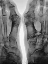
Пациентка направлена на рентгенографию стоп в прямой проекции с диагнохом - "Поперечное плоскостопие"

Пол пациента: 
Тип патологии: 
Область исследования: 
Методы исследования: 

Пациентка направлена на рентгенографию стоп в прямой проекции с диагнохом - "Поперечное плоскостопие".

Произведена рентгенография обеих стоп в прямой проекции.

  • https://radiomed.ru/sites/default/files/styles/case_slider_image/public/user/12/2.PP_.P4260007a.jpg?itok=T7kKPPuh
  • https://radiomed.ru/sites/default/files/styles/case_slider_image/public/user/12/3.PP_.P4260007-1.jpg?itok=kNKmb9mf
  • https://radiomed.ru/sites/default/files/styles/case_slider_image/public/user/12/4.PP_.P4260007-1a.jpg?itok=N9QuUT4Y
  • https://radiomed.ru/sites/default/files/styles/case_slider_image/public/user/12/5.PP_.P4260007-2.jpg?itok=fkYLF2Q-
  • https://radiomed.ru/sites/default/files/styles/case_slider_image/public/user/12/6.PP_.P4260007-2b.jpg?itok=6B8R4DKB
ID:3449
Анатолий Владимирович Шумаков аватар
Не на сайте
Был на сайте: 7 лет 10 месяцев назад
Зарегистрирован: 16.10.2009 - 21:16
Публикации: 1941

Здравствуйте Валентин Львович!

Думаю, что это дисхондроплазия - болезнь Олье.

Катенёв Валентин Львович аватар
Не на сайте
Был на сайте: 7 лет 2 недели назад
Зарегистрирован: 22.03.2008 - 22:15
Публикации: 54876

Здравствуйте Анатолий Владимирович!

Спасибо за коммент.

tatyana аватар
Не на сайте
Был на сайте: 4 года 1 месяц назад
Зарегистрирован: 24.06.2009 - 08:33
Публикации: 2090

Сильно сомневаюсь в болезни Олье - затронуты только суставные концы, диафизы интактны. Считаю - остеоартропатия, вероятнее всего - подагра

"самоуверенность дилетантов - предмет зависти профессионалов"

DR.RAD аватар
Не на сайте
Был на сайте: 11 лет 8 месяцев назад
Зарегистрирован: 25.03.2009 - 18:22
Публикации: 805

мне тоже почему то о подагре сразу подумалось)))))а что в анализах?

Анатолий Владимирович Шумаков аватар
Не на сайте
Был на сайте: 7 лет 10 месяцев назад
Зарегистрирован: 16.10.2009 - 21:16
Публикации: 1941

Классика подагры - наличие тофусов в параартикулярных мягких тканях... Механизм поражения скелета при подагре - атрофия от давления тофусами. А здесь - их совершенно не видно, мягкие ткани просто отодвинуты, но обьем то их - нормальный...

stovbav аватар
Не на сайте
Был на сайте: 2 года 2 месяцев назад
Зарегистрирован: 20.12.2009 - 17:28
Публикации: 7066

Согласен с артропатией, но подагра - сомнительно....

Поскольку артропатий великое множество....почему бы и не псориатическая...к примеру. Как там с анамнезом?

"Тяжелое течение псориатического артрита может быть вызвано отсутствием кожных изменений, в то время как артрит средней степени тяжести протекает при умеренном или тяжелом кожном псориазе.
Суставной синдром развивается в среднем через 3-5 лет после появления кожных признаков псориаза, реже возникает одновременно с псориатическими высыпаниями или предшествует им, в последнем случае усложняя раннее установление правильного диагноза"

DR.RAD аватар
Не на сайте
Был на сайте: 11 лет 8 месяцев назад
Зарегистрирован: 25.03.2009 - 18:22
Публикации: 805

так как мнения разделились хотелось бы все таки узнать, что же это за патологияВ нерешительностиа какой возраст у пациентки?

Катенёв Валентин Львович аватар
Не на сайте
Был на сайте: 7 лет 2 недели назад
Зарегистрирован: 22.03.2008 - 22:15
Публикации: 54876

Пациентка весьма преклонного возраста - за 70 лет.