Пол пациента:
Тип патологии:
Область исследования:
Методы исследования:
- https://radiomed.ru/sites/default/files/styles/case_slider_image/public/user/12/2..p8170066.jpg?itok=OIQ3m69k
- https://radiomed.ru/sites/default/files/styles/case_slider_image/public/user/12/3..p8170067.jpg?itok=NW52qpFs
- https://radiomed.ru/sites/default/files/styles/case_slider_image/public/user/12/4..p8170068.jpg?itok=LorlZ_cv
- https://radiomed.ru/sites/default/files/styles/case_slider_image/public/user/12/5..p8170068ag.jpg?itok=pfgm4bHJ
- https://radiomed.ru/sites/default/files/styles/case_slider_image/public/user/12/6..p8170069.jpg?itok=oxyDXTgK
- https://radiomed.ru/sites/default/files/styles/case_slider_image/public/user/12/7..p8170069a.jpg?itok=R_WjT95O
ID:5512
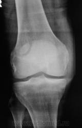
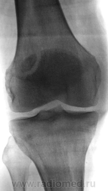
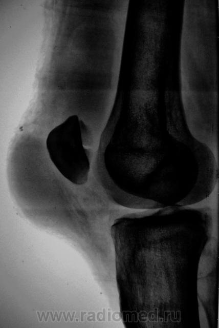
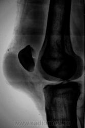
перелом надколенника( редко такой встречается) препателярная гемабурса, гемартроз, сильно пострадала суставная поверхность надколенника
Здравствуйте Валентин Львович!
Наверно все таки пателля бипартита. Представить, чтобы так красиво и ровно откололось - трудно... А мягкотканный компонент знатный...
Здравствуйте Анатолий Владимирович!
Сам думал о "бипарцита", кстати, недавно был случай с "трипарцита". Но в данном случае был в растерянности, клиника "зашкаливает", конечно, возможно из-за мягкотканного компонента.
Кстати, на обычной рентгенограмме, произведенной в ургентных условиях "мягкотканный компонент" едва угадывается. Сильно "Сиар" спасает.
А что делать? снимок второй ноги не даст достоверной информации...
Конечно.
в литературе пишеться что пателя бипартита, чаще двустороняя и бессимптомная.. А что в анамнезе?
Виктор.
Травма накануне.
В минус травме говорит такая "красивенькая форма" отломка? НО при бипарите про мягкотканный компонент я данных ненашел..
Виктор.