Подозрение на центральный рак правого лёгкого или скрининг, каков он есть на самом деле.

Пол пациента: 
Методы исследования: 

Катенёв В.Л.

 

Случай из практики «Подозрение на центральный рак правого лёгкого или скрининг, каков он есть на самом деле».

 

(Рентгенологическое отделение МУЗ «Красногвардейская центральная районная больница» Белгородской области).

 

Пациентка направлена для прохождения профилактической флюорографии органов грудной полости, с учетом того, что в течение 4-х последних лет её не проходила. Посему, и в названии случая из практики, имеется словосочетание «каков он есть на самом деле», ибо скрининговое исследование органов грудной полости в данной возрастной группе, согласно регламентирующим документам, предусматривает кратность 1 раз в два года, а в связи с эпидемиологической ситуацией допускается – 1 раз в год.

1.
1.

 

 

 

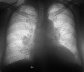
Иллюстрация 1. Флюорограмма. С обеих сторон определяется усиление и обогащение легочного рисунка. Тень правого корня локально в области тела расширена, частично гомогенизирована. Имеет место гипертрофия левого желудочка.

2.
2.

 

 

 

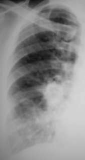
Иллюстрация 2. Фрагмент флюорограммы с увеличением изображения. Пациентка взята «на контроль», произведено дообследование согласно стандарту.

3.
3.
4
4

 

 

 

Иллюстрации 3, 4. Фрагменты рентгенограммы правого лёгкого и участка правого корня с увеличением.

5
5
6
6

 

 

 

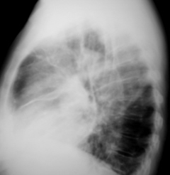
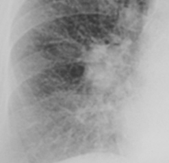
Иллюстрации 5, 6. Рентгенограмма в правой боковой проекции и фрагмент с увеличением.

7
7

 

 

 

Иллюстрация 7. Томограмма – 1 срез. Резкое расширение и гомогенизация тени правого корня. Снижение прозрачности правого легочного поля – гиповентиляция?

8
8
9
9

 

 

 

Иллюстрации 8 и 9. Томограмма – 2 срез и фрагмент с увеличением. Дифференцируется некоторая неровность контуров промежуточного бронха.

10
10
11.
11.

 

 

 

Иллюстрации 10, 11, 12, 13, 14. Томограмма – 3 срез. Увеличение и расширение тени правого корня. Хорошо визуализируются линейные структуры от корня лёгкого на периферию. Справа во в сегменте очаговая тень средней интенсивности (интересно, если это окажется «первичный очаг»). Снижение прозрачности правого легочного поля.

12.
12.

 

 

 

Иллюстрация 12. Фрагмент томограммы – корень «с увеличением».

13.
13.
14.
14.

 

 

 

Иллюстрация 13. Фрагмент томограммы – очаговая тень.

15.
15.

 

 

Иллюстрация 15 – срез 4.

16.
16.

 

 

 

 

Иллюстрация 16. Фрагмент корня в срезе 4 с увеличением.

ВложениеРазмер
Иконка изображения 1.25.28 КБ
Иконка изображения 2.20.24 КБ
Иконка изображения 3.18.04 КБ
Иконка изображения 416.9 КБ
Иконка изображения 519.43 КБ
Иконка изображения 620.26 КБ
Иконка изображения 716.47 КБ
Иконка изображения 821.5 КБ
Иконка изображения 917.74 КБ
Иконка изображения 1020.63 КБ
Иконка изображения 11.16.17 КБ
Иконка изображения 12.18.86 КБ
Иконка изображения 13.17.39 КБ
Иконка изображения 14.16.41 КБ
Иконка изображения 15.16.7 КБ
Иконка изображения 16.22.95 КБ
Rg-Doc аватар
Не на сайте
Был на сайте: 8 лет 7 месяцев назад
Зарегистрирован: 22.03.2008 - 12:25
Публикации: 333

По моему мнению экзофитный рост опухоли. А Вам не кажется что на ТГ имеет место ампутация верхнедолевого бронха?

Катенёв Валентин Львович аватар
Не на сайте
Был на сайте: 6 лет 11 месяцев назад
Зарегистрирован: 22.03.2008 - 22:15
Публикации: 54876

Спасибо за комментарий. Согласен по поводу роста - экзофитный, но возможно и смешанный - экзо-эндофитный, с учетом гиповентиляции. Насчет верхнедолевого бронха - ампутация - сомневаюсь. Безусловно, после консультации в онкодиспансере и проведении дополнительных исследований помещу данные в виде продолжения сообщения.

Rg-Doc аватар
Не на сайте
Был на сайте: 8 лет 7 месяцев назад
Зарегистрирован: 22.03.2008 - 12:25
Публикации: 333

Ну по мере роста экзофитной опухоли гиповентиляция будет нарастать по причине сдавления бронха конгломератом опухоли и лимфоузлов. Хотя это особого значения не имеет, главное чтобы была онконастороженность и своевременная передача пациента в специализированное учреждение. Но с другой стороны есть интерес, подтвердится ли догадка.

P.S. На месте можно сделать бронхоскопию. Или бронхографию.

Катенёв Валентин Львович аватар
Не на сайте
Был на сайте: 6 лет 11 месяцев назад
Зарегистрирован: 22.03.2008 - 22:15
Публикации: 54876

Уважаемый коллега! Совершенно с вами согласен по поводу бронхоскопии и бронхографии, но я работаю в маленькой ЦРБ, и о бронхоскопии и тем паче бронхографии речи нет. Вместо 4,5 рентгенологов работаю один. Онконастороженность у врачей безусловно есть, но плачевно то, что иногда мы не по одному, и даже не по два раза направляем пациентов в онкодиспансер, а они возвращаются к нам. В конце-концов результат весьма плачевен. Думаю на следующей неделе разместить сообщение именно по этому поводу.

OLGA аватар
Не на сайте
Был на сайте: 16 лет 7 месяцев назад
Зарегистрирован: 20.10.2008 - 21:25
Публикации: 11

Думаю, рак правого среднедолевого бронха. Да, рост экзофитный, т. к. видна тень опухоли, затем будет ателектаз. Очаговая тень на периферии, "на" сосудистой тени - лимфангит, метастаз? Бронхоскопия может ничего не дать, пока нет сдавления бронха, но делать надо, прицельно ориентировать эндоскописта. В окнодиспансер. КТ.

Катенёв Валентин Львович аватар
Не на сайте
Был на сайте: 6 лет 11 месяцев назад
Зарегистрирован: 22.03.2008 - 22:15
Публикации: 54876

Коллега спасибо за комментарий.