Периферический "хамелеон"

Пол пациента: 
Тип патологии: 
Методы исследования: 

Очередной профосмотр.

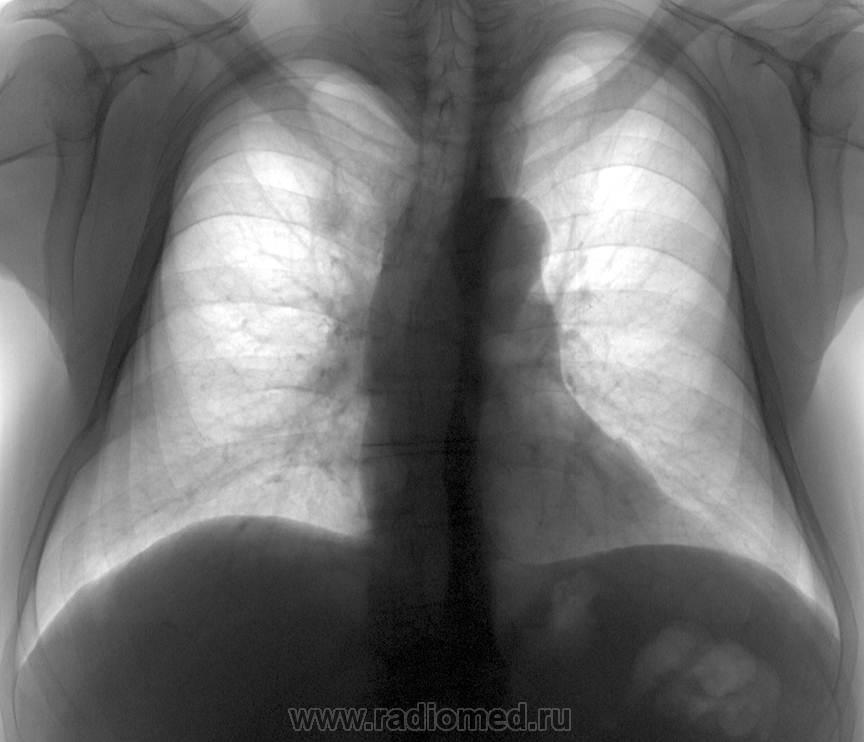
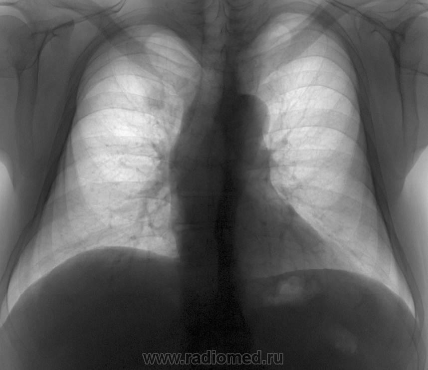
Вспомнил вчерашее наблюдение Юлии Игоревны. По прямому весьма похоже, но....

Выкладываю и архив за два предыдущих года. Ваше мнение?

  

 

  • https://radiomed.ru/sites/default/files/styles/case_slider_image/public/user/2667/2010p_1.jpg?itok=JACYSWNa
  • https://radiomed.ru/sites/default/files/styles/case_slider_image/public/user/2667/2010b_0.jpg?itok=7d8piyVg
  • https://radiomed.ru/sites/default/files/styles/case_slider_image/public/user/2667/2011p_1.jpg?itok=ybTjJpDp
  • https://radiomed.ru/sites/default/files/styles/case_slider_image/public/user/2667/2011zn_0.jpg?itok=LXEBCRvH
ID:12858
Zorg аватар
Не на сайте
Был на сайте: 14 лет 7 месяцев назад
Зарегистрирован: 14.03.2011 - 23:13
Публикации: 61

На ребре?

stovbav аватар
Не на сайте
Был на сайте: 2 года 2 месяцев назад
Зарегистрирован: 20.12.2009 - 17:28
Публикации: 7066

Zorg wrote:

На ребре?

На нем, родимом, да еще и в сторону грудной полости преимущественно...вот и весь периферический рак....

Катенёв Валентин Львович аватар
Не на сайте
Был на сайте: 7 лет 3 недели назад
Зарегистрирован: 22.03.2008 - 22:15
Публикации: 54876

А, ведь такая "хрень" довольно часто встречается

Евгений1313 аватар
Не на сайте
Был на сайте: 13 лет 2 недели назад
Зарегистрирован: 15.10.2010 - 19:13
Публикации: 808

Ничего не вижу.....

stovbav аватар
Не на сайте
Был на сайте: 2 года 2 месяцев назад
Зарегистрирован: 20.12.2009 - 17:28
Публикации: 7066

Катенёв Валентин Львович wrote:

А, ведь такая "хрень" довольно часто встречается

Само по себе обызествление 1-го реберного хряща встречается конечно часто, каждый день и помногу...но ведь здесь - остеома....или я не прав?

Катенёв Валентин Львович аватар
Не на сайте
Был на сайте: 7 лет 3 недели назад
Зарегистрирован: 22.03.2008 - 22:15
Публикации: 54876

stovbav wrote:

Катенёв Валентин Львович wrote:

А, ведь такая "хрень" довольно часто встречается

Само по себе обызествление 1-го реберного хряща встречается конечно часто, каждый день и помногу...но ведь здесь - остеома....или я не прав?

, которая видна на боковой рентгенограмме...

stovbav аватар
Не на сайте
Был на сайте: 2 года 2 месяцев назад
Зарегистрирован: 20.12.2009 - 17:28
Публикации: 7066

Катенёв Валентин Львович]</p> <p>[quote=stovbav wrote:

.....которая видна на боковой рентгенограмме...

Вы абсолютно правы, в боковой (и задне-наклонной)...даже как бы двойной контур, причем второй менее интенсивный и нечеткий, так что может, что и остеохондрома.

Андрей Юрьевич аватар
Не на сайте
Был на сайте: 1 неделя 5 дней назад
Зарегистрирован: 16.11.2008 - 22:16
Публикации: 18098

stovbav]</p> <p>[quote=Катенёв Валентин Львович wrote:

stovbav wrote:

.....которая видна на боковой рентгенограмме...

Вы абсолютно правы, в боковой (и задне-наклонной)...даже как бы двойной контур, причем второй менее интенсивный и нечеткий, так что может, что и остеохондрома.

Скорее всего все-таки обызвествление/остеофиты, коллеги. Они могут быть очень массивными, часто видны на КТ.

Андрей Юрьевич

Vikkur аватар
Не на сайте
Был на сайте: 4 года 8 месяцев назад
Зарегистрирован: 24.09.2009 - 14:34
Публикации: 1749

Показательный случай..

Виктор.

stovbav аватар
Не на сайте
Был на сайте: 2 года 2 месяцев назад
Зарегистрирован: 20.12.2009 - 17:28
Публикации: 7066

Андрей Юрьевич wrote:

Скорее всего все-таки обызвествление/остеофиты, коллеги. Они могут быть очень массивными, часто видны на КТ.

Андрей Юрьевич, мне всегда важно ваше мнение.

Может что Вы и правы, просто смущает односторонность, размеры, контуры и направление роста, что в целом выходит за рамки просто обызествления. Хотя, должен согласиться, форма и размеры могут быть вариабельными.

Случай представлен больше в дифференциальном плане, учитывая схожесть в прямой проекции и одностороность.

Бородулин М.А. аватар
Не на сайте
Был на сайте: 9 месяцев 3 недели назад
Зарегистрирован: 17.02.2011 - 01:10
Публикации: 1409

Попробую дополнить. Женщина. Узловой зоб.

Приложения: 
kuz_25532_1.jpgkuz_25533_1.jpgkuz_25596_1.jpgkuz_25600_1.jpgkuz_25601_1.jpgkuz_25606_1.jpg
stovbav аватар
Не на сайте
Был на сайте: 2 года 2 месяцев назад
Зарегистрирован: 20.12.2009 - 17:28
Публикации: 7066

Очень показательное дополнение. Спасибо.