Пневмония ?

Пол пациента: 
Тип патологии: 
Методы исследования: 

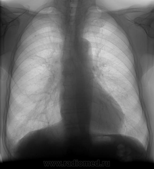
Мужчина с жалобами на кашель с вязкой мокротой, подъем температуры около недели (сколько в карте написано не было). Терапевт аускультативно слышит ослабленное дыхание в нижних отделах справа, сухие хрипы.Я хочу поставить сегментарную пневмонию в S9 справа, реактивный правый корень, но есть сомнения все ли так просто...смущает сгущение легочного рисунка во 2 межреберье справа...и что-то над левой половиной купола диафрагмы, или мне кажется? Помогите, что не вижу...

  • https://radiomed.ru/sites/default/files/styles/case_slider_image/public/user/6151/67743_0.jpg?itok=6ld9CjZD
  • https://radiomed.ru/sites/default/files/styles/case_slider_image/public/user/6151/67744_0.jpg?itok=2er-hVJB
ID:7428
poly аватар
Не на сайте
Был на сайте: 10 лет 6 дней назад
Зарегистрирован: 10.09.2010 - 17:09
Публикации: 84

мужчина 30 года рождения.

sema аватар
Не на сайте
Был на сайте: 10 лет 4 месяцев назад
Зарегистрирован: 05.09.2010 - 08:39
Публикации: 233

Мне кажется спокойно писать н. долевую пневмонию справа, а на контрольном снимке уточните.

dok-a аватар
Не на сайте
Был на сайте: 9 месяцев 3 дня назад
Зарегистрирован: 14.02.2009 - 19:31
Публикации: 623

Картина вполне соответствует пневмонии базальных сегментов нижней доли правого лёгкого.

Makcimalist аватар
Не на сайте
Был на сайте: 11 лет 8 месяцев назад
Зарегистрирован: 08.05.2010 - 14:28
Публикации: 1994

poly wrote:

...Я хочу поставить сегментарную пневмонию в S9 справа...

 и я бы поставил в S9 (+S10) справа. Подмигиваю В остальном - спокойно!

--------------

"Просто, по видимости, не видеть логики в очевидных вещах - это тоже одно из свойств некоторых умов, наряду с грустными думами о свойствах ума других."  © Vega 08/10/2011

Helios аватар
Не на сайте
Был на сайте: 7 месяцев 2 недели назад
Зарегистрирован: 06.08.2010 - 15:16
Публикации: 4417

Пока "рабочее" заключение-пневмония в вышеуказанном 9 сегменте, потом контроль.

Андрей Юрьевич аватар
Не на сайте
Был на сайте: 1 день 33 минуты назад
Зарегистрирован: 16.11.2008 - 22:16
Публикации: 18098

При контроле, присмотритесь к головке правого корня, да и вообще к верхней доле, на которую Вы и так обратили внимание. Если есть возможность, сделайте томографию. Так центральный рак верхней доли может проявляться.

Андрей Юрьевич

Катенёв Валентин Львович аватар
Не на сайте
Был на сайте: 7 лет 2 недели назад
Зарегистрирован: 22.03.2008 - 22:15
Публикации: 54876

Андрей Юрьевич wrote:
При контроле, присмотритесь к головке правого корня, да и вообще к верхней доле, на которую Вы и так обратили внимание. Если есть возможность, сделайте томографию. Так центральный рак верхней доли может проявляться.

Обработал снимки с "фанатизмом".

 

Приложения: 
11.67742_0.jpg12.67742_0a.jpg13.67742_0ab.jpg14.67743_0.jpg16.67743_0a.jpg17.67743_0ab.jpg
poly аватар
Не на сайте
Был на сайте: 10 лет 6 дней назад
Зарегистрирован: 10.09.2010 - 17:09
Публикации: 84

Валентин Львович, в какой программе снимки обрабатываете?

poly аватар
Не на сайте
Был на сайте: 10 лет 6 дней назад
Зарегистрирован: 10.09.2010 - 17:09
Публикации: 84

Андрей Юрьевич wrote:
При контроле, присмотритесь к головке правого корня, да и вообще к верхней доле, на которую Вы и так обратили внимание. Если есть возможность, сделайте томографию. Так центральный рак верхней доли может проявляться.

Вот об этом и подумываю...томографии к сожалению пока нет, поэтому поводу страдаю=(

Катенёв Валентин Львович аватар
Не на сайте
Был на сайте: 7 лет 2 недели назад
Зарегистрирован: 22.03.2008 - 22:15
Публикации: 54876

poly wrote:

Валентин Львович, в какой программе снимки обрабатываете?

В программе "Олимпуса".

Андрей Юрьевич аватар
Не на сайте
Был на сайте: 1 день 33 минуты назад
Зарегистрирован: 16.11.2008 - 22:16
Публикации: 18098

poly wrote:

...томографии к сожалению пока нет, поэтому поводу страдаю=(

Томографию, я имел в виду, линейную. Если ее тоже не делаете, тогда полноценные/крупноформатные снимки.

Андрей Юрьевич

poly аватар
Не на сайте
Был на сайте: 10 лет 6 дней назад
Зарегистрирован: 10.09.2010 - 17:09
Публикации: 84

Андрей Юрьевич wrote:

poly wrote:

...томографии к сожалению пока нет, поэтому поводу страдаю=(

Томографию, я имел в виду, линейную. Если ее тоже не делаете, тогда полноценные/крупноформатные снимки.

а я и имел виду линейную, пока нет обещают новую установку поставить, пока РУМ-20...ели скопии на нем делаю, учился на современной техники, а теперь переучиваюсь на старье...у нас зато цифровая флюрография - красота=)

poly аватар
Не на сайте
Был на сайте: 10 лет 6 дней назад
Зарегистрирован: 10.09.2010 - 17:09
Публикации: 84

Катенёв Валентин Львович wrote:

poly wrote:

Валентин Львович, в какой программе снимки обрабатываете?

В программе "Олимпуса".

ясненько, ну думаю фотошоп, такими же функциями обладает...правда я переписываю флюрограммы на диск в программе DICOM т.е на своем рабочем месте дома, я могу просматривать их в этой программе, удобно...

Катенёв Валентин Львович аватар
Не на сайте
Был на сайте: 7 лет 2 недели назад
Зарегистрирован: 22.03.2008 - 22:15
Публикации: 54876

Я часто для таких целей пользуюсь и Дикомом.

Андрей Юрьевич аватар
Не на сайте
Был на сайте: 1 день 33 минуты назад
Зарегистрирован: 16.11.2008 - 22:16
Публикации: 18098

poly wrote:

пока РУМ-20...ели скопии на нем делаю, учился на современной техники, а теперь переучиваюсь на старье...

Знакомо. При переходе в практическое здравоохранение, в 80-м, пришлось переучиваться с Филлипсов-Симменсов с ЭОПами, на РУМы-10 без ЭОПов.

Тем более остается в силе рекомендация по стандартным рентгенограммам. Поверьте, хороший снимок дает дополнительную к цифре информацию.

Андрей Юрьевич