Помогите пожалуйста разобраться

Пол пациента: 
Тип патологии: 
Методы исследования: 

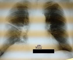
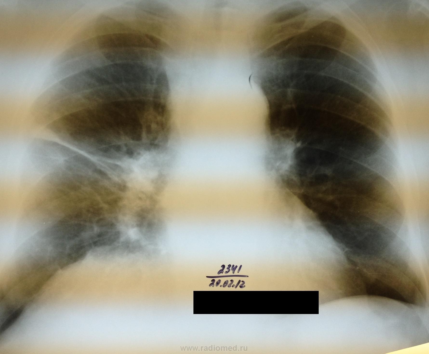
Пациент 75 лет поступил с клинической картиной правосторонеей пневмонии 20.02.12, по поводу чего лечился до 02.03.12 сейчас клиники пневмонии нет и готовят на выписку в удовлетворительном состоянии. А картина на контроле через две недели такая же. Возможно предположить наличие прямых или косвенных признаков центрального Neo правого легкого ?. Заранее спасибо!

  • https://radiomed.ru/sites/default/files/styles/case_slider_image/public/user/4830/20022.jpg?itok=YwnGVXzJ
  • https://radiomed.ru/sites/default/files/styles/case_slider_image/public/user/4830/02031.jpg?itok=q1EboEM5
  • https://radiomed.ru/sites/default/files/styles/case_slider_image/public/user/4830/02032.jpg?itok=lYMdJavm
ID:19361
Катенёв Валентин Львович аватар
Не на сайте
Был на сайте: 7 лет 3 недели назад
Зарегистрирован: 22.03.2008 - 22:15
Публикации: 54876

А, почему именно НЕО?

 

Приложения: 
11.20021.jpg12.20021a.jpg13.20022.jpg14.20022a.jpg
Катенёв Валентин Львович аватар
Не на сайте
Был на сайте: 7 лет 3 недели назад
Зарегистрирован: 22.03.2008 - 22:15
Публикации: 54876

А, может то огроменная липомища?

Приложения: 
11.02031.jpg12.02031a.jpg13.02032.jpg14.02032a.jpg
Lary аватар
Не на сайте
Был на сайте: 10 лет 3 месяцев назад
Зарегистрирован: 22.02.2012 - 18:04
Публикации: 4

а р-архива нет?

LAR

cupitur аватар
Не на сайте
Был на сайте: 11 лет 10 месяцев назад
Зарегистрирован: 19.09.2011 - 10:42
Публикации: 262

Хорошо, а что с плеврой? Осложнение после пневмонии, разъясните молодому! Спасибо!

Андрей Юрьевич аватар
Не на сайте
Был на сайте: 1 неделя 4 дня назад
Зарегистрирован: 16.11.2008 - 22:16
Публикации: 18098

А какое заключение было по снимкам от 12.02.12, пневмония? Я бы не поставил.

Андрей Юрьевич

Joker аватар
Не на сайте
Был на сайте: 13 лет 5 месяцев назад
Зарегистрирован: 13.01.2012 - 18:20
Публикации: 5

А если сделать томограммы корней легких?

Евгений1313 аватар
Не на сайте
Был на сайте: 13 лет 1 неделя назад
Зарегистрирован: 15.10.2010 - 19:13
Публикации: 808

Картина перенесённого воспаления , Фиброзный тяж .Опухоль так себя не ведет, т.е. не имеет обратного развития, а постоянно прогрессирует.

cupitur аватар
Не на сайте
Был на сайте: 11 лет 10 месяцев назад
Зарегистрирован: 19.09.2011 - 10:42
Публикации: 262

А пациент сахарным диабетом не болеет?

Евгений1313 аватар
Не на сайте
Был на сайте: 13 лет 1 неделя назад
Зарегистрирован: 15.10.2010 - 19:13
Публикации: 808

Пациент болеет сахарным диабетом( к примеру).Ну и что?

федя аватар
Не на сайте
Был на сайте: 11 лет 7 месяцев назад
Зарегистрирован: 25.06.2011 - 20:28
Публикации: 260

после детальной оценки предоставленной вами рентгенограммы вижу следующие изменения :в S3 верхней доли правого легкого определяется участок гиповентиляции(гипоателектаз) со сближением элементов легочного рисунка(сосудов и бронхов), в проекции  субсегментарной ветви правой легочной артерии  опеределяется участок фиброза(причем рискну сказать,что это не пневмофиброз,а утолщение центрального перибронховаскулярного интерстиция).у меня 2 версии возникновения гипоателектаза S3:первая учитывая фиброз -это фиброателектаз(поствоспалительный большой давности),второй это постстенотический -необходимо исключить центральный рак в S3 суб- или сегментарного бронха!!! с уважением федя

сергей васильевич аватар
Не на сайте
Был на сайте: 13 лет 9 месяцев назад
Зарегистрирован: 19.02.2012 - 11:05
Публикации: 8

+1

cupitur аватар
Не на сайте
Был на сайте: 11 лет 10 месяцев назад
Зарегистрирован: 19.09.2011 - 10:42
Публикации: 262

При СД у пациента может быть банальная пневмония, фиброз после старой пневмонии и например фтизис!

Almo аватар
Не на сайте
Был на сайте: 4 часа 11 минут назад
Зарегистрирован: 28.09.2008 - 18:50
Публикации: 8260

ИМХО: справа в S3 было и сохраняется уплотнение лёгочной ткани перибронхиального харктера, которое с учётом клиники, можно раcценить как проявление пневмонии, которая в настоящий момент клинически разрешилась.Только вопрос какого характера пневмония -банальная или вторичная, параканкрозная остаётся открытым.Показана РКТ ( если недоступна, то как суррагат последней  срединная линейная томография, на проходимость бронхов) + бронхоскопия. Я бы ещё постарался поднять ФЛО-архив- не нравится низкое расположение малой междолевой плевры в медиальном отделе, за счёт чего это произошло?- уменьшение в объёме средней доли? ( если-да, то когда это возникло сейчас или давно?) или вздутие S3? Если ничего не сделают и выпишут пациента, то в случае варианта, что пневмония была на фоне нарушения проходимости бронха опухолевого генеза, следут ожидать скорого рецидива пневмонии. 

Катенёв Валентин Львович аватар
Не на сайте
Был на сайте: 7 лет 3 недели назад
Зарегистрирован: 22.03.2008 - 22:15
Публикации: 54876

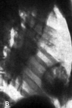
Только сейчас понял, что говорим о разном. Что помечено стрелками, какие мнения?

Приложения: 
14.02032a.jpg
Almo аватар
Не на сайте
Был на сайте: 4 часа 11 минут назад
Зарегистрирован: 28.09.2008 - 18:50
Публикации: 8260

То, что показываете вы, по-моему имеет отношение к куполу диафрагмы, она какая-то вся релаксированная ( по типу волнообразной релаксации).

Катенёв Валентин Львович аватар
Не на сайте
Был на сайте: 7 лет 3 недели назад
Зарегистрирован: 22.03.2008 - 22:15
Публикации: 54876

Спасибо. Значит "это" релаксация диафрагмы?

Almo аватар
Не на сайте
Был на сайте: 4 часа 11 минут назад
Зарегистрирован: 28.09.2008 - 18:50
Публикации: 8260

Ну, не знаю. Я преполагаю, что так.

cupitur аватар
Не на сайте
Был на сайте: 11 лет 10 месяцев назад
Зарегистрирован: 19.09.2011 - 10:42
Публикации: 262

Мне тоже кажется,что диафрагма!

Катенёв Валентин Львович аватар
Не на сайте
Был на сайте: 7 лет 3 недели назад
Зарегистрирован: 22.03.2008 - 22:15
Публикации: 54876

А, с какой такой тихой радости, она так не прилично задралась кверху?

Dr.Drug аватар
Не на сайте
Был на сайте: 7 лет 9 месяцев назад
Зарегистрирован: 01.11.2008 - 20:21
Публикации: 464

Да липомища это, Валентин Львович. Слышал, что эта псевдоопухоль никогда не малигнизируется, иначе сказал бы, что больше за липосаркому (полицикличность). Однако же и диафрагма иногда шутит - под скопией сделал бы дыхательные пробы.

С уважением, А.В.Коробейников

Катенёв Валентин Львович аватар
Не на сайте
Был на сайте: 7 лет 3 недели назад
Зарегистрирован: 22.03.2008 - 22:15
Публикации: 54876

Катенёв Валентин Львович wrote:

А, может то огроменная липомища?

Вот и я сказал сразу..., но не верят...

cupitur аватар
Не на сайте
Был на сайте: 11 лет 10 месяцев назад
Зарегистрирован: 19.09.2011 - 10:42
Публикации: 262

Т.е пациент хворал когда-то, недавно перенес пневмонию, и к тому же имеет огроменную липому? Только так можно объяснить все проявления?

Катенёв Валентин Львович аватар
Не на сайте
Был на сайте: 7 лет 3 недели назад
Зарегистрирован: 22.03.2008 - 22:15
Публикации: 54876

 

Одним из наиболее часто встречающихся образований сердечно-диафрагмальных синусов являются своеобразные жировые опухоли, берущие начало из предбрюшинного жира и проникающие в нижний отдел переднего средостения через щели диафрагмы. В большинстве случаев такие опухоли обнаруживаются у женщин, нередко с избыточной массой тела.
Сочетание абдоминомедиастинальных липом с эндокринными и метаболическими заболеваниями встречается крайне редко. Зрелые липомы имеют относительно мягкую консистенцию, многодольчатое строение.
Обычно они окружены тонкой и гладкой капсулой, от которой отходят соединительнотканные прослойки и тяжи, располагающиеся между дольками. Чем больше соединительнотканных элементов в толще липомы, тем выше ее плотность, в том числе и оптическая, т. е. степень поглощения рентгеновских лучей.

Образование абдоминомедиастинальной грыжи

1 - сердце; 2 - легочная ткань; 3 - диафрагма; 4 - абдоминомедиастинальная грыжа; 5 плевральная складка; 6 - грудина; 7 - печень; 8 - белая линия живота; 9 - брюшина (Таgliacozzo S., 1964).

1709_274413534.jpg
1709_274413534.jpg40.65 кб 
Катенёв Валентин Львович аватар
Не на сайте
Был на сайте: 7 лет 3 недели назад
Зарегистрирован: 22.03.2008 - 22:15
Публикации: 54876

 

Клиническая картина абдоминомедиастинальных липом разнообразна. Во многих случаях эти опухоли не приводят к появлению каких-либо субъективных или объективных симптомов. У некоторых больных возникают жалобы на чувство тяжести за грудиной, боли в области сердца и в правом подреберье; болевые ощущения распространяются на правую половину грудной клетки, но иногда иррадиируют влево, приобретая высокую интенсивность и приступообразный характер.
При рентгенологическом исследовании в сердечно-диафрагмальном синусе, чаще справа, выявляется полуокруглой, полуовальной или треугольной формы затемнение средней интенсивности, примыкающее к тени сердца и диафрагмы. Структура затемнения однородна, контуры его четкие, иногда гладкие, в других случаях слегка волнистые. В боковой проекции затемнение располагается спереди у грудной стенки.
A. Bianco и G. Pisano (1962) большое значение придают измерению углов, образованных опухолью, с одной стороны, и диафрагмой и передней грудной стенкой - с другой. По данным этих авторов, абдоминомедиастинальная липома, проникая в средостение и увеличиваясь, отслаивает париетальную плевру и оттесняет рыхлую субплевральную клетчатку.
Отслоение плевры распространяется за пределы контуров опухоли, в результате чего образуются тупые углы между ее тенью и анатомическими образованиями, к которым она примыкает, т. е. грудной стенкой и диафрагмой.
В отличие от тупых углов, образованных внелегочным и внеплевральным образованием, каким является абдоминомедиастинальная липома, внутрилегочная опухоль, расположенная в сердечно-диафрагмальном синусе и не отслаивающая плевру, образует с диафрагмой и грудной стенкой острые углы. Опыт показывает, что эти закономерности основаны на многочисленных наблюдениях и применимы не только к абдоминомедиастинальным липомам, но и к другим внелегочным образованиям, например невриномам заднего средостения. Однако эти признаки не абсолютны и нередко могут привести к диагностическим ошибкам.

Абдоминомедиастинальная липома

Рентгенограммы в прямой (а), боковой (б) проекциях и пневмомедиастинограмма (в). Фрагментация тени опухоли, обусловленная проникновением кислорода между ее дольками, а также ножка, направленная в сторону передней брюшной стенки.

 

При подозрении на абдоминомедиастинальную липому наиболее достоверные результаты дает пневмомедиастинография. Введение субксифоидальным способом небольшого количества кислорода или воздуха (200 - 300 мл) в нижний отдел переднего средостения обычно позволяет окаймить опухоль светлой полоской и отделить ее от тени сердца и легкого. От диафрагмы опухоль не отделяется, напротив, ее ножка уходит книзу, через отверстие в диафрагме и направляется к передней брюшной стенке, т. е. к скоплению предбрюшинного жира, из которого она берет начало.
Типичным, практически патогномоничным симптомом абдоминомедиастинальной липомы является описанный И. Д. Кузнецовым (1962) и J. Voisin и соавт. (1957) феномен расслоения долек этой опухоли введенным в средостение газом, что приводит к фрагментации ее тени, приобретающей пестрый, неоднородный вид. Другие патологические образования средостения подобной картины не дают.
Тень ножки абдоминомедиастинальной липомы, проникающей через диафрагму в подбрюшинное пространство, также фрагментируется и приобретает ту же структуру, что и тень самой опухоли. Это особенно хорошо видно на боковом снимке, произведенном в положении Тренделенбурга.
С внедрением в практику методики пневмомедиастинографии диагностика абдоминомедиастинальных липом становится достоверной и относительно несложной. Следует учитывать, что иногда при целомических кистах, локализованных в сердечно-диафрагмальных синусах, путем пневмомедиастинографии можно выявить пеструю тень жировой клетчатки, расположенную рядом с тенью кисты.

Последняя в отличие от тени жировых опухолей остается однородной, что позволяет правильно оценить рентгенологическую картину Абдоминомедиастинальные липомы малигнизируются очень редко.

Катенёв Валентин Львович аватар
Не на сайте
Был на сайте: 7 лет 3 недели назад
Зарегистрирован: 22.03.2008 - 22:15
Публикации: 54876

Так, для интересу...

 

Липома (объёмное образование).

ИзображениеИзображениеИзображение

\r\n

Изображение

\r\n

Осумкованный левосторонний передне-базально-интерлобарный плеврит.

\r\n

ИзображениеИзображениеИзображениеИзображение

\r\n

Правосторонняя нижнедолевая плевропневмония. Выпот справа в косто-диафрагмальном синусе.

\r\n

Изображение

\r\n

Осумкованный базальный передний плеврит.

ИзображениеИзображениеИзображение

\r\n

Медиастинальная "липома".

\r\n

ИзображениеИзображение

Вот еще...

Катенёв Валентин Львович аватар
Не на сайте
Был на сайте: 7 лет 3 недели назад
Зарегистрирован: 22.03.2008 - 22:15
Публикации: 54876

cupitur wrote:

Т.е пациент хворал когда-то, недавно перенес пневмонию, и к тому же имеет огроменную липому? Только так можно объяснить все проявления?

А. была-ли пневмония, может быть притупление перкуторного звука было обусловлено липомой?

А. был ли мальчик7

Катенёв Валентин Львович аватар
Не на сайте
Был на сайте: 7 лет 3 недели назад
Зарегистрирован: 22.03.2008 - 22:15
Публикации: 54876

А, сейчас осталось разобраться с "биполярным участком", помеченном стрелками?

Приложения: 
12.02031a.jpg
Катенёв Валентин Львович аватар
Не на сайте
Был на сайте: 7 лет 3 недели назад
Зарегистрирован: 22.03.2008 - 22:15
Публикации: 54876

И, возможно это "остаток" давно минувших дней, который в своё время протекал примерно так..., а возможно, и был не лечен. Можно предположить, что и не обязательно туберкулёз, а "сурьёзная" пневмония...

 

Приложения: 
2.osh_.slayd14.jpg
cupitur аватар
Не на сайте
Был на сайте: 11 лет 10 месяцев назад
Зарегистрирован: 19.09.2011 - 10:42
Публикации: 262

Скорее всего была пневмония! Давно была и возможно не лечилась!

Almo аватар
Не на сайте
Был на сайте: 4 часа 11 минут назад
Зарегистрирован: 28.09.2008 - 18:50
Публикации: 8260

Если посмотреть на боковую R-грамму лёгких от 20.02.12г, то нижние отделы занимает только тень диафрагмы, каких-то дополнительных образований в базальных отделах нет. На боковой R-грамме  от 2.03.12г.определяеся округлая тень( да и не одна), липома  за 10 дней вырасти не могла, скорее это тень нескольких скатов купола диафрагмы. Собственно говоря, сам факт наличия или отсутствия липомы не актуален, для пацента в 75 лет т.к. если она даже есть, это никак не моменяет тактику ведения пациента. Принципиальное значение имеет вопрос, что происходит с лёгкими и какой ожидать прогноз.

Катенёв Валентин Львович аватар
Не на сайте
Был на сайте: 7 лет 3 недели назад
Зарегистрирован: 22.03.2008 - 22:15
Публикации: 54876

Надо думать, что "глубина вдоха", во время производства снимка, тоже имеет некоторое значение..., да и стандарт центрации..., да и фокусное расстояние..., да и разные физико-технические условия экспонирования тоже существенны для формирования теневой картины.

Приложения: 
13.20022.jpg14.02032a.jpg
Almo аватар
Не на сайте
Был на сайте: 4 часа 11 минут назад
Зарегистрирован: 28.09.2008 - 18:50
Публикации: 8260

Мнения разошлись, думаю в этом нет ничего страшного. По возможности,  надо доказать есть липома или нет хотя бы R-скопией лёгких,  а лучше РТК, заодно и структуру корня , а так же субстрат изменений в S3 можно будет оценить. Обращаюсь к автору демонстрации с просьбой, по возможности, помочь расставить точки над i..

Bob аватар
Bob
Не на сайте
Был на сайте: 11 лет 11 месяцев назад
Зарегистрирован: 20.08.2011 - 20:06
Публикации: 218

Если есть сомнения о наличии ценнтральной опухоли С3 справа - необходимо считать, что она есть, опровергнуть это может только бронхологическое иследование.

Катенёв Валентин Львович аватар
Не на сайте
Был на сайте: 7 лет 3 недели назад
Зарегистрирован: 22.03.2008 - 22:15
Публикации: 54876

Almo wrote:

Мнения разошлись, думаю в этом нет ничего страшного. По возможности,  надо доказать есть липома или нет хотя бы R-скопией лёгких,  а лучше РТК, заодно и структуру корня , а так же субстрат изменений в S3 можно будет оценить. Обращаюсь к автору демонстрации с просьбой, по возможности, помочь расставить точки над i..

"Пациент 75 лет поступил..."

ПАЦИЕНТУ 75 ЛЕТ. И чувствует себя пациент, по всей видимости "более-менее" ничего...

На мой взгляд, в ряде случаев, каскад исследований, порой и лечение, резко ухудшают качество жизни пациента, который вместе с заболеванием (которое есть, а может его и нет?) приобретаент еще и "пытку лечением"

Редко "желающие добра" задумываются именно над этой гранью жизни пациента...

--------------------------------

Цит.:

"Пациент 75 лет поступил с клинической картиной правосторонеей пневмонии 20.02.12, по поводу чего лечился до 02.03.12 сейчас клиники пневмонии нет и готовят на выписку в удовлетворительном состоянии. А картина на контроле через две недели такая же. Возможно предположить наличие прямых или косвенных признаков центрального Neo правого легкого ?.

-----------------------------------

И, возник вопрос! Есть на снимках прямые, или косвенные прищнаки центрального рака, или их нет?

Bob аватар
Bob
Не на сайте
Был на сайте: 11 лет 11 месяцев назад
Зарегистрирован: 20.08.2011 - 20:06
Публикации: 218

[quote=Катенёв Валентин Львович]

"Пациент 75 лет поступил..."

ПАЦИЕНТУ 75 ЛЕТ. И чувствует себя пациент, по всей видимости "более-менее" ничего...

На мой взгляд, в ряде случаев, каскад исследований, порой и лечение, резко ухудшают качество жизни пациента, который вместе с заболеванием (которое есть, а может его и нет?) приобретаент еще и "пытку лечением"

Редко "желающие добра" задумываются именно над этой гранью жизни пациента...

____________________________________________________________________________________

 

Чувствует себя по всей видимости "более менее" нечего...

ПОКА НИЧЕГО,  а в случае появления болевого синдрома, обозновывать назначение анальгетиков Вы будете  липомой? 

Almo аватар
Не на сайте
Был на сайте: 4 часа 11 минут назад
Зарегистрирован: 28.09.2008 - 18:50
Публикации: 8260

Т.е. вы предлагаете : "Лечить не будем-пусть живёт !" Это было бы правильно, если бы не было сомнений, но они же остаются. Значит их надо снять.Но решать конечно, лечащему врачу.

Катенёв Валентин Львович аватар
Не на сайте
Был на сайте: 7 лет 3 недели назад
Зарегистрирован: 22.03.2008 - 22:15
Публикации: 54876

Просто, возможно я ошибаюсь, скорее врего ошибаюсь, но я не вижу на представленных изображениях ни скиалогических признаков пневмонии, ни скиалогических (прямых, или косвенных) признаков центрального рака.

И, у меня возникает законный вопрос, о том, какую пневмонию лечили?

vrachishka аватар
Не на сайте
Был на сайте: 12 лет 3 месяцев назад
Зарегистрирован: 11.03.2012 - 19:23
Публикации: 20

Катенёв Валентин Львович]</p> <p>[quote=Катенёв Валентин Львович wrote:

А, может то огроменная липомища?

Вот и я сказал сразу..., но не верят...

 Валентин Львович, если это такая липомища, мы должны бы были ее видеть в правом кардио-диафрагмальном синусе на прямом снимке, а там этого нет. Есть какое то понижение прозрачности легочного поля в этой области и контур этой липомищи совпадает с контуром диафрагмы?

Катенёв Валентин Львович аватар
Не на сайте
Был на сайте: 7 лет 3 недели назад
Зарегистрирован: 22.03.2008 - 22:15
Публикации: 54876

Вы правы. В медиальных отделах контур липомы, вполне можно принять за часть контура купола диафрагмы. По всей видимости, так и было.

Dr. GreenThumb аватар
Не на сайте
Был на сайте: 2 года 2 месяцев назад
Зарегистрирован: 29.05.2010 - 10:16
Публикации: 239

Кажется без /КТ/ ситуацию не прояснить...

Всем спасибо за комменты!

Приложения: 
22.03.12_obz.jpg22.03.12_bok.jpg

The time has come, the rules have changed...

doktor-rentgen аватар
Не на сайте
Был на сайте: 9 лет 2 месяцев назад
Зарегистрирован: 06.07.2010 - 20:56
Публикации: 640

Где этот тяж на боку? Или это не в легком, а на плевре? Возможно по ходу малой м/д плевры в передних отделах?

Dr. GreenThumb аватар
Не на сайте
Был на сайте: 2 года 2 месяцев назад
Зарегистрирован: 29.05.2010 - 10:16
Публикации: 239

Скорее всего реакция плевры. Я считаю, что динамика есть, при чем положительная.(?)

The time has come, the rules have changed...

cupitur аватар
Не на сайте
Был на сайте: 11 лет 10 месяцев назад
Зарегистрирован: 19.09.2011 - 10:42
Публикации: 262

Dr. GreenThumb wrote:
Скорее всего реакция плевры. Я считаю, что динамика есть, при чем положительная.(?)

Согласен, это не сильно выражено, но тяж как будто стал аккуратнее, легочной рисунок чище.