sites/default/files/styles/case_slider_image/public/user/12/35..IRR_..JPG?itok=vt0GeMNT
  • https://radiomed.ru/sites/default/files/styles/case_slider_image/public/user/12/36..IRR_..jpg?itok=BKYAVXtd
ID:1669
rentgengb1 аватар
Не на сайте
Был на сайте: 12 лет 1 неделя назад
Зарегистрирован: 13.02.2009 - 23:02
Публикации: 290

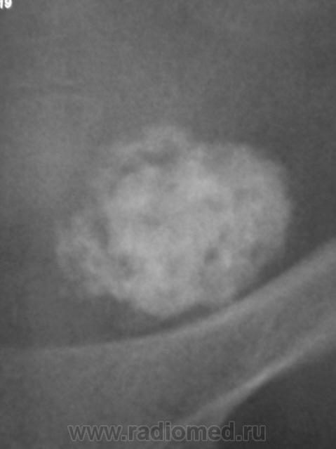
Судя по костям пациентка в возрасте, думаю кальцификация миоматозного узла.

Катенёв Валентин Львович аватар
Не на сайте
Был на сайте: 7 лет 1 месяц назад
Зарегистрирован: 22.03.2008 - 22:15
Публикации: 54876

Подготовка к исследованию, как и в большинстве случаев (хирургическое отделение) неудовлетворительная.

 

Приложения: 
37..IRR_..jpg38..IRR_..jpg39..IRR_..jpg71..IRR_..jpg72..IRR_..JPG73..IRR_..JPG
Катенёв Валентин Львович аватар
Не на сайте
Был на сайте: 7 лет 1 месяц назад
Зарегистрирован: 22.03.2008 - 22:15
Публикации: 54876

Фрагменты рентгенограмм.

 

Приложения: 
101..IRR_.jpg102..IRR_..jpg103..IRR_..jpg104..IRR_..jpg106..IRR_..jpg107..IRR_..jpg108..IRR_..jpg
Катенёв Валентин Львович аватар
Не на сайте
Был на сайте: 7 лет 1 месяц назад
Зарегистрирован: 22.03.2008 - 22:15
Публикации: 54876

После опорожнения.

 

Приложения: 
1..P.O..JPG2..P.O..jpg3..P.O..jpg4..P.O..jpg5..P.O..jpg
tatyana аватар
Не на сайте
Был на сайте: 4 года 2 месяцев назад
Зарегистрирован: 24.06.2009 - 08:33
Публикации: 2090

рак средне- и верхнеампулярного отделов прямой кишки; диверикулез сигмовидной кишки; миома матки

"самоуверенность дилетантов - предмет зависти профессионалов"

stovbav аватар
Не на сайте
Был на сайте: 2 года 2 месяцев назад
Зарегистрирован: 20.12.2009 - 17:28
Публикации: 7066

1.Готовьте на фортрансе...или эндофальке-проблем не будет.

2. Дивертикулез, хр.колит - дело десятое, не вчерашнее;

3. Рак задней стенки ректосигмоидной зоны - весьма актуален, необходима RRS с биопсией;

4. исследование после опорожнения - явно лишнее, как по мне;

5.двойного контрастирования нет...увы.

6. использование обтуратора и первичное двойное контрастирование упростило бы бы как техническую, так и диагностическую стороны процесса.

7. обызествленный узел матки стар как мир...

Вывод-что и как бы мы уже не говорили - диагноз на ладоне, вернее - на "сигме"....в онкодиспансер....

Катенёв Валентин Львович аватар
Не на сайте
Был на сайте: 7 лет 1 месяц назад
Зарегистрирован: 22.03.2008 - 22:15
Публикации: 54876

Пациентка направлена на ирригоскопию из областного учреждения (ООД)

Здравствуйте Виктор Григорьевич! 

Её, на исследование (ирригоскопию) направили оттуда, куда Вы, её последним пунктом предлагаете направить.

tatyana аватар
Не на сайте
Был на сайте: 4 года 2 месяцев назад
Зарегистрирован: 24.06.2009 - 08:33
Публикации: 2090

В ООД аппарат Боброва сломался?

"самоуверенность дилетантов - предмет зависти профессионалов"

Катенёв Валентин Львович аватар
Не на сайте
Был на сайте: 7 лет 1 месяц назад
Зарегистрирован: 22.03.2008 - 22:15
Публикации: 54876

У нас такой ООД. Даже пациенток, находящихся на "Д" учете по молочной железе посылают снимки делать по месту жительства, хотя если у нас скрининг, то наше дело, только заподозрить, тем более, что в районе нет ни маммолога, ни онколога.

v1tal аватар
Не на сайте
Был на сайте: 4 года 9 месяцев назад
Зарегистрирован: 07.06.2008 - 19:41
Публикации: 1779

 Согласен с Виктор Григорьевичем по поводу фортранса, всё же мы подписываемся под своим протоколом описания, а пациента как правило каждого 3го не могут адекватно подготовить, некоторые пациенты даже в амбулаторных условиях прекрасно подготовлены, не говоря уже об анатомических особенностей толстого кишечника(мегаколон, долихосигма) в сравнении со стационарными.

"Знаешь, у некоторых врачей есть комплекс мессии — им необходимо спасать мир. А у тебя комплекс Рубика — тебе необходимо решать головоломки."

Игорь Иванович аватар
Не на сайте
Был на сайте: 3 года 10 месяцев назад
Зарегистрирован: 23.01.2010 - 14:56
Публикации: 3695

Не люблю читать всякие приказы и т.д., поэтому не уверен в том, что скажу. Но меня учили старшие товарищи в свое время, что ирригоскопия только после RRS. Ведь даже больших размеров опухоль в ампуле можно потопить в барие, а маленькую - тем более.

stovbav аватар
Не на сайте
Был на сайте: 2 года 2 месяцев назад
Зарегистрирован: 20.12.2009 - 17:28
Публикации: 7066

Игорь Иванович wrote:

Не люблю читать всякие приказы и т.д., поэтому не уверен в том, что скажу. Но меня учили старшие товарищи в свое время, что ирригоскопия только после RRS. Ведь даже больших размеров опухоль в ампуле можно потопить в барие, а маленькую - тем более.

Игорь Иванович, тут я с Вами согласен на все 100%, сейчас у нас в клинике стараемся либо сделать эти два исследования в один день (RRS-после нее ирригоскопия), либо ирриго на второй день...оба дня - на фортрансе - эффект изумительный...поверьте....лишь бы противопоказаний небыло.

Юрич аватар
Не на сайте
Был на сайте: 6 лет 5 месяцев назад
Зарегистрирован: 17.01.2010 - 09:55
Публикации: 351

тоже был случай. дефекты наполнения, деформация прямой кишки - ну изумительная картина рака. написал и отправил к онкологу. потом произвели сигмойдоскопию - норма, у меня на контрольном - тоже норма... теперь очень осторожен с выводами. подготовка - это очень многое!

DR.RAD аватар
Не на сайте
Был на сайте: 11 лет 9 месяцев назад
Зарегистрирован: 25.03.2009 - 18:22
Публикации: 805

обызвествленный миоамтозный узел

Приложения: 
DSC02532.JPG
DR.RAD аватар
Не на сайте
Был на сайте: 11 лет 9 месяцев назад
Зарегистрирован: 25.03.2009 - 18:22
Публикации: 805

вот еще один.

Приложения: 
DSC02516.JPG
Катенёв Валентин Львович аватар
Не на сайте
Был на сайте: 7 лет 1 месяц назад
Зарегистрирован: 22.03.2008 - 22:15
Публикации: 54876

Спасибо!

Ваши изображения "заберу" в соответствующие наборы.

DR.RAD аватар
Не на сайте
Был на сайте: 11 лет 9 месяцев назад
Зарегистрирован: 25.03.2009 - 18:22
Публикации: 805

у всех трех случаев очень похож характер обызвествления.