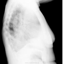
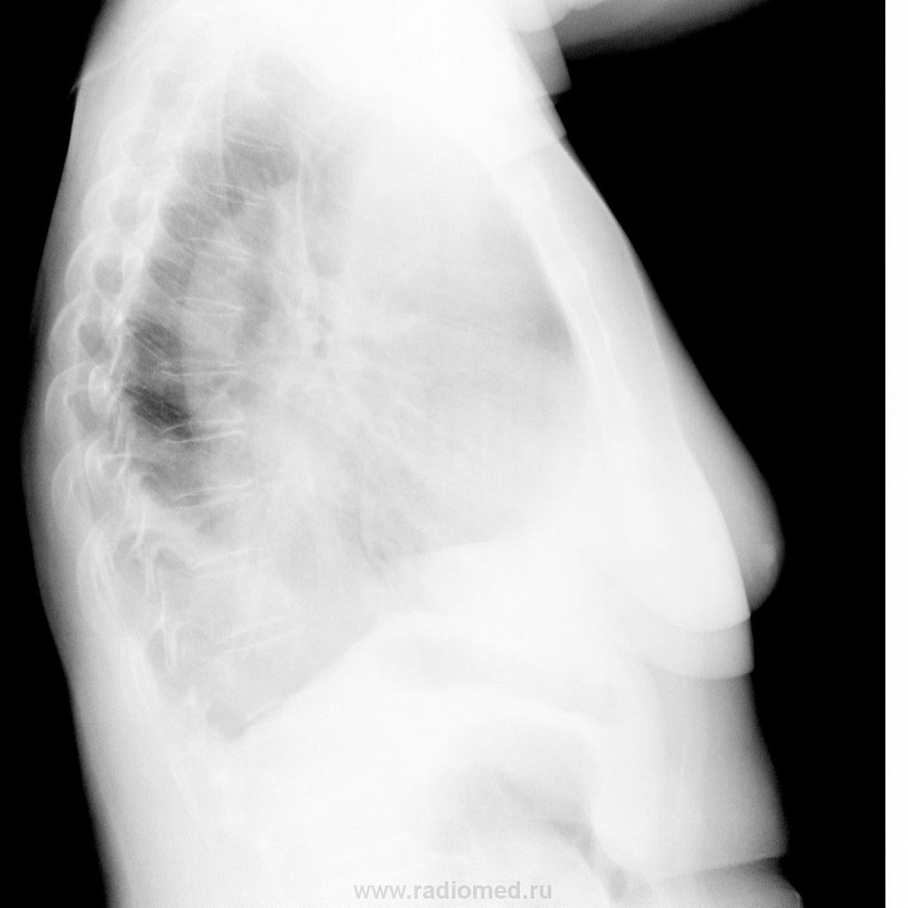
Сейчас по скорой поступила женщина, 1955 г.р. Слабость, недомогание, одышка , температура. Направили на рентгенографию грудной клетки. Выставляю флюру за сегодня и за полгода до этого . Есть или есть уменьшение обьёма справа? Да и о пропуске патологии задумался

Плеврит...а что там могли пропустить, там пока без проблем было....
Болезни ног: виды, симптомы, причины, профилактика и лечение
По мне,так на первый план выходит ателектаз н/д. справа. Плеврит - "мелочь".
Великое преймущество врача заключается в том, что он не обязан следовать собственным советам. ( А. Кристи)
Есть смещение средостение справа, паракостальный осумкованный выпот справа, также дополнительнач тень, прилежащая к правым границам сердца - то ли осумкованный выпот, то ли тень коллабированной доли. Я бы не исключала ателектаз.
Пропуска не было.На "сегодняшнем" ателектаз и вероятный плеврит.
Коллеги, а ателектаз в нижней ли доле? А может всё таки в средней?
Мне больше нравится версия паракостального и парамедиастинального плеврита, пневмония в S 10 справа
"Слушай всех, прислушивайся к немногим, решай сам".©
Я бы написала, что определяется расширение тени средостения вправо на ---см с чётким выпуклым контуром на уровне передних отрезков____рёбер..
Мне кажется, что установка пациентки с небольшим поворотом влево.Правая ключица немного наслаивается на позвоночник, левая немного отошла от него.
"Слушай всех, прислушивайся к немногим, решай сам".©
Ателектаз нижней доли справа. Наличие плеврита проверил бы латерограммой или УЗИ.
Версия парамедиастинального выпота и выпота в перикард.
С Уважением, Дмитрий.
Евгений, хороший у Вас получился вопрос, с намёком?) И никак по-другому не ответить, кроме есть! Хотя нет, ещё можно сказать, что возможен.)) Соглашусь с Вами, что объём средней доли уменьшен сейчас. Но пропуска патологии не увидал.
Поддержу коллег с версией про жидкость в полостях (парамедиастинально, паракостально...). Коллегу Дмитрия поддержу - за перикард тоже переживаю. Полисерозит какой-то у женщины. Смещения средостения нет пока. Думаю, что жидкость и туда затекла, видал такое я иногда. Сейчас дадут кортикостероидов... Надеюсь, увидим хороший контроль. Жаль, что нет позитива и муара многовато... Присматриваться приходится, а можно ведь и без прищура смотреть и даже не отходить от монитора, как предлагал нам Коллега однажды)). Хорошие снимки возможны, если работу свою хорошо сделают лаборанты... однажды.)
--------------
"Просто, по видимости, не видеть логики в очевидных вещах - это тоже одно из свойств некоторых умов, наряду с грустными думами о свойствах ума других." © Vega 08/10/2011