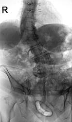
Пол пациента: Женский пол Тип патологии: Другое Область исследования: Скелетно-мышечная система Методы исследования: Rg Пациентка направлена на рентгенографию поясничного отдела позвоночника https://radiomed.ru/sites/default/files/styles/case_slider_image/public/user/12/12.dscn0543.jpg?itok=V2fO2NUt https://radiomed.ru/sites/default/files/styles/case_slider_image/public/user/12/13.dscn0544.jpg?itok=FhzKAe6g ID:24468 Ср, 14/11/2012 - 21:52 #1 Светлана Васильченко Не на сайте Был на сайте: 12 лет 8 месяцев назад Зарегистрирован: 17.01.2011 - 21:54 Публикации: 91 Интересно была ли пластика мышц тазового дна? Ср, 14/11/2012 - 21:53 #2 Катенёв Валенти... Не на сайте Был на сайте: 7 лет 2 недели назад Зарегистрирован: 22.03.2008 - 22:15 Публикации: 54876 Светлана Васильченко wrote: Интересно была ли пластика мышц тазового дна? Пластика чем? Ср, 14/11/2012 - 21:55 #3 Mila85 Не на сайте Был на сайте: 3 года 1 месяц назад Зарегистрирован: 15.03.2012 - 16:59 Публикации: 1790 В малом тазу гинекологически пессарий (вроде так пишется??), только слишком низко кажется. Сколиоз где-то 3-4 степени. Ср, 14/11/2012 - 21:57 #4 Светлана Васильченко Не на сайте Был на сайте: 12 лет 8 месяцев назад Зарегистрирован: 17.01.2011 - 21:54 Публикации: 91 По студенчеству видела разные кольца и незнаю как называются штуки в виде компактдиска. Ср, 14/11/2012 - 22:10 #5 Катенёв Валенти... Не на сайте Был на сайте: 7 лет 2 недели назад Зарегистрирован: 22.03.2008 - 22:15 Публикации: 54876 Mila85 wrote: В малом тазу гинекологически пессарий (вроде так пишется??), только слишком низко кажется. Сколиоз где-то 3-4 степени. Вы правы уважаемая коллега. Ср, 14/11/2012 - 22:42 #6 И.Бондаренко Не на сайте Был на сайте: 3 дня 19 часов назад Зарегистрирован: 13.09.2011 - 22:55 Публикации: 9206 Это новое противозачаточное средство? Ср, 14/11/2012 - 22:45 #7 Катенёв Валенти... Не на сайте Был на сайте: 7 лет 2 недели назад Зарегистрирован: 22.03.2008 - 22:15 Публикации: 54876 Нет это старое, и не противозачаточное средство, при выпадениях влагалища давно используется.
Интересно была ли пластика мышц тазового дна?
Пластика чем?
В малом тазу гинекологически пессарий (вроде так пишется??), только слишком низко кажется. Сколиоз где-то 3-4 степени.
По студенчеству видела разные кольца и незнаю как называются штуки в виде компактдиска.
Вы правы уважаемая коллега.
Это новое противозачаточное средство?
Нет это старое, и не противозачаточное средство, при выпадениях влагалища давно используется.