Пол пациента:
Тип патологии:
Область исследования:
Методы исследования:
- https://radiomed.ru/sites/default/files/styles/case_slider_image/public/user/17109/550062.jpg?itok=GjquzXRk
- https://radiomed.ru/sites/default/files/styles/case_slider_image/public/user/17109/550064.jpg?itok=Qlp5gARA
- https://radiomed.ru/sites/default/files/styles/case_slider_image/public/user/17109/770009.jpg?itok=fwthlD--
- https://radiomed.ru/sites/default/files/styles/case_slider_image/public/user/17109/770010.jpg?itok=eAtbV7lI
- https://radiomed.ru/sites/default/files/styles/case_slider_image/public/user/17109/770011.jpg?itok=LE52rhdT
- https://radiomed.ru/sites/default/files/styles/case_slider_image/public/user/17109/990005.jpg?itok=Ef8yGazD
- https://radiomed.ru/sites/default/files/styles/case_slider_image/public/user/17109/990006.jpg?itok=8ey7ZO6v
- https://radiomed.ru/sites/default/files/styles/case_slider_image/public/user/17109/990007.jpg?itok=c1SAUyCG
- https://radiomed.ru/sites/default/files/styles/case_slider_image/public/user/17109/70009.jpg?itok=uQVS3Dfx
- https://radiomed.ru/sites/default/files/styles/case_slider_image/public/user/17109/70010.jpg?itok=7c6rV7Qf
- https://radiomed.ru/sites/default/files/styles/case_slider_image/public/user/17109/70011.jpg?itok=iD0puPSU
- https://radiomed.ru/sites/default/files/styles/case_slider_image/public/user/17109/70012.jpg?itok=11_Gg4eL
- https://radiomed.ru/sites/default/files/styles/case_slider_image/public/user/17109/70014.jpg?itok=R08qIvZp
- https://radiomed.ru/sites/default/files/styles/case_slider_image/public/user/17109/80110.jpg?itok=lwur7VXr
- https://radiomed.ru/sites/default/files/styles/case_slider_image/public/user/17109/80111.jpg?itok=zfuD3P_G
- https://radiomed.ru/sites/default/files/styles/case_slider_image/public/user/17109/80112.jpg?itok=P0XiMerh
- https://radiomed.ru/sites/default/files/styles/case_slider_image/public/user/17109/90128.jpg?itok=7tAm1dOe
- https://radiomed.ru/sites/default/files/styles/case_slider_image/public/user/17109/90129.jpg?itok=f5qI_rWC
- https://radiomed.ru/sites/default/files/styles/case_slider_image/public/user/17109/90130.jpg?itok=ySiBoqM3
- https://radiomed.ru/sites/default/files/styles/case_slider_image/public/user/17109/90131.jpg?itok=-9n3BzGx
ID:26265
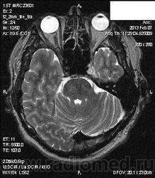
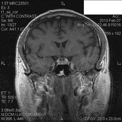
Здравствуйте! Уже писала сегодня сообщение по поводу последнего опубликованного Вами случая, но по каким-то причинам оно не отображается. Не складывается ли у Вас впечатление о наличии интрамуральной гематомы в кавернозном сегменте левой ВСА, с расширением наружного диаметра артерии и эксцентричным расположением просвета сосуда (диссекция). Не проводилась ли пациенту исследование интракраниальных артерий; с какими жалобами обратился пациент?
Анамнез есть?
В анамнезе частые головные боли около года. Складывается впечатление, что зона патологических изменений прилежит к латеральной стенке кавернозного синуса, нерезко оттесняет прилежащие отделы левой ВСА. По поводу диссекции думала, но не видела в этом отделе, поэтому сомневаюсь. Исследование интракраниальных сосудов не проводилось.
Хорошая статья -
http://www.ajnr.org/content/30/3/444.full
Большое спасибо, Валентин Львович. Не знаю, стоит ли высказываться в пользу диссекции ВСА или больше данных за объемное образование?
Я бы в первую очередь подумала о диссекции.
А такое накопление контраста характерно для диссекции?
Здесь должна быть разная скрость накопления КВ, менингиома накапливает медленнее ( да и как-то не похоже на нее), можно сделать РКТ для установления гиперостоза матрикса( для исключения менингиомы) . При назначении аникоагулянтов должен быть эффект.
Может быть рекомендовать еще КТ-ангиографию?
При контрастном усилении наблюдаются истинный и ложный поток. разделенные линейной полоской
Если все-таки думать о диссекции и об интрамуральной гематоме, то какой стадии трансформации крови это сответствует? Сигнальные характеристики не подходят ни острой, ни подострой, ни хронической стадии кровоизлияния.
Через 4 дня на томограммах по Т1 ВИ сохраняется изоинтенсивный МР-сигнал от загадочной зоны в области левого кавернозного синуса. Рекомендовала МСКТ-ангиографию. Если через неделю будет известен результат, то сообщу.
Если это диссекция ВСА, то почему она копит контраст? А вот кавернозный синус в принципе должен копить...
Можно ссылку на DICOM?