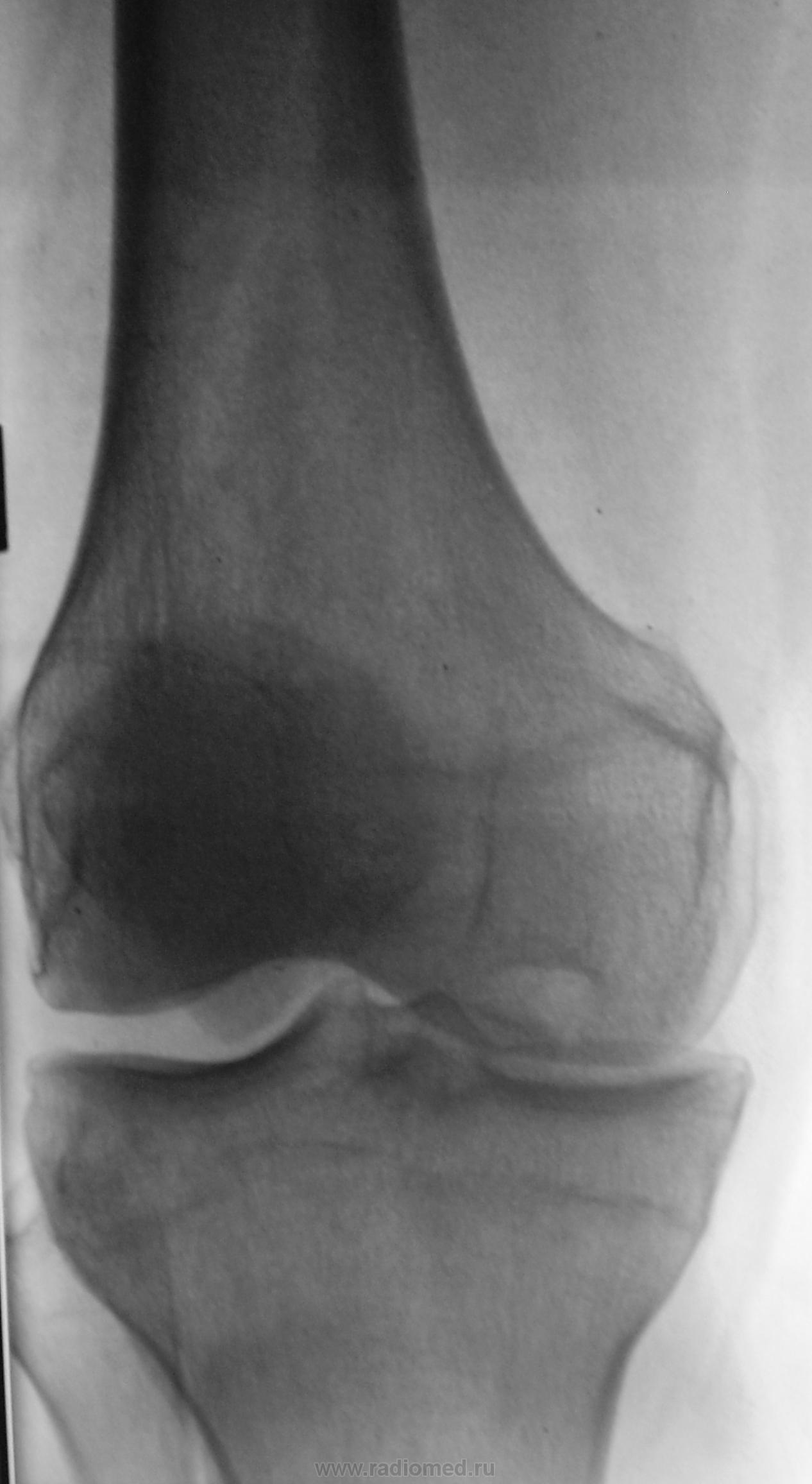
По поводу постоянных болей в коленном суставе пациент направлен на рентгенографию коленного сустава.

Пол пациента: 
Тип патологии: 
Область исследования: 
Методы исследования: 

По поводу постоянных болей в коленном суставе пациент направлен на рентгенографию коленного сустава.

  • https://radiomed.ru/sites/default/files/styles/case_slider_image/public/user/12/2.pc020012.jpg?itok=3nwrhL3C
  • https://radiomed.ru/sites/default/files/styles/case_slider_image/public/user/12/3.pc020013.jpg?itok=V-QqxaCj
  • https://radiomed.ru/sites/default/files/styles/case_slider_image/public/user/12/4.pc020013a.jpg?itok=plpPyryv
  • https://radiomed.ru/sites/default/files/styles/case_slider_image/public/user/12/5.pc020014.jpg?itok=cvqTyEVC
  • https://radiomed.ru/sites/default/files/styles/case_slider_image/public/user/12/6.pc020015.jpg?itok=uFfF9Cc7
  • https://radiomed.ru/sites/default/files/styles/case_slider_image/public/user/12/7.pc020015a.jpg?itok=cY3shj9m
ID:17227
Helios аватар
Не на сайте
Был на сайте: 8 месяцев 2 недели назад
Зарегистрирован: 06.08.2010 - 15:16
Публикации: 4417

Практически "мой" случай, только мыщелок медиальный и гонартроз к 3-ей стадии приближается.

Катенёв Валентин Львович аватар
Не на сайте
Был на сайте: 7 лет 1 месяц назад
Зарегистрирован: 22.03.2008 - 22:15
Публикации: 54876

Согласен. Хорошая вещь "сиар"... На пленке гораздо хуже было бы видно.

Helios аватар
Не на сайте
Был на сайте: 8 месяцев 2 недели назад
Зарегистрирован: 06.08.2010 - 15:16
Публикации: 4417

Да, мы не имеем такой "чудо-штуки", поэтому ,наверное, и пропускаем подобную патологию гораздо чаще.

Александр Викторович аватар
Не на сайте
Был на сайте: 8 лет 1 месяц назад
Зарегистрирован: 31.07.2010 - 13:05
Публикации: 639

Helios wrote:

Практически "мой" случай, только мыщелок медиальный и гонартроз к 3-ей стадии приближается.

не правда прекрасная Елена, Ваша коленка выглядит гораздо симпотичнееwink

Helios аватар
Не на сайте
Был на сайте: 8 месяцев 2 недели назад
Зарегистрирован: 06.08.2010 - 15:16
Публикации: 4417

Александр Викторович, это Вы про мою коленку на ретгенограммах и МРТ -шках? Там она выглядит далеко не лучшим образом))))

И.Бондаренко аватар
Не на сайте
Был на сайте: 2 дня 2 часа назад
Зарегистрирован: 13.09.2011 - 22:55
Публикации: 9206

Так это ваше колено или пациента? 

Катенёв Валентин Львович аватар
Не на сайте
Был на сайте: 7 лет 1 месяц назад
Зарегистрирован: 22.03.2008 - 22:15
Публикации: 54876

Конечно, это колено пациента, пациент направлен хирурголм.

VaRy аватар
Не на сайте
Был на сайте: 13 лет 9 месяцев назад
Зарегистрирован: 21.05.2011 - 23:26
Публикации: 66

Остеоартроз, Кениг и неправильная прямая укладка.

Катенёв Валентин Львович аватар
Не на сайте
Был на сайте: 7 лет 1 месяц назад
Зарегистрирован: 22.03.2008 - 22:15
Публикации: 54876

VaRy wrote:

Остеоартроз, Кениг и неправильная прямая укладка.

Укладка правильная. Я тоже первый снимок забраковал, этот, второй делали при мне, правильная укладка, следовательно, ...выводы...

VaRy аватар
Не на сайте
Был на сайте: 13 лет 9 месяцев назад
Зарегистрирован: 21.05.2011 - 23:26
Публикации: 66

Каковы Ваши выводы, Валентин Львович?

Катенёв Валентин Львович аватар
Не на сайте
Был на сайте: 7 лет 1 месяц назад
Зарегистрирован: 22.03.2008 - 22:15
Публикации: 54876

Ну, по поводу патологии по "типу Кенига" трудностей не возникает - законченный случай. Одностороннее сужение суставной щели без процесса остеофитообразования и субхондрального склероза (пока), лично я, связываю с функциональной несостоятельностью дополнительных компонентов сустава - мениска и связок. Возможно, у коллег будут другие мнения?