Паравазат.

Пол пациента: 
Область исследования: 
Методы исследования: 

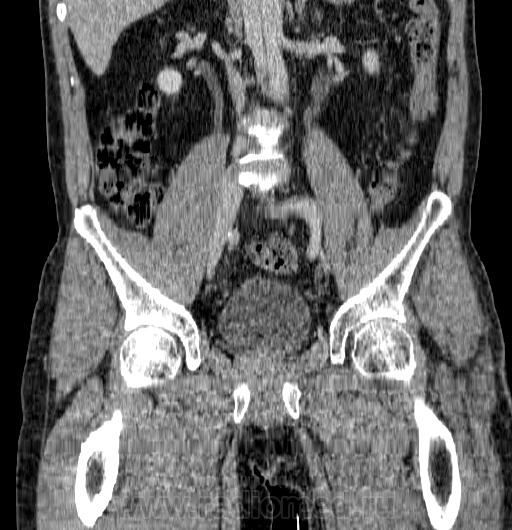
Подскажите коллеги! Больной находится на лечении в х/отд , оперирован в 10 году АБШ справа, н/к 2Б, паравазальный инфильтрат правой паховой области, неспецифический аортоартериит. Окклюзия п/вздошных артерий с обеих сторон, ампутационная культя левой конечности. Что Вы сможете сказать по проведенному исследованию- проводили по протоколу бр полости с захватом паховой области. На Протоколе сосудов таза исследование не получилось. Хирург запросил уточнить характер инфильтрата и состояние п/вздошн и бедренных артерий.

  • https://radiomed.ru/sites/default/files/styles/case_slider_image/public/user/16789/img-0002-00001_3.jpg?itok=WXnqfFt2
  • https://radiomed.ru/sites/default/files/styles/case_slider_image/public/user/16789/img-0003-00001_3.jpg?itok=2EHHHfyU
  • https://radiomed.ru/sites/default/files/styles/case_slider_image/public/user/16789/img-0004-00001_3.jpg?itok=FI_-Ggox
  • https://radiomed.ru/sites/default/files/styles/case_slider_image/public/user/16789/img-0005-00001_3.jpg?itok=GzUnosAB
  • https://radiomed.ru/sites/default/files/styles/case_slider_image/public/user/16789/img-0001-00001_4.jpg?itok=VCnVO4t8
  • https://radiomed.ru/sites/default/files/styles/case_slider_image/public/user/16789/img-0002-00001_4.jpg?itok=jGCCUE15
  • https://radiomed.ru/sites/default/files/styles/case_slider_image/public/user/16789/img-0003-00001_4.jpg?itok=jKbvQry1
  • https://radiomed.ru/sites/default/files/styles/case_slider_image/public/user/16789/img-0004-00001_4.jpg?itok=1gY369vU
  • https://radiomed.ru/sites/default/files/styles/case_slider_image/public/user/16789/img-0005-00001_4.jpg?itok=HshHJTJs
  • https://radiomed.ru/sites/default/files/styles/case_slider_image/public/user/16789/img-0007-00001_3.jpg?itok=0ARcAqAl
  • https://radiomed.ru/sites/default/files/styles/case_slider_image/public/user/16789/img-0009-00001_1.jpg?itok=q_fgW2g4
ID:25408
НАДЕЖДА ЮРЬЕВНА аватар
Не на сайте
Был на сайте: 7 лет 1 месяц назад
Зарегистрирован: 30.07.2012 - 13:14
Публикации: 360

http://files.mail.ru/C9U49C - Дайкомы.

алкс аватар
Не на сайте
Был на сайте: 10 лет 2 месяцев назад
Зарегистрирован: 24.10.2012 - 22:55
Публикации: 2915

200 метров скачки? Аксиалы верхние положьте, плиз.

Андрей Юрьевич аватар
Не на сайте
Был на сайте: 1 месяц 14 часов назад
Зарегистрирован: 16.11.2008 - 22:16
Публикации: 18101

Сосуды смотрю не часто, поэтому, чем смогу... Поздние нагноения являются третьей причиной поздних осложнений после операций на аорте и сосудах нижних конечностей, так что, на мой взгляд, можно писать абсцесс в правой паховой области и расценить как нагноение протяженный инфильтрат и  скопление жидкости  вокруг шунта справа. Слева - окклюзия от уровня наружной подвздошной артерии. Интрамуральные гематомы/тромбы в области бифуркации аорты, расслоение брюшной аорты (может и выше, но область исследования ограничена).
Кроме того - крупный конкремент в лоханке левой почки, каликулопиелоэктазия слева. Вот как-то так.

Андрей Юрьевич

Nela аватар
Не на сайте
Был на сайте: 6 лет 3 месяцев назад
Зарегистрирован: 12.05.2009 - 20:43
Публикации: 1847

На мой взгляд, против абсцесса отсутствие накопления контраста. Жидкостная плотность видна только в паховой области, там тоже накопления контраста нет. Вероятно была гематома, теперь ее остатки. Ну и на клинику надо ориентироваться, конечно.

Протокол не на сосуды. Надо было взять на аорту и подвздошные артерии.

НАДЕЖДА ЮРЬЕВНА аватар
Не на сайте
Был на сайте: 7 лет 1 месяц назад
Зарегистрирован: 30.07.2012 - 13:14
Публикации: 360

Спасибо откликнувшимся. Аксиалы верхние...

Приложения: 
img-0001-00001.jpgimg-0002-00001.jpgimg-0003-00001.jpgimg-0004-00001.jpgimg-0005-00001.jpgimg-0006-00001.jpgimg-0007-00001.jpgimg-0008-00001.jpgimg-0009-00001.jpgimg-0010-00001.jpgimg-0011-00001.jpgimg-0012-00001.jpgimg-0013-00001.jpg
НАДЕЖДА ЮРЬЕВНА аватар
Не на сайте
Был на сайте: 7 лет 1 месяц назад
Зарегистрирован: 30.07.2012 - 13:14
Публикации: 360

Аксиалы еще несколько.

Приложения: 
img-0014-00001.jpgimg-0015-00001.jpgimg-0016-00001.jpgimg-0017-00001.jpgimg-0018-00001.jpgimg-0019-00001.jpgimg-0020-00001.jpgimg-0021-00001.jpgimg-0022-00001.jpgimg-0023-00001.jpgimg-0024-00001.jpgimg-0025-00001.jpg
ДмитрийД аватар
Не на сайте
Был на сайте: 7 месяцев 3 недели назад
Зарегистрирован: 07.10.2011 - 16:38
Публикации: 768

Расслаивающая аневризма аорты. Окклюзия наружной подвздошной артерии. Коллатеральный кровоток в левую нижнюю конечность через систему внутренней подвздошной артерии.

ЛГ аватар
Не на сайте
Был на сайте: 9 лет 4 недели назад
Зарегистрирован: 06.01.2010 - 12:31
Публикации: 3523

Только по дайкомам разобралась, где шунт). Даже с учетом погрешности замера плотности, стенка того, на что я думаю как на хронический абсцесс, копит, хоть и очень слабо. Думаю, что в "выше расположенном" сосудистом центре, куда пациента наверняка отправят консультироваться, должны быть архивные данные для сравнения: что раньше было, была ли аневризма, уровень окклюзии и прочее.

Приложения: 
hr1.jpghr2.jpg30209090.jpg3020909_1.jpg3020909_2.jpg3020909_3.jpg